Aparell respiratori
Sistema circulatori i sistema respiratori estan relacionats. El sistema respiratori està format pels pulmons, que és l’òrgan encarregat d’oxigenar la sang. En aquest procés, la sang és purificada pels alvèols, que són petites terminacions cegues dels bronquíols, on es produeix l’entrada d’oxigen a la sang per ser distribuïda a les cèl·lules del cos.
Aquestes cèl·lules, després d’utilitzar l’oxigen, alliberen diòxid de carboni a la sang, que el porta als alvèols pulmonars per ser expulsats del cos i així novament captar oxigen útil.
Anatomia de l'aparell respiratori
En els humans, l’anatomia d’un sistema respiratori típic és el tracte respiratori (vegeu la figura). El tracte es divideix en dos trams:
- Un tracte respiratori superior: inclou el nas, les cavitats nasals, els sins, la faringe i la part de la laringe per sobre dels plecs vocals.
- Un tracte respiratori inferior: inclou la part inferior de la laringe, la tràquea, els bronquis, els bronquíols i els alvèols.
Vies respiratòries superiors
El tracte respiratori superior pot referir-se a les parts del sistema respiratori sobre l’angle esternal (fora del tòrax), per sobre dels plecs vocals o per sobre del cartílag cricoidal. El tracte consisteix en la cavitat nasal i en els sins paranasals, la faringe (nasofaringe, orofaringe i laringofaringe) i la laringe (vegeu la figura).
Cavitat nasal
L’os nasal forma la part superior de la cavitat nasal , els laterals els formen el maxil·lar superior i l’os etmoide. El paladar és el límit inferior que actua separant la cavitat nasal de la boca. La cavitat nasal es divideix en dues fosses per un cartílag vertical que s’anomena septe nasal.Les obertures del nas (narius) es troben davant de la cavitat nasal i a la part posterior d’aquesta les coanes, que comuniquen amb la nasofaringe (vegeu la figura).
Als laterals de la cavitat trobem els cornets i els meats els primers interrompen la circulació de l’aire, conduint-lo cap a l’epiteli olfactiu, situat a la part més superior de la cavitat nasal. La cavitat nasal es comunica amb els sins paranasals.
Els cornets són estructures formades per os esponjós, i la seva coberta és una prima i delicada mucosa nasal (vegeu la figura). Se situen en les parts laterals de cada cavitat nasal. La seva irrigació sanguínia és rica i abundant, similar a la innervació, la qual cosa els fa molt sensibles a canvis de temperatura i facilita la seva feina, que és:
- Humidificar l’aire que arriba als pulmons.
- Filtrar l’aire que es respira.
- Escalfar l’aire abans que ingressi als pulmons.
Tota la mucosa de les foses nasals està coberta per una capa de mucositat que es troba superficialment i també filtra aire inspirat. Els cilis de l’epiteli respiratori mouen el moc i les partícules posteriorment cap a la faringe, on passa a l’esòfag i es digereix a l’estómac. La cavitat nasal també alberga el sentit de l’olfacte.
Faringe
La faringe és la part del coll darrere de la boca i la cavitat nasal, i sobre l’esòfag i la laringe: els conductes que respectivament van cap a l’estómac i els pulmons.
En humans, la faringe és part del sistema digestiu i dels conductes de l’aparell respiratori. (aquests condustes també inclouen les foses nasals del nas, la laringe, la tràquea, els bronquis i els bronquiols)La faringe filtra, escalfa i humiteja l’aire i el condueix als pulmons). La faringe humana es divideix convencionalment en tres seccions: la nasofaringe, l’orofaringe i la laringofaringe. També és important en la vocalització.
La faringe humana es divideix convencionalment en tres seccions (vegeu la figura):
- Nasofaringe o rinofaringe, es troba darrere de la cavitat nasal. La paret inferior és el paladar tou.
- Orofaringe o bucofaringe, es troba darrere de la boca. La paret anterior és la base de la llengua; la paret lateral està formada per l’arc palatofaringi, l’arc palatoglòs i l’amígdala palatina. La paret superior està formada per l’úvula (campaneta) i el paladar tou.
- Laringofaringe , que inclou el si piriforme i la paret posterior de la faringe. Està recobert per un epiteli pla estratificat.
La faringe intervé en importants funcions, com la deglució, la respiració, la fonació i l’audició.
Laringe
La laringe és un òrgan tubular. La paret de la laringe està composta per 9 peces de cartílags. A més, comunica la faringe amb la tràquea i es troba davant d’aquella.
És una estructura múscul-cartilaginosa, situada a la part anterior del coll, a l’altura de les vèrtebres cervicals C3, C4, C5 i C6. Està formada per l’os hioide i pels cartílags tiroide, cricoide, aritenoides, corniculat, cuneïforme, l’epiglotis i per quatre parells laterals, tots ells articulats, revestits de mucosa i moguts per músculs
La laringe és la part superior de la tràquea, adaptada a les necessitats de la fonació o emissió de la veu. És l’òrgan de la fonació doncs conté les cordes vocals superiors o falses (també anomenat plecs vestibulars) i inferiors o veritables (també anomenat plecs vocals). El terme plecs és el que s’usa segons la terminologia anatòmica internacional.
(vegeu la figura):
Vies respiratòries inferiors
Les vies respiratòries baixes, o les vies respiratòries inferiors, consisteixen en la tràquea, els bronquis (primaris, secundaris i terciaris), els bronquíols (incloent-hi terminals i respiratoris) i pulmons (incloent-hi alvèols).
El tracte respiratori inferior també s’anomena arbre respiratori o arbre traqueobronquial, per descriure l’estructura ramificadora de les vies respiratòries que subministren aire als pulmons, i inclou la tràquea, els bronquis i els bronquíols (vegeu la figura).
Tràquea
La tràquea és un conducte d’uns 12 cm de longitud i 2 cm de diàmetre, constituït per una sèrie de cartílags anulars incomplets, en forma de “C” i tancats per darrere per fibres musculars. Aquesta forma permet evitar interaccions amb l’esòfag quan per aquest passen aliments i afavoreix que sempre estigui oberta; aquesta estructura li dóna consistència i flexibilitat.
La tràquea és un òrgan de l’aparell respiratori de caràcter cartilaginós i membranós que va des de la laringe fins als bronquis. La seva funció és proporcionar una via oberta a l’aire inspirat i espirat des dels pulmons (vegeu la figura).
Bronquis, bronquíols i alvèols
Un bronqui es troba en l’aparell respiratori i és un dels conductes tubulars fibrocartilaginosos en què es bifurca la tràquea a l’altura de la IV vèrtebra toràcica, i que entren en el parènquima pulmonar, conduint l’aire des de la tràquea als bronquis i aquests als bronquíols i després als alvèols pulmonars. Els bronquis són tubs amb ramificacions progressives arboriformes (25 divisions en l’ésser humà) i diàmetre decreixent, la paret està formada per cartílags i capes musculars, elàstiques i de mucosa. En disminuir el diàmetre perden els cartílags, aprimant les capes muscular i elàstica.
Els bronquis són l’entrada als pulmons. Es divideixen en dos, el dret i l’esquerre; el dret compta amb tres branques mentre que l’esquerre amb dos.
Cada bronqui es dirigeix asimètricament cap al costat dret i esquerre formant els bronquis respectius de cada costat. El bronqui dret és més curt i ample que el bronqui esquerre , el qual al seu torn és més vertical que l’esquerre. . El bronqui dret es divideix progressivament en branques de menor calibre i el bronqui esquerre es divideix en dos més.
Els bronquíols són les petites vies aèries en què es divideixen els bronquis arribant als alvèols pulmonares
Els alvèols pulmonars són estructures de forma esfèrica envoltades per capil·lars i agrupades en sacs alveolars. Als alvèols, l’oxigen provinent de l’aire pulmonar és cedit a la sang i el diòxid de carboni és lliurat igualment als alvèols perquè pugui ser expulsat a l’exterior durant l’expiració (vegeu la figura).
Pulmons
Els pulmons són estructures anatòmiques pertanyents a l’aparell respiratori, s’ubiquen a la caixa toràcica, a banda i banda del mediastí. A causa de l’espai ocupat pel cor, el pulmó dret és més gran que el seu homòleg esquerre. Posseeixen tres cares; mediastínica, costal i diafragmàtica
Els pulmons són els òrgans en els quals la sang rep oxigen procedent de l’aire i es desprèn del diòxid de carboni, el qual passa l’aire.
En la figura podeu veure, numerades, les parts fonamentals dels pulmons:
- Tràquea
- Bronqui dret
- Bronqui esquerre
- Pulmó dret
- Pulmó esquerre
- Fissura obliqua
- Fissura horitzontal
- Artèria pulmonar
En tots dos pulmons trobem:
- Un vèrtex o àpex, que correspon a la seva part més superior i que sobrepassa l’altura de les clavícules.
- Una base, a la part inferior, que es recolza en el diafragma.
- La cissura major d’ambdós pulmons, que va des del quart espai intercostal posterior fins al terç espai anterior de l’hemidiafragma corresponent.
El pulmó dret està dividit per dues cissures, la major i la menor, i en tres parts, anomenades lòbuls: el lòbul superior, el mitjà i l’inferior.
El pulmó esquerre té dos lòbuls, el superior i l’inferior, separats per una cissura anomenada cissura major. Això és degut al fet que el cor té una inclinació obliqua cap a l’esquerra i en el sentit de darrere cap endavant; la punta inferior, l’àpex, ocupa part de l’espai del pulmó esquerre, i redueix el seu volum.
Al pulmó dret, la cissura major separa els lòbuls superior i mitjà del lòbul inferior, mentre que en el pulmó esquerre separa els dos únics lòbuls: el superior i l’inferior. La cissura menor separa els lòbuls mitjà i inferior del pulmó dret i va des de la paret anterior del tòrax fins a la cissura major. Pot estar absent o incompleta en fins a un 25% de les persones.
En cada lòbul es distingeixen diferents segments, ben diferenciats, i corresponen cadascun a un bronqui segmentari, de la tercera generació bronquial. Existeixen diverses classificacions per anomenar els diferents segments, però la de Boyden és una de les més acceptades.
Els bronquis segmentaris se subdivideixen en els bronquis pròpiament dits i els bronquíols de les generacions 12 a 16. Aquests últims no tenen cartílag i es ramifiquen en bronquíols terminals i els bronquíols respiratoris, de les generacions 17 a 19, que desemboquen en els alvèols.
Els alvèols són les unitats funcionals d’intercanvi de gasos del pulmó. D’altra banda, la mucosa de les vies respiratòries està coberta per milions de pèls diminuts, o cilis, la funció dels quals és atrapar i eliminar les restes de pols i gèrmens en suspensió procedents de la respiració.
Pleura i diafragma
La pleura és una membrana de teixit conjuntiu i elàstica que evita que els pulmons freguin directament amb la paret interna de la caixa toràcica. Té dues capes:
- La pleura parietal o externa, que recobreix i s’adhereix al diafragma i a la part interior de la caixa toràcica.
- La pleura visceral, que recobreix l’exterior dels pulmons, introduint-se en els seus lòbuls a través de les cissures.
Entre les dues membranes es troba un espai anomenat cavitat pleural o espai interpleural, que conté una petita quantitat, d’uns 15 cc, de líquid lubricant anomenat líquid pleural.
La contracció del diafragma crea una pressió negativa dins de la cavitat pleural que obliga els pulmons a expandir-se resultant en l’exhalació passiva i inhalació activa (vegeu la figura).
Aquest procés de respiració es pot fer contundentment a través de la contracció dels músculs intercostals externs, que obliga a expandir la caixa toràcica i a la pressió negativa a la cavitat pleural, la qual cosa fa que els pulmons s’omplin d’aire. El líquid a la cavitat proporciona lubricació i amortiment.
El diafragma és el múscul que, com un envà, separa l’abdomen i el tòrax. Està situat a sota dels pulmons i per damunt dels òrgans de l’aparell digestiu. La seva estructura, en forma de cúpula, comprèn una porció muscular perifèrica i una de central aponeuròtica o tendinosa anomenada centre frènic.
Té uns orificis o hiatus per on passen l’esòfag, els dos nervis pneumogàstrics, l’aorta, la vena cava inferior i altres vasos i nervis. És el principal múscul inspiratori, ja que en contreure’s fa augmentar el volum toràcic.
Quan el diafragma es relaxa, l’aire és expirat per la mateixa elasticitat dels teixits pulmonars. També intervé en actes reflexos o voluntaris, com la defecació, la micció, el fet de riure, el singlot i el vòmit.
Fisiologia de l'aparell respiratori
La funció dels pulmons és fer l’intercanvi gasós amb la sang; per això, els alvèols estan en estret contacte amb els capil·lars. En els alvèols es produeix el pas d’oxigen des de l’aire fins a la sang, i el pas de diòxid de carboni des de la sang cap a l’aire. Aquest pas es produeix per la diferència de pressions parcials d’oxigen i diòxid de carboni (difusió simple) entre la sang i els alvèols. Per tant, poden distingir tres parts en aquest procés:
- El funcionament de la respiració externa:
- La inspiració té lloc quan la contracció del diafragma i els músculs intercostals externs augmenten el volum de la cavitat toràcica i fan que el pulmó s’expandeixi.
- L’expiració passa quan el diafragma es relaxa i la cúpula diafragmàtica puja passivament per la seva elasticitat, el pulmó disminueix el seu volum i l’aire surt a l’exterior.
- L’intercanvi i el transport de gasos que es produeix entre els vasos capil·lars i l’interior de l’alvèol pulmonar.
- La respiració cel·lular, que és la degradació total, per mitjà de l’oxidació, d’algunes substàncies orgàniques fins a matèria inorgànica per alliberar energia.
La fisiologia de l’aparell respiratori, és a dir, les funcions i els mecanismes que el regulen i el regeixen, comprèn tres parts: la respiració externa, l’intercanvi i el transport de gasos i la respiració cel·lular.
Fisiologia de la respiració externa
El sistema nerviós central s’ajusta de manera automàtica, sense intervenció de la voluntat, la freqüència i el ritme respiratori. Això és possible gràcies als centres nerviosos respiratoris que es troben localitzats en el bulb raquidi i en la protuberància del tronc de l’encèfal.
L’artèria aorta i les artèries caròtides disposen de minúsculs sensors anomenats quimioreceptors que analitzen la sang i verifiquen els seus nivells d’oxigen i CO2.
La concentració elevada de CO2 en sang és l’estímul més fort perquè la respiració sigui més profunda i augmenti la seva freqüència. Per contra, quan disminueix la concentració de CO2 en sang, els centres respiratoris emeten ordres que minoren la freqüència i la profunditat de la respiració. Tot i que els moviments d’inspiració i expiració poden controlar-se voluntàriament, la major part del temps es regulen de manera automàtica gràcies al centre respiratori que està ubicat al bulb raquidi del cervell.
Quan es fa un esforç físic important, la freqüència respiratòria augmenta immediatament de forma involuntària. En repòs, un adult respira 14-20 vegades per minut, mentre que situacions d’exercici intens pot arribar a 60 respiracions per minut. El sistema de control de la respiració precisa de tres elements bàsics (vegeu la figura):
- Sensors: són quimioreceptors centrals o perifèrics (cos carotidi).
- Controladors: són els centres respiratoris de l’encèfal
- Efectors: corresponen als músculs respiratoris, sobretot el diafragma.
La inspiració té lloc quan la contracció del diafragma i els músculs intercostals externs augmenten el volum de la cavitat toràcica i fan que el pulmó s’expandeixi. La pressió intraalveolar es fa negativa respecte a l’atmosfèrica i entra aire al pulmó fins que desapareix el gradient de pressió.
L’expiració es produeix quan el diafragma es relaxa i la cúpula diafragmàtica puja passivament per la seva elasticitat, la pressió intrapulmonar es fa positiva pel que fa a l’atmosfèrica, el pulmó disminueix el seu volum i l’aire surt a l’exterior fins que desapareix el gradient de pressió i la pressió intraalveolar s’iguala a l’atmosfèrica.
En estat de repòs, el volum d’aire que entra al pulmó durant una inspiració es diu volum corrent i és de 500 cm³; la freqüència respiratòria és de 14 cicles per minut. Alhora, la capacitat pulmonar total oscil·la entre 4.000 i 6.000 cm³, depenent de l’edat, el pes i el sexe, i és més elevada en els homes que en les dones. Quan el diafragma es relaxa, la cúpula diafragmàtica puja i es produeix l’espiració:

Volums pulmonars o capacitats pulmonars
Els volums pulmonars o capacitats pulmonars es refereixen als diferents volums d’aire característics en la respiració humana. Un pulmó humà pot emmagatzemar al voltant de 5 litres d’aire en el seu interior, però una quantitat significativament menor és la que s’inspira i s’expira durant la respiració. Els més habituals són (vegeu la figura):
- Volum corrent (VC o VT): volum d’aire inspirat o expirat en cada respiració normal; és d’uns 500 ml aproximadament.
- Volum de reserva inspiratori (VRI): volum addicional màxim d’aire que es pot inspirar per sobre del volum corrent normal; habitualment és d’uns 3000 ml.
- Volum de reserva expiratori (VRE): quantitat addicional màxima d’aire que es pot expirar mitjançant una expiració forçada, després d’una expiració corrent normal; normalment és d’uns 1100 ml.
- Volum residual (VR): volum d’aire que queda als pulmons i les vies respiratòries després de l’expiració forçada, suposa de mitjana uns 1200 ml aproximadament. Aquest volum no pot ser exhalat.
- Capacitat inspiratòria (CI): volum d’aire que una persona pot respirar començant en el nivell d’una expiració normal i distenent al màxim els seus pulmons (3500 ml aprox.). La fórmula és la següent: CI = VC + VRI.
- Capacitat residual funcional (CRF): volum d’aire que queda als pulmons després d’una expiració normal (2300 ml aprox.). La fórmula és la següent: CRF = VRE + VR.
- Capacitat vital (CV): volum d’aire que és possible expulsar dels pulmons després d’haver inspirat completament és d’aproximadament 4,6 litres. La fórmula és la següent: CV = VRI + VC + VRE.
- Capacitat pulmonar total (CPT): volum d’aire que hi ha en l’aparell respiratori després d’una inhalació màxima voluntària. Correspon a aproximadament 6 litres d’aire. És el màxim volum al qual es poden expandir els pulmons amb el màxim esforç possible (5,800 ml aprox.). La fórmula és la següent: CPT = VC + VRI + VRE + VR.
Per determinar les capacitats, s’utilitzen les proves funcionals respiratòries, tal com veurem en aquest apartat.
Fisiologia de l'intercanvi i els transport de gasos
L’alvèol és la unitat bàsica de l’aparell respiratori on es dóna l’intercanvi de gasos. Són evaginacions de l’epiteli dels conductes aeris amb una sola obertura perquè surtin i entrin els gasos, controlada per l’acció d’un esfínter de múscul llis. Les seves parets, anomenades septes alveolars, proporcionen un gran augment de la superfície d’intercanvi (vegeu la figura).
Els alvèols se situen els uns al costat dels altres separats pels septes interalveolars, que són molt prims, ja que estan formats per l’epiteli pla simple d’un alvèol, la seva làmina basal, teixit connectiu amb una abundant xarxa de capil·lars sanguinis, làmina basal i l’epiteli pla simple de l’alvèol veí.
A més, les parets dels alvèols contenen múscul llis, fibres elàstiques i col·lagen. Si fallen les fibres elàstiques, els alvèols es col·lapsen i això provoca la desaparició de les divisions del sac alveolar i la incapacitat de fer l’intercanvi (vegeu la figura).
Revestiment epitelial alveolar
Les cèl·lules que formen el revestiment epitelial alveolar són (vegeu la figura):
- Pneumòcits de tipus I són cèl·lules primes i planes i formen l’estructura dels alvèols. Les cèl·lules de tipus I són planes (donant més superfície a cada cèl·lula) i cobreixen aproximadament el 90–95% de la superfície alveolar. Les cèl·lules de tipus I estan involucrades en el procés d’intercanvi de gasos entre els alvèols i la sang. Aquestes cèl·lules són extremadament fines. Aquestes cèl·lules han de ser tan fines perquè siguin fàcilment permeables per permetre un intercanvi de gasos fàcil entre els alvèols i la sang.
- Pneumòcits de tipus II segreguen tensioactiu pulmonar per reduir la tensió superficial de l’aigua i permet que la membrana se separi, per tant augmenta la seva capacitat per intercanviar gasos. Les cèl·lules alveolars de tipus II cobreixen una petita fracció de la superfície alveolar. Tot i que només representen <5% de la superfície alveolar, són relativament nombrosos (el 60% de les cèl·lules epitelials alveolars).
- Macròfag alveolar és un tipus de macròfag que es troba a l’alvèol pulmonar, prop dels pneumòcits, però separats de la paret.
L’activitat del macròfag alveolar és elevada, perquè es troben en un dels límits principals entre el cos i el món exterior. Són responsables d’eliminar partícules com la pols o els microorganismes de les superfícies respiratòries.
En la zona alveolar, on es dóna l’intercanvi gasós, la paret és més prima i s’anomena barrera alveolocapil·lar; està formada per:
- Surfactant, a la superfície alveolar.
- Pneumòcit tipus I, de l’epiteli alveolar.
- Làmines basals del pneumòcit i endoteli fusionades.
- Cèl·lula endotelial de la paret capil·lar.
Fisiologia de la respiració cel·lular
La respiració cel·lular és el metabolisme total, per mitjà de l’oxidació, de substàncies orgàniques fins obtenir matèria inorgànica per alliberar energia. El sustrat d’aquest metabolisme és la glucosa, àcids grassos i menys habitualment aminoàcids o derivats cetònics. Aquestes mol.lecules s’obtenen mitjançant la digestió i arriben a les cèl·lules mitjançant el sistema circulatori. Es combinen amb l’oxigen de l’aire mitjançant l’acció pulmonar i arriba a les cèl·lules per la sanguínia, viatjant en l’hemoglobina que hi ha en els glòbuls vermells (eritròcits).
Aquesta reacció d’oxidació produeix dos subproductes:
- Diòxid de carboni (CO2), que és evacuat per la circulació sanguínia, per on viatja dissolt en el plasma.
- Aigua (H2O).
La respiració cel·lular és una part del metabolisme, concretament del catabolisme, en la qual l’energia continguda en diferents biomolècules, com els glúcids, és alliberada de manera controlada. Durant la respiració, una part de l’energia lliure, despresa en aquestes reaccions exotèrmiques, és incorporada a la molècula d’ATP, que pot ser a continuació utilitzada en els processos biològics, com són els de manteniment i desenvolupament de l’organisme.
Proves de la funció respiratòria
Una prova funcional respiratòria o, més comunament, PFR (rarament s’utilitza el terme “prova funcional pulmonar”), és una avaluació de la funció pulmonar amb el propòsit d’avaluar la gravetat (o la progressió, en proves repetides en el temps) d’un deteriorament pulmonar i, a vegades, de facilitar el diagnòstic de la malaltia pulmonar (tenint en compte la resposta a fàrmacs, generalment broncodilatadors inhalats). Les PFR les fa normalment un tècnic especialista.
Les indicacions de les PFR inclouen la valoració, l’evolució o la confirmació diagnòstica de malalties pulmonars cròniques:
- Malaltia pulmonar obstructiva crònica.
- Asma.
- Emfisema pulmonar.
- Estudi de la dispnea crònica.
- Valoració preoperatòria.
- Valoració de l’afectació muscular en la respiració en malalties neurodegeneratives (per exemple: distròfia muscular de Duchenne).
Proves estrictament respiratòries són cinc:
- Espirometria, és la prova més habitualment realitzada.
- Pletismografia pulmonar, ocasionalment emprada en malalties pulmonars restrictives (per exemple: fibrosi pulmonar), i així determinar altres volums pulmonars.
- Cardiopulmonars, quan es valora la funcionalitat no solament dels pulmons sinó també del cor.
- Gasometria, arterial o venosa, majorment utilitzada en urgències.
- Prova de la marxa de 6 minuts, que determina la dessaturació d’oxigen durant l’exercici.
Patologies respiratòries
Entre les malalties respiratòries tractades per la pneumologia es troben les de les vies aèries altes, com la laringitis i la faringitis; les de les vies respiratòries baixes, que tenen diferents etiologies, com les de tipus al·lèrgic (per exemple, l’asma bronquial); les infeccioses, com la patologia pulmonar infecciosa (pneumònia, tuberculosi); tumors com el càncer de pulmó i les cròniques com la MPOC (malaltia pulmonar obstructiva crònica) i l’emfisema pulmonar.
Grip
La grip, influenza o influença estacional 1 és una malaltia infecciosa causada per l’influenzavirus A o l’influenzavirus B, gèneres de virus d’ARN de la família Orthomyxoviridae. En els éssers humans pot afectar les vies respiratòries, és a dir: nas, gola, bronquis i infreqüentment pulmons; però també pot afectar el cor, el cervell o els músculs.
La grip es distribueix mundialment en patrons estacionals, ja sigui com a epidèmies o com a pandèmies que provoquen una considerable morbiditat i mortalitat. Anualment es presenta a la tardor i a l’hivern en zones temperades.
La grip es transmet des d’individus infectats a través de gotes en aerosol carregades de virus procedents de secreció nasal, bronquial o saliva que contingui alguna d’elles, que són emeses amb la tos o els esternuts o només en parlar. Generalment, es requereix una distància propera (menor d’un metre) amb la persona malalta per ser infectat.
La grip sol resoldre’s espontàniament en alguns dies, però en alguns casos pot agreujar-se a causa de complicacions que poden resultar fatals, especialment en nens petits, embarassades, adults majors o persones amb el seu estat immunitari alterat.
Pot agreujar patologies cròniques prèvies, i pacients amb emfisema, bronquitis crònica o asma poden presentar episodis de dispnea durant la fase aguda de la grip, i també pot agreujar una patologia coronària prèvia o descompensar un quadre d’insuficiència cardíaca. El tabac és un altre factor de risc que s’associa amb quadres més greus i un increment de la mortalitat, però no per la seva acció directa en la patogènia, sinó per les lesions emfisematoses i bronquítiques prèvies i subjacents.
La grip pot ser similar a un refredat, però se sol iniciar sobtadament amb febre alta, mal de coll, debilitat, malestar general, dolors musculars (miàlgies), dolor estomacal, dolors articulars (artràlgies), mal de cap (cefalea) i tos, que generalment és seca i sense mucositat. També pot provocar, més sovint en nens, nàusees, vòmits i diarrea.
En els casos més greus, la grip provoca pneumònia, que pot resultar fatal, especialment en els infants i la gent gran. Tot i que sovint se la confon amb un refredat, la grip és una malaltia molt més greu i és provocada per un tipus de virus diferent.
S’aconsella la vacunació en persones amb un risc elevat, com les d’edat avançada o les debilitades, però s’ha de tenir en compte que com que el virus muta ràpidament la formulació d’una vacuna només serveix per a un any.
Qui pren cura d’un malalt de grip, hauria de seguir les normes higièniques bàsiques per limitar-ne la transmissió. Les més importants són la neteja de mans amb aigua i sabó, neteja del terra i superfície dels mobles amb desinfectants (com aigua amb lleixiu) i la ventilació de la cambra.
Refredat
El refredat, o constipat és una afecció catarral de les vies respiratòries altes, de naturalesa vírica, bacteriana o al·lèrgica, afavorida per efecte del fred o de la humitat. Afecta una o més mucoses i es caracteritza especialment per la fluxió o destil·lació que ataca el nas, la boca o el pit.
Produeix una hipertèrmia moderada, esgarrifances i un malestar general. En la major part dels casos l’agent patogen és un virus (rinovirus, mixovirus, adenovirus, virus sincitial respiratori, picornavirus). També rep els noms de refredat comú i rinitis aguda.
Habitualment és una malaltia infecciosa viral lleu del sistema respiratori superior (nas i gola). Els seus símptomes, amb més detall, són eixavuiros, secreció nasal, goteig o congestió nasal –sovint tots alhora o un a cada fosa nasal–, picor, mal de coll, tos, mal de cap i una sensació de malestar general. És una de les malalties més comunes per a la qual actualment no hi ha cura coneguda, però els símptomes generalment remeten espontàniament en 7-10 dies, encara que alguns es poden mantenir fins a tres setmanes.
El refredat comú pertany a les infeccions del tracte respiratori superior. És diferent de la grip, una infecció viral més greu del tracte respiratori, amb la qual de vegades es confon, però que mostra símptomes addicionals: febre en augment, tremolors i dolor/s musculars, mocs…, per bé que moltes persones confonen dues malalties.
Pneumònia
La pneumònia o pulmonia és un trastorn inflamatori del pulmó. Sovint se la descriu com, alhora, una inflamació pulmonar parènquima-alveolar i una repleció alveolar anormal amb consolidació i exsudació de fluids.
Els alvèols són bosses microscòpiques plenes d’aire dels pulmons, encarregades d’absorbir l’oxigen. La pneumònia pot deure’s a una varietat de causes, incloent-hi infecció per bacteris, virus, fongs o paràsits, o una lesió química o física dels pulmons. La seva causa també pot descriure’s oficialment com a “idiopàtica” (és a dir, desconeguda) quan s’han exclòs les causes infeccioses.
Com es pot veure a la figura, la pneumònia omple els alvèols del pulmó de fluids, evitant que l’oxigen arribi a la sang: l’alvèol de l’esquerra és normal, mentre que el de la dreta està ple de fluid a causa de la pneumònia.
Els malalts de pneumònia infecciosa sovint presenten com a símptomes una tos que produeix un esput verdós o groc, o flegma i una febre alta que pot anar acompanyada d’esgarrifances febrils. La dispnea també és habitual, igual que un dolor toràcic pleurític, un dolor agut o punxant, que apareix o empitjora quan es respira fondo. Els malalts de pneumònia poden tossir sang, patir mal de caps o presentar una pell suosa i humida.
Altres símptomes possibles són manca d’apetit, fatiga, pell blava, nàusees, vòmits, canvis d’humor i dolors articulars o musculars. Les formes menys comunes de pneumònia poden causar altres símptomes; per exemple, la pneumònia causada per Legionella pot causar dolors abdominals i diarrea, mentre que la pneumònia provocada per tuberculosi o Pneumocystis pot causar únicament pèrdua de pes i suors nocturnes.
En la gent gran, la manifestació de la pneumònia pot no ser típica. Poden desenvolupar una confusió nova o més greu, o experimentar desequilibris, provocant caigudes. Els infants amb pneumònia poden presentar molts dels símptomes mencionats, però en molts casos simplement estan endormiscats o perden l’apetit (vegeu la figura).
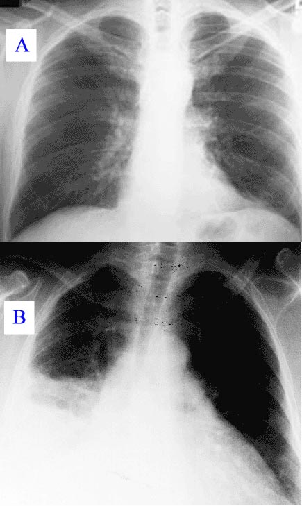
Una prova important per a la pneumònia en situacions incertes és una radiografia toràcica, ja que poden revelar zones d’opacitat (de color blanc) que representen consolidació. La pneumònia no apareix sempre a les radiografies, bé perquè la malaltia encara es troba en un estat inicial o perquè concerneix una part del pulmó que no es veu fàcilment en les radiografies.
-

- La pneumònia vista per radiografia: radiografia toràcica normal (A) i anormal (B), amb opacitat per pneumònia al pulmó dret (àrea blanca, costat esquerre de la imatge).
Tuberculosi
La tuberculosi, abreujada com a TBC o TB (tubercle bacillus), és una malaltia infecciosa comuna i sovint mortal causada per microbacteris, principalment Mycobacterium tuberculosis.
La tuberculosi sol atacar els pulmons (com a TB pulmonar), però també pot afectar el sistema nerviós central, el sistema limfàtic, el sistema circulatori, el sistema genitourinari, el sistema gastrointestinal, els ossos, les articulacions i, fins i tot, la pell.
Els símptomes clàssics de la tuberculosi són una tos crònica, amb esput sanguinolent, febre, suors nocturnes i pèrdua de pes. A banda, la infecció d’altres òrgans causa una àmplia varietat de símptomes.
El diagnòstic es basa en la radiologia (habitualment radiografies toràciques), una prova de la tuberculina cutània i anàlisis de sang, així com una examinació al microscopi i un cultiu microbiològic dels fluids corporals. A la figura podeu veure una placa anteroposterior de raigs X d’un pacient diagnosticat amb avançat estat de tuberculosi en els dos pulmons. Aquesta radiografia del pit revela la presència d’una infiltració (triangles blancs) i una cavitat (fletxes negres) present en el costat dret. El diagnòstic és tuberculosi en un grau sever d’avanç.
La tuberculosi s’encomana per via aèria quan les persones infectades tussen, esternuden o escupen. El seu tractament és complicat i llarg, i requereix diversos antibiòtics. La resistència als antibiòtics és un problema creixent en la tuberculosi àmpliament resistent als fàrmacs.
Bronquitis
La bronquitis és una inflamació dels bronquis (vies respiratòries de grandària mitjana) en els pulmons. La bronquitis aguda és generalment causada per virus o bacteris i pot durar diversos dies o setmanes.
La bronquitis crònica no és necessàriament causada per una infecció i és normalment part d’una síndrome anomenada malaltia pulmonar obstructiva crònica; es diagnostica clínicament com una tos persistent que produeixi esput (flegma), durant almenys tres mesos en dos anys consecutius.
La bronquitis aguda es caracteritza per tos, producció d’esput (flegma) i símptomes relacionats amb l’obstrucció de les vies respiratòries a causa de la seva inflamació i de la flegma, tals com falta d’alè i sibilacions. Està causada per una infecció vírica, com ara un refredat, o una infecció bacteriana, com el Mycoplasma, la Bordetella i la Chlamydia. També pot provenir d’haver respirat gasos irritants, com ara els del fum del tabac o de l’aire contaminat. El principal símptoma és la tos persistent (vegeu la figura).
Pel que fa al seu tractament, si es considera que la bronquitis és bacteriana, per regla general es tracta amb antibiòtics. És comú l’ús d’amoxicilina. En casos d’asma solen usar-se inhaladors per evitar les asfíxies —broncodilatadors — o la inflamació —esteroides—. Per les obstruccions per talls en la respiració (dispnea) deguts al broncoespasme sol usar-se un inhalador de rescat de salbutamol —Ventolin, Salbutomal—. Existeixen altres inhaladors que poden ser prescrits per a un ús diari.
Malaltia pulmonar obstructiva crònica (MPOC)
La malaltia pulmonar obstructiva crònica (MPOC) es caracteritza per la presència d’una obstrucció crònica i poc reversible al flux aeri. Sol iniciar-se amb una bronquitis crònica i pot coexistir amb l’emfisema pulmonar; un parell de malalties dels pulmons, en les quals també les vies respiratòries s’estrenyen.
Això porta a una limitació del flux d’aire cap i des dels pulmons, que provoca dispnea (dificultat per respirar). A la pràctica clínica, la MPOC es defineix pel seu característic baix flux d’aire en les proves de funció pulmonar. En contrast amb l’asma, aquesta limitació és poc reversible i en general empitjora progressivament amb el temps.
La MPOC és causada per partícules nocives o gasos, en general de consum de tabac (tabaquisme), fet que desencadena una resposta inflamatòria anòmala del pulmó. Només un 20-25% dels fumadors desenvolupen la malaltia, però es desconeixen les causes de predisposició al desenvolupament, tot i que pot ser que sigui un component multifactorial que inclogui elements ambientals com susceptibilitat individual.
El diagnòstic de MPOC requereix proves de funció pulmonar. Les mesures de tractament més importants inclouen la cessació del tabaquisme, la teràpia farmacològica (principalment amb l’ús d’inhaladors), la vacunació (antigripal i antipneumocòccica) i la rehabilitació. Alguns pacients poden requerir tractament a llarg termini d’oxigen (oxigenoteràpia). La figura mostra un tall de pulmó amb cavitats emfisematoses, característiques en pacients fumadors.
Emfisema
L’emfisema pulmonar és una malaltia pulmonar que malmet els sacs aeris (alvèols), provocant que els pulmons siguin menys capaços d’expandir-se i de contraure’s a causa d’una pèrdua d’elasticitat. Els alvèols no poden contraure’s completament i, per tant, són incapaços d’omplir-se d’aire fresc i brindar una deguda ventilació. L’emfisema és sovint causat pel consum de tabac i l’exposició a llarg termini a la contaminació atmosfèrica.
Asma
L’asma és una malaltia inflamatòria de l’aparell respiratori que provoca dificultat en la respiració (dispnea). Aquesta malaltia provoca generalment danys en els bronquis i els bronquíols. Aquests disminueixen la seva mida i dificulten l’entrada de l’aire als pulmons.
Aquest procés s’associa a una hiperresposta dels bronquis que produïx episodis de sibilacions (xiulets), dispnea (sensació de falta de respiració), opressió toràcica i tos, particularment durant la nit o matinada. Aquests episodis s’associen generalment amb un major o menor grau d’obstrucció al flux aeri sovint reversible de forma espontània o amb tractament (vegeu la figura).
Els factors desencadenants o causes de l’asma són l’al·lèrgia, l’exercici físic, els fàrmacs, l’estrès (emocions) o la infecció.
Patologies de les vies respiratòries altes
Les vies respiratòries altes poden sofrir diverses patologies. Per exemple, la faringitis és la inflamació de la mucosa que revesteix la faringe, des de l’epifaringe fins a la hipofaringe. Generalment, l’acompanyen símptomes com deglució difícil, amígdales inflamades i febre més o menys elevada. Les causes més freqüents de la faringitis són les infeccions víriques, i en algunes ocasions, infeccions bacterianes o reaccions al·lèrgiques. Els principals agents causants bacterians són l’Streptococcus pyogenes i l’Haemophilus influenzae, entre d’altres. Presenta el següent quadre clínic:
- Disfàgia i/o odinofàgia
- Hiperèmia de la mucosa
- Distèrmia (des de febrícula fins a hipertèrmia).
- Astènia
- Adenomegàlies
- Aftes bucals
- Amígdales vermelles
L’amigdalitis (vulgarment, mal de gola) és la inflamació d’una amígdala palatina o ambdues; són masses de teixit ovals, carnoses i grans que són a la paret lateral de l’orofaringe, a cada costat de la gola. Aquestes agrupacions de teixit contenen les cèl·lules que produeixen anticossos útils en la lluita contra la infecció.
D’altra banda, la laringitis és una inflamació de la laringe que dóna lloc a una veu ronca o a una pèrdua completa de la veu a causa de la irritació dels plecs vocals (cordes vocals). La disfonia és el terme mèdic per un trastorn de la veu, de la qual la laringitis és una de les causes.
La laringitis es classifica com aguda si dura menys d’uns quants dies. En cas contrari, es classifica com a crònica, i pot durar més de tres setmanes. La forma crònica es produeix sobretot en l’edat mitjana de la vida i és molt més comú en homes que en dones. Les causes de la laringitis són:
- Infeccions virals: la causa més freqüent en l’edat pediàtrica pot prendre una forma especial: la laringitis estridulosa.
- Altres infeccions: bacteriana o fúngica (rar).
- Tos excessiva, tabaquisme o consum d’alcohol.
- Per reflux àcid (reflux faringolaringi).
- Al·lèrgies.
- Inflamació per un ús excessiu de les cordes vocals.
La sinusitis és una malaltia que consisteix en la inflamació dels sins paranasals, que pot o no ser com a conseqüència de la infecció per bacteris, fongs o virus, al·lèrgia o de causa autoimmune. Les noves classificacions de la sinusitis s’hi refereixen com a rinosinusitis, tenint en compte la idea que la inflamació dels sins no pot succeir sense una inflamació del nas (rinitis).
Finalment, la rinitis és una irritació i inflamació del revestiment mucós del nas, caracteritzada clínicament per un o més símptomes: rinorrea, tos, pruïja (picor intensa) nasal, congestió i drenatge (secreció) postnasal. La rinitis al·lèrgica està motivada per un increment de la histamina. La causa de la rinitis pot ser deguda a virus, bacteris o irritants.
Edema de pulmó
Hi ha patologies que tenen una etiopatogènia relacionada amb el sistema circulatori, com el cor pulmonar i l’edema de pulmó, que tenen una clínica típica de les malalties respiratòries. Un edema pulmonar és una acumulació anormal de líquid en els pulmons, en especial els espais entre els capil·lars sanguinis i l’alvèol, que comporta que es presenti inflor.
Entre les seves causes, incidència i factors de risc trobem que l’edema pulmonar, generalment, és causat per insuficiència cardíaca. A mesura que el cor deixa de funcionar, la pressió en les venes que van al pulmó comença a elevar-se i, a mesura que aquesta pressió s’incrementa, el líquid és empès cap als alvèols. Aquest líquid es comporta com una barrera que interromp el moviment normal de l’oxigen a través dels pulmons, la qual cosa provoca dificultat per respirar.
L’edema pulmonar també pot ser causat per una lesió directa en el pulmó, com la provocada per gas verinós (comú en els incendis productors de grans fums) o infecció severa. El dany pulmonar i l’acumulació de líquid, que és generalitzat en el cos, també s’observa en la insuficiència renal, per les grans pèrdues de proteïnes i la consegüent disminució de la pressió oncòtica en la sang en comparació de l’espai intersticial.
L’edema pulmonar pot ser una complicació d’un atac cardíac, filtració o estrenyiment de les vàlvules cardíaques (tricúspide o mitral) o qualsevol malaltia cardíaca que ocasioni debilitament o bé rigidesa del múscul cardíac (miocardiopatia).
Els símptomes d’un edema de pulmó són els següents:
- Dificultat respiratòria.
- Insuficiència respiratòria.
- Sensació de “falta d’aire” o “asfíxia”.
- Sons roncs en respirar.
- Sibilacions.
- Dificultat per respirar en anar a dormir, la qual cosa fa que el pacient necessiti dormir amb el cap aixecat o utilitzar coixins addicionals.
- Tos.
- Ansietat.
- Inquietud.
- Sudoració excessiva.
- Pell pàl·lida.
Cor pulmonar
La malaltia cor pulmonar, també coneguda amb el seu nom llatí, cor pulmonale, és l’allargament i la disfunció del ventricle dret del cor com a resposta a una resistència vascular augmentada o pressió sanguínia alta en els pulmons (hipertensió pulmonar).
La malaltia de cor pulmonar crònica normalment provoca una hipertròfia ventricular dreta (RVH), mentre que malaltia de cor pulmonar aguda normalment comporta un vasodilatació. La hipertròfia és una resposta adaptativa a un augment de pressió de llarga durada. Les cèl·lules musculars individuals es fan més grans (en gruix) i canvien per suportar la força contràctil augmentada requerida per moure la sang contra una resistència continuada. La dilatació és un estirament (en longitud) del ventricle com a resposta a una pressió augmentada aguda, com la causada per una embòlia pulmonar o SDRA (síndrome del destret respiratori de l’adult).
Per ser classificat com a malaltia pulmonar, la causa s’ha d’originar en el sistema de circulació pulmonar. Les dues causes importants són canvis vasculars arran de danys del teixit (per exemple, malaltia, hipòxia, agents químics…) i d’una vasoconstricció pulmonar hipòxica crònica. Si no es tracta pot provocar la mort. La hipertròfia ventricular dreta causada per un defecte sistèmic no està classificada com a malaltia cardíaca pulmonar.
El cor i els pulmons estan intricadament relacionats. Quan el cor està afectat per una malaltia, els pulmons els seguiran, i viceversa. La malaltia de cor pulmonar és, per definició, una condició en què els pulmons causen la disfunció del cor.
Principals malalties de la pleura
Les principals malalties de la pleura són sis:
- Pneumotòrax: presència d’aire en la cavitat pleural.
- Vessament pleural: presència de líquids en cavitat pleural.
- Empiema pleural: presència de pus en la cavitat pleural.
- Hemotòrax: presència de sang en la cavitat pleural.
- Hemoneumotòrax: presència de sang i aire en la cavitat pleural.
- Quilotòrax: presència de líquid limfàtic en la cavitat pleural.
Valoració de la necessitat de respirar
El procés infermer és l’aplicació del mètode científic a la pràctica assistencial infermera que permet la realització de cures de forma racional, lògica i sistemàtica. Consta de diverses fases (vegeu la figura). La valoració de la necessitat de respirar s’inclou en la valoració general de necessitats bàsiques d’infermeria, i porta cap a:
- El diagnòstic de les necessitats (en aquest cas, de la necessitat de respirar del pacient).
- L’execució del pla de cures d’infermeria (en aquests casos, habitualment, aplicar oxigeniteràpia, fisioteràpia respiratòria, aspiració de secrecions o ventilació al pacient).
Els signes o símptomes més comuns, indicadors de la necessitat de respirar, es recullen en els documents d’infermeria, com aquest de Valoració del pacient (vegeu la figura). Com podeu observar, apareixen diferents elements valorables en forma de signes o símptomes que identifiquen la necessitat de respirar en un pacient:
- Respiració: normal, taquipnea, bradipnea.
- Tos: seca o productiva.
- Expectoració: escassa o abundant, mucosa, purulenta, mucopurulenta i/o hemoptoica.
- Aspirar secrecions: Marcar “no” o “sí”; assenyalant si és lleu, moderada o severa.
- Cianosi: central, perifèrica, severa, moderada o lleu.
Exemples de diagnòstic, objectiu i intervenció de la necessitat de respirar
Després de fer la valoració inicial d’un pacient de la necessitat de respirar, s’observa que té com a signes simptomàtics:
- Hipercàpnia
- Agitació
- Hipòxia
- Confusió
- Dispnea
Es dedueix que presenta com a diagnòstic deteriorament de l’intercanvi de gasos; s’estableix l’objectiu de millorar l’intercanvi de gasos i, finalment, es decideix aplicar-li oxigenoteràpia. Per tant, es concreta:
- Codi diagnòstic: 00030 Deteriorament de l’intercanvi gasós.
- Objectius: 402 Estat respiratori: intercanvi gasós.
- Intervencions/cures: 3320 Oxigenoteràpia.
Per altra banda, en la figura teniu un exemple de diagnòstic, objectiu i intervenció de la necessitat de respirar, 00031 Neteja ineficaç de les vies aèries:
Per veure més exemples podeu consultar aquest enllaç de Mundo Enfermero: tinyurl.com/y24eftre.
Davant els principals signes o símptomes que identifiquen la necessitat de respirar, el tècnic en cures auxiliars d’infermeria (TCAI) ha de ser capaç de:
- Identificar les necessitats i demandes de respirar del pacient/client a partir de la història clínica, el pla de cures i la comunicació amb el pacient/client i acompanyants.
- Determinar el tipus d’atencions relacionades amb les necessitats de respirar que requereixen els pacients/clients, en funció de les seves necessitats, del grau de dependència i del pla de cures.
- Formalitzar gràfics, fulls de registre, fulls d’observacions i d’altres, a partir de les dades i els resultats de l’observació i comunicació amb el pacient/client i acompanyants amb relació a les necessitats de respirar.
Els signes o símptomes que recullen els documents de valoració d’infermeria i que identifiquen més habitualment la necessitat de respirar en un pacient són: secrecions, expectoració, tos, cianosi i els tipus de respiració.
Secrecions
L’esput és la matèria expectorada de les vies respiratòries, com ara mocs o flegma, barrejats amb saliva, que poden ser escopits per la boca. Sol estar associat amb les vies respiratòries en pulmons, bronquis o el sistema respiratori superior. A vegades pot dur sang si es tracta d’una tos crònica, causada possiblement per casos greus de tuberculosi.
Quan la quantitat augmenta per inflamació o irritació causada per malalties es produeix una obstrucció que dificulta la funció respiratòria i es requereix l’expulsió del material mitjançant l’expectoració, sent símptoma important des del punt de vista de la semiologia clínica de la mateixa manera que l’examen del producte d’aquesta acció, és a dir, l’esput.
A més de la petita quantitat, l’esput normal és incolor i transparent o lleugerament blanquinós, i l’examen microscòpic revela la presència nul·la o mínima de cèl·lules, detritus, així com flora normal del tracte respiratori alt i de la boca, ja que les vies respiratòries baixes són normalment estèrils, com cocs i bacils grampositius i gramnegatius i llevats, sospitant en cas contrari de contaminació de la mostra o presència de malaltia com bronquitis i pneumònia, o abscessos i tumors.
L’esput pot ser (característiques):
- Sanguinós, sovint en casos de tuberculosi (hemòptisi).
- De color rovellat, sovint causat per bacteris pneumococs (en pneumònia).
- Purulent o mucopurulent, quan conté pus; si és abundant es denomina vòmica.
- De color blanc escumós, que pot ser causat per una obstrucció o fins i tot un edema.
- Serós.
- Mucós.
Expectoració
Expectoració és l’acció d’expectorar, és a adir, d’arrencar i llançar per la boca les flegmes i altres secrecions que es dipositen a la faringe, la laringe, la tràquea o els bronquis.
Tant per excés com per defecte, l’expectoració suggereix el patiment d’alguna malaltia. A més, si s’acompanya de sang (esput hemoptoic), secrecions purulentes (tos vòmica) o altres alteracions en el seu color o contingut, també orienten cap a determinats problemes de salut que han de ser consultats immediatament.
Tos
La tos és un mecanisme reflex complex que permet mantenir la funció d’intercanvi de gasos dels pulmons evitant l’aspiració de cossos estranys o bé alliberant la via aèria de secrecions o partícules mitjançant l’expiració violenta.
En situacions en què és productiva té un efecte protector de les vies aèries i dels pulmons, ja que:
- Facilita l’eliminació de secrecions.
- Ajuda a desprendre i desplaçar les secrecions adherides a les parets bronquials perquè puguin ser mobilitzades i expulsades pel pacient.
- En eliminar secrecions, augmenta la capacitat pulmonar del pacient i evita possibles complicacions, alhora que disminueix el treball respiratori a través de la disminució de les resistències bronquials.
En altres condicions pot arribar a ser excessiva i sense utilitat; si es converteix en un factor potencialment nociu arriba a ser excessiva i perjudicial per a la via aèria i empitjora la qualitat de vida dels malalts.
Cada tos es genera per l’estimulació d’un complex arc reflex. Es pot iniciar per l’estimulació mecànica o química de receptors situats a la tràquea, la carina traqueal, els bronquis i els bronquíols; també se situen a la laringe i la faringe. Trobem altres receptors, però només de tipus mecànic, en el conducte auditiu extern, els timpans, els sins paranasals, el diafragma, la pleura, el pericardi i l’estómac.
Les vies aferents porten l’impuls nerviós a través del nervi vague al centre de la tos, que se situa en la medul·la espinal (vegeu la figura). Des d’aquí es produeix un senyal de resposta via eferent que viatja pel nervi vague, el nervi frènic i els nervis motors espinals, que provoca la contracció espasmòdica sobtada i de vegades repetitiva de la cavitat toràcica, fet que resulta en un alliberament violent de l’aire dels pulmons, que fa un so característic.
Etiologia, mecanisme i classificació de la tos
La causa o etiologia de la tos pot ser deguda a l’estimulació inflamatòria, mecànica, química o tèrmica dels receptors de la tos.
L’estimulació inflamatòria s’inicia per l’edema i la hiperèmia de les mucoses respiratòries, com passa a la bronquitis bacteriana o vírica, el refredat comú i el consum excessiu de tabac. També pot ser causada per la irritació produïda per processos exudatius, com el degoteig nasal posterior i el reflux gastroesofàgic amb aspiració. Aquests estímuls poden sorgir bé en les vies respiratòries (com passa en la laringitis, la traqueïtis, la bronquitis i la bronquiolitis) o bé en els alvèols (com ocorre en la pneumonitis i en els abscessos pulmonars).
Els estímuls mecànics es produeixen per la inhalació de partícules tals com les de pols, i per la compressió de les vies respiratòries o l’exercici o pressió sobre aquestes estructures. Les lesions que s’associen amb la compressió de les vies respiratòries poden ser extramurals o intramurals a la via aèria.
Entre les causes mecàniques figuren els aneurismes de l’aorta, el granuloma, neoplàsies pulmonars i tumors del mediastí (vegeu la figura); les lesions intramurals comprenen els carcinomes broncògens, adenomes bronquials, cossos estranys, afectació granulomatosa de l’interior dels bronquis i contracció dels músculs llisos de les vies respiratòries (asma bronquial).
Els estímuls de tipus químic i tèrmic són propis de casuses externes accidentals i per tant menys freqüents.
D’altra banda, la tos es pot iniciar bé de forma voluntària o com un mecanisme reflex. La seqüència de la tos comprèn (vegeu la figura):
- Un estímul apropiat a receptors dins de la distribució sensorial dels nervis trigemin, glossofaringi, laringi superior i vague, que inicia una inspiració profunda.
- Això se segueix del tancament de la glotis, una relaxació diafragmàtica i una contracció muscular enfront de la glotis tancada, de manera que es produeix el màxim de pressió positiva dins del tòrax i de les vies respiratòries. Aquestes pressions positives intratoràciques donen lloc a un estrenyiment de la tràquea a través d’un plec de la membrana posterior, més elàstica.
- Una vegada que s’obre la glotis, la combinació d’una gran diferència de pressions entre les vies respiratòries i l’atmosfera, juntament amb aquest estrenyiment traqueal, produeix fluxos a través de la tràquea la velocitat dels quals s’aproxima a la del so. Les forces de cisallament que es desenvolupen cooperen en l’expulsió del moc i els cossos estranys.
Finalment, trobem diversos tipus de tos; es classifiquen depenent de la seva composició, durada i presentació (vegeu la taula).
| Criteri | Tipus de tos | Característiques |
|---|---|---|
| Composició | Seca | Només expulsa aire |
| Productiva | Expulsa aire acompanyat d’esput, és a dir, produeix expectoració | |
| Emetitzant | Produeix vòmits (amb aliments, líquids, bilis…) | |
| Durada | Aguda | Menys de 3 setmanes |
| Subaguda | De 3 a 8 setmanes | |
| Crònica | Més de 8 setmanes | |
| Presentació | Espasmòdica | En forma d’espasmes |
| Sibilant | Acompanyada de sorolls respiratoris aguts | |
| Convulsiva o convulsa | Accessos violents, intermitents i sufocants de tos (cops de tos) | |
| Nocturna | Només o principalment apareix a la nit | |
| D’esforç | Provocada voluntàriament, generalment per expulsar aliments o cossos estranys ingerits |
Cianosi
Cianosi és la coloració blavosa de la pell, les mucoses i els llits unguials, usualment deguda a la presència d’hemoglobina sense oxigen en els vasos sanguinis prop de la superfície de la pell. La cianosi depèn de la quantitat i no d’un percentatge d’hemoglobina desoxigenada. Pot ser difícil de detectar en els pacients amb pell molt pigmentada. N’hi ha de dos tipus: central i perifèrica.
En la cianosi central, la hipoxèmia arterial amb freqüència és causada per l’alteració de la funció pulmonar (hipoventilació alveolar, alteracions de la ventilació-perfusió, trastorns de difusió d’oxigen). Això redueix el contingut d’oxigen en la sang procedent dels pulmons o una gran pèrdua d’oxigen per un descens de la circulació de la sang en els vasos sanguinis de la pell. En la cianosi central, tant la pell com les mucoses tenen un color blavós. Algunes de les causes de cianosi central són les següents:
- En el sistema nerviós central:
- Hemorràgia intracranial
- Hipòxia cerebral
- En el sistema respiratori:
- Bronquiolitis
- Broncoespasme (per exemple, asma)
- Malaltia pulmonar
- Embòlia pulmonar
- MPOC (emfisema i bronquitis crònica)
- Trastorns cardíacs:
- Insuficiència cardíaca
- Malalties de les vàlvules del cor
- Infart de miocardi
- Altres:
- Hipotèrmia
Per la seva banda, la cianosi perifèrica apareix com a resultat de la disminució del flux sanguini perifèric i de vasoconstricció. El flux sanguini lent permet que cada hematia estigui en contacte amb els teixits durant més temps; en conseqüència, s’extreu més oxigen de la sang arterial amb el posterior increment d’hemoglobina reduïda en la sang venosa.
S’observa habitualment en els teixits perifèrics (mans, orelles, nas i peus), podent ser generalitzada o localitzada. Les causes que l’originen són múltiples, entre les quals es troben les mateixes que en el cas de la cianosi central, excepte que la perifèrica pot observar-se sense que hi hagi problemes cardíacs o pulmonars. Els petits vasos sanguinis poden ser restringits i es pot tractar mitjançant l’augment del nivell d’oxigenació normal de la sang, per l’escalfament de la zona o per elevació dels membres afectats. Les causes de la cianosi perifèrica poden ser:
- Totes les causes que produeixen cianosi central
- Obstrucció arterial
- Vasoconstricció
- Disminució de la despesa cardíaca (per exemple, insuficiència cardíaca, hipovolèmia)
- Obstrucció venosa (per exemple, trombosi venosa profunda)
Tipus de respiració
Els aspectes a valorar de la respiració són indicadors que reflecteixen l’estat fisiològic dels òrgans fonamentals (cervell, cor, pulmons). Orienten sobre alteracions de salut no solament de l’aparell respiratori. Expressen de manera immediata els canvis funcionals que succeeixen en l’organisme. Els tipus de respiració que podem trobar són els següents:
Hiperpnea i taquipnea
De vegades podem distingir-les, en el sentit que la taquipnea es refereix a respiracions ràpides i poc profundes, mentre que la hiperpnea s’entén com a respiració ràpida i profunda.
- L’eupnea o respiració normal.
- L’apnea o cessació de la respiració.
- La bradipnea, un descens de la freqüència respiratòria per sota dels valors normals (baixa a 10 rpm). Es considera normal en adults en repòs una freqüència respiratòria d’entre 12 i 20 vegades per minut.
- Ortopnea. Alteració de la respiració en la posició estirada, alleujada per estar asseguda o dempeus.
- La taquipnea en els adults en repòs, qualsevol tipus de respiració entre 12 i 20 respiracions per minut és normal, i la taquipnea s’indica amb una velocitat superior a 20 respiracions per minut.
- La hiperpnea augmenta la profunditat de respiració. Pot ser fisiològica -com quan es requereix per satisfer la demanda metabòlica dels teixits corporals (per exemple, durant o després de l’exercici o quan el cos no té oxigen a gran altitud o com a conseqüència de l’anèmia)- o patològica, com quan la sèpsia és greu. Deriva en hiperventilació.
- La hiperventilació consisteix en l’augment del volum d’aire que entra als alvèols pulmonars. Es produeix a causa d’una hiperpnea.
- La hipopnea és una respiració més superficial del normal. Es defineix normalment per una disminució del moviment d’aire als pulmons i pot causar que els nivells d’oxigen en la sang caiguin. Deriva en hipoventilació.
- La hipoventilació consisteix en la disminució del volum d’aire que entra en els alvèols pulmonars. Es produeix per hipopnea.
- La polipnea consisteix en un augment de la freqüència i profunditat respiratòries. Es pot definir la polipnea com una combinació de taquipnea (respiració ràpida i superficial per sobre dels 20 cicles per minut) i hiperpnea (respiració profunda). Així, per exemple, el panteix és una taquipnea, mentre que la respiració sota esforç és una polipnea. Un cas extrem de polipnea és la respiració de Kussmaul, que apareix en els pacients en coma cetoacídic.
- La respiració de Kussmaul és un patró de respiració anormal, que és profunda i dificultosa, sovint associada amb acidosi metabòlica severa, especialment en la cetoacidosi diabètica, i en la insuficiència renal terminal. És una forma d’hiperventilació, respiració que s’incrementa a mesura que augmenta l’acidosi metabòlica. Així, la respiració és inicialment ràpida i superficial, però a mesura que empitjora l’acidosi, la respiració es torna a poc a poc profunda, lenta i dificultosa.
- La respiració de Cheyne-Stokes és un patró de respiració anormal caracteritzat per l’alternança d’una respiració cada vegada més profunda i més ràpida, seguida d’un descens gradual de la profunditat i rapidesa, fins a una parada temporal de la respiració (apnea). Es pot observar en pacients amb insuficiència cardíaca, accidents cerebrovasculars, lesions cerebrals traumàtiques i tumors cerebrals.
- La respiració atàxica és un patró anormal de la respiració caracteritzat per la seva irregularitat completa, que combina períodes d’apnea amb moviments respiratoris irregulars i superficials. Aquest signe clínic s’associa amb una lesió en els centres respiratoris del sistema nerviós. És el mateix que la respiració de Biot, i presenta un mal pronòstic, el qual és usualment més greu que la respiració de Cheyne-Stokes. En pacients en coma sol ser l’avantsala d’una aturada cardiorespiratòria.
- Dispnea o falta d’alè, vinculada a la sensació d’angoixa respiratòria. La dispnea és una dificultat respiratòria que se sol traduir en falta d’aire. Deriva en una sensació subjectiva de malestar que sovint s’origina en una respiració deficient, englobant sensacions qualitatives diferents variables en intensitat. Aquesta experiència s’origina a partir d’interaccions en què intervenen factors fisiològics, psicològics, socials i ambientals múltiples, que poden al seu torn induir des de respostes fisiològiques fins a comportaments secundaris.
Sorolls respiratoris
Els sorolls respiratoris són aspectes a valorar de la respiració. Es tracta d’indicadors que reflecteixen l’estat fisiològic de l’aparell respiratori. És a dir, expressen, de manera immediata, els canvis funcionals que succeeixen en les vies aèries. Els podem classificar en:
- Audibles sense estetoscopi: ranera, estridor i panteix.
- Audibles amb estetoscopi: sibilacions, crepitant i roncus.
En medicina, les raneres són sorolls anormals emesos durant la respiració. Són sorolls pulmonars anormals que es produeixen pel pas de l’aire per les vies respiratòries obstruïdes per mucositats. Les raneres es produeixen en travessar, l’aire de la respiració, les secrecions que s’acumulen en l’interior de l’espai que deixen els bronquis, o bé quan aquest aire passa per un conducte estret. Apareix en certes malalties de l’aparell respiratori i es percep mitjançant l’auscultació. Segons el so, les raneres es classifiquen en humides i seques:
- Les raneres humides són originades per la presència de líquid en l’alvèol. Aquest líquid pot ser sang (hemorràgia), pus (pneumònia) o edema d’origen cardiogènic a causa d’una insuficiència cardíaca congestiva.
- Les raneres seques són degudes a malalties intersticials difuses del pulmó, com la fibrosi quística. S’aprecia un soroll semblant al que fa el velcro quan se separa.
La ranera terminal (o de mort) és un tipus específic de respiració panteixant o dificultosa, amb sorolls aspres i aguts, propi de les persones agonitzants o en coma.
L’estridor és un so respiratori agut resultant del pas turbulent de l’aire a la laringe o menor en l’arbre bronquial. No s’ha de confondre amb la ranera, que és un soroll procedent dels bronquis. L’estridor és un senyal físic causat per una via aèria estreta o obstruïda. Pot ser inspiratori, expiratori o bifàsic, encara que generalment se sent durant la inspiració. L’estridor inspiratori sovint es produeix en els nens amb crup. Pot ser indicatiu d’obstrucció greu de les vies respiratòries en condicions severes, com ara una epiglotitis, un cos estrany allotjat en la via aèria o un tumor de laringe.
El panteix és una respiració fatigosa per estenosi de l’arbre bronquial es un so sibilant en la inspiració.
La sibilació és un soroll inspiratori o expiratori agut que apareix en bronquíols o broncoconstricció com a conseqüència d’una estenosi.
El crepitant és un so anormal, fi i amb bombolleig, que es troba quan s’ausculten els sorolls pulmonars a través del tòrax, i acostuma a ser provocat per l’aparició de secrecions dins de la llum dels bronquíols o alvèols. En general és un so que se sent durant la inspiració i que no es modifica quan la persona tus, a causa del fet que al nivell dels alvèols pulmonars no hi ha cilis que ajudin a mobilitzar les secrecions.
El roncus es produeix per moviment de líquid, que produeix vibració de la via aèria a la via aèria principal, i és un indicador de secrecions obstructives bronquials.
Altres signes respiratoris
A banda dels sorolls i els tipus de respiració, hi ha altres signes vinculats a la respiració, com ara l’hemoptisi, l’epistaxi, la rinorrea, la hipoxèmia o l’esternut.
L’hemoptisi inclou l’expectoració d’esput hemoptoic o de sang fresca procedent de l’aparell respiratori, més concretament de la zona subglòtica.
L’epistaxi fa referència al sagnat nasal. És un succés comú, no greu, resultant de la ruptura de petits capil·lars de la membrana mucosa nasal. El sagnat nasal és el que s’origina de la mucosa de les fosses nasals, mentre que l’hemorràgia nasal s’exterioritza per les fosses nasals, independentment de l’origen (nasofaringe, trompa d’Eustaqui…).
La rinorrea és la segregació, i posterior expulsió, abundant de líquid per les fosses nasals que es forma a la mucosa nasal i a la paranasal. Aquest increment és causat per un flux de sang superior al normal.
La hipoxèmia és una disminució anormal de la pressió parcial d’oxigen en la sang arterial per sota de 80 mmHg. També es pot definir com una saturació d’oxigen menor de 92%. Cal no confondre-la amb la hipòxia, una disminució de la difusió d’oxigen en els teixits i en la cèl·lula.
Un esternut és un estímul reflex d’expulsió convulsiva d’aire des dels pulmons a través del nas i la boca. Comunament és provocat per partícules estranyes que provoquen la irritació de la mucosa nasal o per una infecció viral.































