Aparell cardiovascular
El sistema circulatori, també anomenat sistema cardiovascular o sistema vascular, és un sistema d’òrgans que permet que la sang circuli i transporti nutrients (com els aminoàcids i els electròlits), l’oxigen, el diòxid de carboni, les hormones i les cèl·lules sanguínies des de les cèl·lules i cap a les cèl·lules, per proporcionar alimentació i ajuda en la lluita contra malalties, estabilitzar la temperatura i el pH i mantenir l’homeòstasi.
L’aparell circulatori és sobretot un sistema de transport que facilita el desplaçament per l’organisme de diferents substàncies, principalment l’oxigen i els nutrients; per això, el seu funcionament està íntimament lligat a l’aparell respiratori. No obstant això, la llista de funcions és molt àmplia i inclou les següents:
- Transportar oxigen des dels pulmons cap als teixits i diòxid de carboni des dels teixits cap als pulmons per a la seva eliminació a través de l’aire expirat.
- Distribuir els nutrients a tots els teixits i cèl·lules de l’organisme.
- Transportar productes de rebuig que són produïts per les cèl·lules fins al ronyó perquè siguin eliminats a través de l’orina
- Transportar substàncies fins al fetge perquè siguin metabolitzades per aquest òrgan.
- Distribuir les hormones que es produeixen en les glàndules de secreció interna. Gràcies al sistema circulatori, les substàncies hormonals poden actuar en llocs molt allunyats al lloc en el qual han estat produïdes.
- Protegir l’organisme enfront de les agressions externes de bacteris i virus fent circular per la sang leucòcits i anticossos.
Anatomia de l'aparell cardiovascular
Els components essencials del sistema cardiovascular són el cor i els vasos sanguinis (vegeu la figura):
- Cor: actua com a bomba propulsora amb vàlvules per fer un corrent unidireccional.
- Vasos sanguinis; són tres: artèria (surt des del cor, té vàlvules sigmoides), vena (entra cap al cor) i capil·lar (vas molt fi on hi ha el canvi cel·lular).
El sistema cardiovascular està tancat, la qual cosa significa que la sang mai no surt de la xarxa de vasos sanguinis. En canvi, l’oxigen i els nutrients es difonen a través de les capes dels vasos sanguinis i s’introdueixen en el líquid intersticial, que transporta oxigen i nutrients a les cèl·lules diana i el diòxid de carboni i els residus en la direcció oposada.
Anatomia del cor
El cor és un òrgan muscular anatòmicament complex, que impulsa la sang a través dels vasos sanguinis del sistema circulatori, la qual proveeix les cèl·lules de l’organisme d’oxigen i nutrients. És l’element central del mediastí, la regió anatòmica compresa entre els dos pulmons.
La forma del cor sembla un con arrodonit de la mida d’un puny, la punta del qual es troba avall i lleugerament a l’esquerra. El cor es troba generalment una mica a l’esquerra, darrere l’estèrnum. Es nota el cor a l’esquerra perquè la seva part esquerra (ventricle esquerre o cor esquerre) és més forta (bomba sang a totes les parts del cos). El pulmó esquerre és més petit que el dret perquè el cor ocupa una major part de l’hemitòrax esquerre.
La demarcació del cor, és a dir, les fronteres que el limiten, és la següent (vegeu la figura):
- Un punt 9 cm a l’esquerra de la línia medioesternal (àpex del cor).
- La setena articulació esternocostal de la dreta.
- La vora superior del tercer cartílag costal dret, a 1 cm de la línia esternal dreta.
- La vora inferior del segon cartílag costal esquerre, a 2,5 cm de la línia esternal lateral esquerra.
El cor d’un adult sa és de la mida d’un puny, i clàssicament es divideix en quatre cavitats, dues de superiors anomenades aurícules i dues d’inferiors anomenades ventricles. Les aurícules reben la sang del sistema venós, passen als ventricles i des d’aquí surten a la circulació arterial.
L’aurícula dreta i el ventricle dret formen el que clàssicament es denomina el cor dret. Rep la sang que prové de tot el cos, que desemboca a l’atri dret a través de les venes caves inicial i inferior. Aquesta sang, baixa en oxigen, arriba al ventricle dret, des d’on és tramesa a la circulació pulmonar per l’artèria pulmonar. Atès que la resistència de la circulació pulmonar és menor que la sistèmica, la força que el ventricle ha de fer és menor, raó per la qual la seva mida muscular és considerablement menor a la del ventricle esquerre.
L’aurícula esquerra i el ventricle esquerre formen l’anomenat cor esquerre. Rep la sang de la circulació pulmonar, que desemboca a través de les quatre venes pulmonars a la porció superior de l’aurícula esquerra. Aquesta sang està oxigenada i prové dels pulmons. El ventricle esquerre l’envia per l’artèria aorta per distribuir-la per tot l’organisme.
El teixit que separa el cor dret de l’esquerre s’anomena septe o envà. Funcionalment, es divideix en dues parts no separades (vegeu la figura): la superior o envà interauricular i la inferior o envà interventricular.
Les vàlvules cardíaques són les estructures que separen unes cavitats de les altres, evitant que hi hagi reflux retrògrad. Estan situades al voltant dels orificis auriculoventriculars (o atrioventriculars) i entre els ventricles i les artèries de sortida; són les quatre següents:
- La vàlvula tricúspide, que separa l’aurícula dreta del ventricle dret.
- La vàlvula pulmonar, que separa el ventricle dret de l’artèria pulmonar.
- La vàlvula mitral o bicúspide, que separa l’aurícula esquerra del ventricle esquerre.
- La vàlvula aòrtica, que separa el ventricle esquerre de l’artèria aorta.
El cor es troba dins del pericardi, una bossa o sac contingut en el mediastí mitjà. Es tracta d’una membrana fibroserosa de dues capes que envolta i separa el cor de les estructures veïnes, cobreix completament el cor i es prolonga fins a les arrels dels grans vasos. Té dues parts, el pericardi serós i pericardi fibrós. En conjunt, recobreix tot el cor per evitar que es lesioni.
L’epicardi descriu la capa externa de teixit del cor (del grec epi-, ‘exterior’, i cardium, ‘cor’). Quan es considera com una part del pericardi, és la capa interna o pericardi visceral. El seu principal component és el teixit conjuntiu i funciona com una capa protectora. El pericardi visceral produeix el líquid pericàrdic, que lubrica el moviment entre les capes interior i exterior del pericardi.
El miocardi o múscul cardíac (textus muscularis striatus cardiacus) és el teixit muscular del cor. És l’encarregat de bombar la sang pel sistema circulatori a través de contraccions. El miocardi conté una xarxa abundant de capil·lars indispensables per cobrir les seves necessitats energètiques.
El múscul cardíac generalment funciona involuntàriament i rítmicament, sense tenir estimulació nerviosa. És un múscul miogènic, és a dir, autoexcitable. La irrigació sanguínia del miocardi és portada a través de les artèries coronàries (vegeu la figura).
Finalment, l’endocardi és una membrana que recobreix internament les cavitats del cor. Forma el revestiment intern de les aurícules i els ventricles. Està constituït per cèl·lules endotelials i una fina capa del teixit connectiu lax.
En la figura teniu un esquema complet amb les diverses parts de l’anatomia del cor:
- Capes: endocardi (1); miocardi (2); epicardi (3); pericardi (4).
- Cambres (5): aurícula dreta (6); aurícula esquerra (7); ventricle dret (8); ventricle esquerre (9).
- Vàlvules (10): mitral (11); aòrtica (12); tricúspide (13); pulmonar (14).
- Artèries: aorta (15); pulmonar (16).
- Venes: pulmonars (17); cava superior (18); cava inferior (19), inserció valvular (20)
Anatomia del sistema vascular
Els vasos sanguinis són part del sistema circulatori i transporten la sang pel cos. Els vasos més importants són els capil·lars, que permeten l’intercanvi d’aigua i substàncies entre la sang i els teixits (si es trenquen els capil·lars, la sang surt fora de la pell), mentre que les artèries i venes duen la sang del cor fins als capil·lars, i, de tornada, al cor.
Per la seva banda, els vasos limfàtics condueixen la limfa a les venes. La limfa és l’element fonamental del sistema limfàtic; es tracta d’un líquid que conté glòbuls blancs, encarregats de defensar el cos dels gèrmens.
Una artèria és qualsevol dels vasos tubulars que condueixen la sang des del cor cap als teixits de l’organisme. Es tracta de conductes membranosos, elàstics, amb ramificacions divergents, encarregats de distribuir per tot l’organisme la sang expulsada a cada sístole. Cada artèria consta de tres capes concèntriques o túniques: els vasa vasorum (vasos dels vasos) irriguen aquestes túniques i els nervi nervorum les innerven (fan que arribi l’estímul nerviós). Les capes són (vegeu la figura):
- l’externa o adventícia, de teixit connectiu;
- la mitjana, composta per fibres musculars llises i fibres elàstiques, i
- la interna o íntima, constituïda per l’endoteli i una capa de teixit connectiu subendotelial.
D’altra banda, hi ha dues artèries que surten directament del cor (vegeu la figura):
- L’artèria aorta, que porta la sang oxigenada des del ventricle esquerre cap a tot l’organisme.
- L’artèria pulmonar, que condueix la sang des del ventricle dret fins als pulmons, on s’oxigena. Després aquesta sang torna a l’aurícula esquerra del cor.
Una vena és un vas sanguini que porta la sang cap al cor. Les venes augmenten el seu diàmetre a mesura que van recollint la sang dels vasos que conflueixen amb elles (com un riu). Les vàlvules venoses eviten la circulació en sentit contrari (vegeu la figura).

Una vena consta de tres capes principals:
- la capa externa és un teixit connectiu, anomenat tunica adventícia o túnica externa
- una capa mitjana de múscul llis anomenada túnica mitjana
- la capa interior plena de cèl·lules endotelials, anomenada túnica íntima
La majoria de les venes transporten la sang desoxigenada des dels teixits cap al cor; les excepcions són les venes pulmonars i les venes umbilicals (vegeu la figura).
Finalment, els capil·lars són els vasos sanguinis de menor diàmetre; la seva paret està formada només per l’endoteli amb el seu suport, la qual cosa permet l’intercanvi de substàncies entre la sang i les substàncies que es troben al voltant d’aquesta.
Anatomia del sistema limfàtic
El sistema limfàtic està constituït pels capil·lars limfàtics, pels vasos limfàtics i pels ganglis limfàtics. El líquid que conté es denomina limfa. Els vasos limfàtics són cecs, és a dir, no tenen sortida. Per les seves parets absorbeixen part del líquid intersticial i el condueixen als vasos sanguinis gràcies al fet que es comuniquen amb les venes subclàvies (vegeu la figura).
El sistema limfàtic porta a terme tres funcions:
- Retornar a la sang una gran part del plasma que, a causa de la pressió, ha sortit dels capil·lars sanguinis.
- Transportar els greixos absorbits a l’intestí, evitant així que arribin massa concentrats al cor.
- Produir anticossos. Als ganglis limfàtics es generen limfòcits, els quals produeixen anticossos. Els principals ganglis limfàtics es troben al coll, les aixelles i els engonals.
Fisiologia de l'aparell cardiovascular
El sistema circulatori és l’encarregat de transportar la sang des del cor fins a totes les diferents parts del cos. S’encarrega de transportar els nutrients i l’oxigen a totes les cèl·lules del cos i rebre substàncies nocives d’origen metabòlic i transportar-les als òrgans d’excreció.
La circulació sanguínia es fa amb dos circuits: el circuit pulmonar o menor, que porta la sang des del ventricle dret del cor cap als pulmons, on s’oxigena i la retorna a l’aurícula esquerra, i el circuit general o major, que porta sang oxigenada des del ventricle esquerre del cor cap a la resta d’òrgans del cos i retorna aquesta sang, ja desoxigenada, al cor. Així, la sang rica en oxigen resta completament separada de la sang rica en diòxid de carboni.
Fisiologia de la bomba cardíaca
El cicle cardíac és la seqüència d’esdeveniments elèctrics, mecànics, sonors i de pressió, relacionats amb el flux de sang, que ocorren durant un batec complet del cor; és a dir, des del començament d’un batec cardíac fins a l’inici del següent. Té com a finalitat produir una sèrie de canvis de pressió perquè la sang circuli, de manera que al llarg del cicle la pressió augmenta i disminueix.
Cada cicle cardíac comença amb un potencial d’acció en el nòdul sinusal, que viatja al llarg de tot el sistema de conducció estimulant les cèl·lules perquè el múscul cardíac es contregui (vegeu la figura). El cicle cardíac comprèn:
- La despolarització i la repolarització del miocardi.
- La contracció i la relaxació de les quatre cavitats cardíaques (atris i ventricles).
- El tancament i l’obertura de les vàlvules i la producció de sorolls que hi estan associats.
Aquest procés transcorre en menys d’un segon. Fet recíproc a la durada d’un cicle és la freqüència cardíaca (atès que se sol expressar en batecs per minut, cal multiplicar per 60 si la durada es mesura en segons).
El batec del cor es produeix per una alternança de la sístole i la diàstole. La diàstole és més llarga que la sístole: aproximadament dos terços de la durada total del cicle corresponen a la diàstole i un terç a la sístole. En conjunt, en cada batec es distingeixen quatre fases:
- Fases de la sístole auricular (contracció miocàrdia, durant la qual el cor expulsa la sang que hi ha al seu interior):
- Contracció ventricular isovolumètrica (sístole ventricular).
- Ejecció.
- Fases de la diàstole auricular (relaxació cardíaca, durant el qual el cor s’omple de sang):
- Relaxació ventricular isovolumètrica (diàstole ventricular).
- Ompliment ventricular passiu.
Sístole i diàstole
Etimològicament, sístole significa ‘contracció’ o ‘reducció de la mida’, mentre que diàstole vol dir ‘dilatació’ o ‘expansió’; ambdós són termes provinents de la retòrica i l’oratòria grega, amb referència als còmputs sil·làbics.
La sístole auricular és la contracció del teixit muscular cardíac auricular. Aquesta contracció produeix un augment de la pressió en la cavitat cardíaca auricular, amb ejecció del volum sanguini contingut.
La contracció de les aurícules fa passar la sang dels ventricles a través de les vàlvules auriculoventriculars. Mitjançant la sístole ventricular augmenta la pressió intraventricular, fet que causa la coaptació de les vàlvules auriculoventriculars i impedeix que la sang torni a les aurícules i que, per tant, surti per les artèries, ja sigui als pulmons o a la resta del cos. Després de la contracció, el teixit muscular cardíac es relaxa i es dóna pas a la diàstole auricular i ventricular (vegeu la figura).
La diàstole és el període en què el cor es relaxa després d’una contracció (anomenat període de sístole auricular) i es prepara per a l’ompliment amb sang circulatòria. En la diàstole ventricular els ventricles es relaxen, i en la diàstole auricular les aurícules estan relaxades. Juntes se les coneix com la diàstole cardíaca i constitueixen, aproximadament, la meitat de la durada del cicle cardíac, és a dir, uns 0,4 segons.
Durant la diàstole auricular, les aurícules s’omplen de sang pel retorn venós des dels teixits per la via de les venes caves superior i inferior, i es produeix un augment progressiu de la pressió intraauricular fins a superar la pressió intraventricular.
Durant la diàstole ventricular, la pressió dels ventricles cau per sota de l’inici al qual va arribar durant la sístole auricular. Quan la pressió en el ventricle esquerre cau per sota de la pressió de l’aurícula esquerra, la vàlvula mitral s’obre i el ventricle esquerre s’omple amb sang que s’havia estat acumulant en l’aurícula esquerra. Un 70% de l’ompliment dels ventricles ocorre sense necessitat de sístole auricular. Igualment, quan la pressió del ventricle dret cau per sota del de l’aurícula dreta, la vàlvula tricúspide s’obre i el ventricle dret s’omple de la sang que s’acumulava en l’aurícula dreta.
La freqüència cardíaca és el nombre de cicles cardíacs per unitat de temps. El cicle es repeteix unes vint vegades per minut, però pot incrementar o alentir segons les necessitats de l’organisme a través del sistema nerviós:

En el següent vídeo podeu veure les fases del cicle cardíac:
Fisiologia del sistema cardionector
El sistema de conducció elèctrica del cor permet que l’impuls que es genera en el nòdul sinusal del cor es propagui i estimuli el miocardi (múscul cardíac), fet que provoca la seva contracció. Dit d’una altra manera, consisteix en l’estimulació coordinada del miocardi que permet la contracció eficaç del cor, de manera que la sang sigui bombada per tot el cos. El procés seria el següent (vegeu la figura):
- l’impuls elèctric es genera en el nòdul sinusal,
- passa al nòdul auriculoventricular i
- es distribueix als ventricles a través del feix de His i les fibres de Purkinje.
El node o nòdul sinusal o sinoauricular (també conegut com a node de Keith i Flack) és una de les estructures que componen el sistema de conducció elèctrica del cor. Normalment és on s’origina l’impuls elèctric que dóna origen al batec cardíac. Està en el subepicardi anterolateral en els 2/3 superiors del solc terminal en la unió de l’aurícula dreta, sota la desembocadura de la vena cava superior.
El nòdul auriculoventricular (NAV) o nòdul d’Aschoff-Tawara (epònim provinent dels patòlegs que el descobriren conjuntament) és una part del sistema de control elèctric del cor que coordina el funcionament de la part superior d’aquest òrgan, connectant les aurícules i els ventricles. El nòdul auriculoventricular és una àrea de teixit especialitzat i està situat entre les aurícules i els ventricles, concretament a la part inferior del solc interauricular, prop del septe membranós interventricular.
La funció del nòdul auriculoventricular està estretament lligada a la del nòdul sinusal o sinoauricular. Com hem comentat, el nòdul sinusal inicia l’impuls elèctric cardíac, un estímul rítmic d’autoexcitació que fa que el cor es contregui entre 60 i 100 vegades per minut. En cas de fallada d’aquest nòdul, que seria com el marcapassos del cor, aquesta funció recauria sobre el nòdul auriculoventricular, que enviaria impulsos elèctrics d’una freqüència menor, la qual cosa produiria un batec més feble i menys freqüent del cor.
D’altra banda, el fascicle auriculoventricular, tradicionalment conegut com a feix de His, és una formació intracardíaca consistent en un fi cordó de naturalesa muscular, d’aproximadament 1 cm de longitud, que forma part del sistema de conducció del cor, per mitjà del qual l’excitació de les aurícules es transmet als ventricles.
S’origina en el nòdul de Tawara, situat a l’aurícula dreta, i recorre la cara inferior de l’envà interauricular. Després d’un breu trajecte al llarg de l’envà interventricular es divideix en dues branques: la dreta i l’esquerra. Les últimes derivacions del feix de His s’estenen per l’endocardi ventricular, formant la xarxa de Purkinje (xarxa subendocàrdica).
Les fibres de Purkinje (o teixit de Purkinje) formen part del múscul cardíac i es localitzen a les parets ventriculars, per sota de l’endocardi. Aquestes fibres són cèl·lules musculars miocardials especialitzades que condueixen l’impuls elèctric que ocasiona la contracció coordinada dels ventricles del cor. En aquest sentit, el miocardi porta a terme un control elèctric mitjançant dues ordres:
- El primer ordre es deriva del nòdul sinusal. La propagació del control del primer ordre del nòdul sinusal està estretament lligada a descàrregues del sistema simpàtic.
- El segon ordre està sota el control de la innervació autònoma, tant simpàtica com parasimpàtica.

Fisiologia del sistema cardiovascular
Les venes principals s’encarreguen de retornar la sang del cap i els braços i s’ajunten per formar la vena cava superior:
- La sang de la part inferior del cos és portada cap al cor per la vena cava inferior, i tant la vena cava superior com la vena cava inferior desemboquen en l’aurícula dreta.
- L’artèria pulmonar sorgeix del ventricle dret i es divideix en dues branques que porten la sang cap als vasos capil·lars de cada pulmó, on l’oxigen entra a la sang i el diòxid de carboni en surt.
- Després, la sang torna per les venes pulmonars fins a l’aurícula esquerra i d’allí, passant per la vàlvula mitral, arriba al ventricle esquerre.
- El ventricle esquerre empeny la sang a través de la vàlvula aòrtica cap a l’artèria aorta, que porta la sang novament oxigenada a tots els capil·lars del nostre cos i així es completa el cicle.
La circulació pulmonar és la part del sistema cardiovascular en la qual la sang pobra en oxigen es bomba des del cor dret, a través de l’artèria pulmonar, cap als pulmons i torna, oxigenada, al cor a través de la vena pulmonar:
- La sang pobra en oxigen parteix des del ventricle dret del cor per l’artèria pulmonar, que es bifurca en sengles troncs per a cada un dels pulmons.
- En els capil·lars alveolars pulmonars, la sang s’oxigena a través d’un procés conegut com a hematosi i es recondueix per les quatre venes pulmonars que dirigeixen la sang rica en oxigen fins a l’aurícula esquerra del cor.
La circulació sistèmica és la part del sistema cardiovascular que transporta la sang oxigenada des del ventricle esquerre cap a la resta del cos a través de l’artèria aorta i les seves branques. La circulació sistèmica és, en termes de distància, molt més llarga que la circulació pulmonar (vegeu la figura):
- El recorregut de la sang comença en el ventricle esquerre del cor i continua per l’artèria aorta i les seves branques fins al sistema capil·lar.
- A partir dels capil·lars, la sang pobra en oxigen és conduïda per diferents venes que convergeixen en la vena cava superior i la vena cava inferior, que desemboquen en l’aurícula dreta del cor.
La innervació del sistema vascular depèn del sistema nerviós vegetatiu, que es divideix funcionalment en dues parts:
- Sistema simpàtic. Usa noradrenalina i acetilcolina com a neurotransmissor i està implicat en activitats que requereixen despesa d’energia. També és anomenat sistema adrenèrgic o noradrenèrgic, ja que és el que prepara al cos per reaccionar davant d’una situació d’estrès.
- Sistema parasimpàtic. Fa servir l’acetilcolina. Està encarregat d’emmagatzemar i conservar l’energia. És anomenat també sistema colinèrgic, ja que és el que manté al cos en situacions normals i després d’haver passat la situació d’estrès. És antagònic al simpàtic.
El sistema nerviós autònom el componen arrels, plexes i troncs nerviosos. El plexe cardíac és una aglomeració de fibres del sistema nerviós autònom: les que són de tipus simpàtic (provinents de la cadena simpàtica) i parasimpàtic (provinents del nervi vague). Alhora, el plexe cardíac es divideix en porció superficial i porció profunda:
- La porció superficial se situa per sota de la crossa aòrtica i per davant de la Arteria Pulmonar dreta. La porció superficial es relaciona principalment amb la innervació vegetativa de l’artèria coronària dreta, i envia branques nervioses cap al plexe cardíac profund i el plexe pulmonar.
- La porció profunda té dues parts, una dreta i una altra esquerra. La part simpàtica s’encarrega dels efectes d’acceleració del ritme cardíac i amb vasodilatació coronària, mentre que la seva contrapart funciona com a desaccelerador i vasoconstrictor.
La vasoconstricció és la constricció o l’estrenyiment d’un vas sanguini que es manifesta com una disminució del seu volum. Un vasoconstrictor és una substància o estímul ambiental que provoca vasoconstricció directament o indirectament. Molts vasoconstrictors actuen sobre receptors específics de la vasopresina o sobre adrenoreceptors. Els vasoconstrictors són també utilitzats clínicament per incrementar la pressió sanguínia o per reduir el flux sanguini localment.
La vasoconstricció, a nivell de la microvasculatura cutània, fa que la pell adquireixi un to pàl·lid o blanquinós. Aquest pot ser el resultat de factors ambientals o psicològics com el fred o l’estrès. L’efecte antagònic a la vasoconstricció és la vasodilatació.
La vasodilatació és la capacitat dels vasos sanguinis (artèries i venes) de dilatar-se segons els estímuls químics, físics o nerviosos que puguin rebre. Això produeix una disminució de la pressió arterial quan incideix en la xarxa arterial. És important en la termoregulació de l’organisme, en afectar la circulació perifèrica, així com en la regulació del flux sanguini a les àrees on l’organisme necessiti eventualment més oxigenació cel·lular.
Patologia cardíaca
Una patologia cardíaca o cardiopatia és una malaltia que afecta el cor. Les cardiopaties representen una de les causes de mort més freqüents en el món desenvolupat, i és la primera causa de mort als Estats Units. A Catalunya cada setmana moren trenta persones a causa de malalties del cor. No s’ha de confondre amb el terme de malaltia cardiovascular, una sèrie de malalties que afecten el cor i/o els vasos sanguinis. Entre les patologies cardíaques trobem la insuficiència cardíaca, la cardiopatia isquèmica, l’infart agut de miocardi, l’angina de pit inestable, l’angina de pit estable, les valvulopaties, les miocardiopaties, l’endocarditis, la miocarditis i la pericarditis.
En sentit ampli, el terme cardiopatia pot englobar qualsevol patiment del cor; habitualment es refereix a la malaltia cardíaca i en sentit estricte se sol denominar cardiopatia a les malalties pròpies de les estructures del cor.
Insuficiència cardíaca
La insuficiència cardíaca (IC) és un trastorn en què un problema en l’estructura o la funció del cor va en detriment de la seva capacitat de subministrar el flux de sang suficient per satisfer les necessitats del cos. La frase és sovint erròniament utilitzada per descriure altres malalties cardíaques relacionades, com ara l’infart de miocardi (atac de cor) o una aturada cardíaca.
Les causes comunes d’insuficiència cardíaca són l’infart de miocardi i altres formes de malaltia isquèmica del cor, com hipertensió arterial, malaltia valvular cardíaca i miocardiopatia. Alhora, la insuficiència cardíaca pot causar una gran varietat de símptomes, com ara, falta d’aire o dispnea (empitjorament de la condició normal de respiració en decúbit, també anomenada ortopnea), tos, inflor de turmells i la capacitat d’exercici reduïda.
Els símptomes d’insuficiència cardíaca són tradicionalment, i una mica arbitràriament, dividits en insuficiència cardíaca “esquerra” i “dreta”, reconeixent que els ventricles esquerre i dret del cor subministren a diferents parts de la circulació. No obstant això, la insuficiència cardíaca no és exclusivament una fallada “cap enrere” (és a dir, cap a la part de la circulació que drena en el ventricle en concret), sinó quelcom més complex.
Així, parlem d’insuficiència cardíaca esquerra quan la insuficiència del costat esquerre del cor dificulta el retorn de la sang procedent dels pulmons, fet que provoca símptomes respiratoris, així com la fatiga a causa d’un subministrament insuficient de sang oxigenada. Signes respiratoris comuns són l’augment de la freqüència respiratòria i l’augment del treball respiratori (dispnea), ambdós signes inespecífics de dificultat respiratòria. Es presenten sons crepitants, auscultats inicialment en les bases pulmonars, i quan és greu s’amplia a tots els camps pulmonars, fet que llavors suggereix el desenvolupament d’un edema pulmonar (líquid en els alvèols). La cianosi suggereix uns baixos nivells d’oxigen en sang, i és un senyal tardà d’edema pulmonar molt greu.
En canvi, parlem d’insuficiència cardíaca dreta quan la insuficiència del costat dret del cor és causada sovint per una afecció que s’anomena cor pulmonale, que en general és causada per dificultats de la circulació pulmonar, com ara hipertensió pulmonar o estenosi pulmonar.
A l’examen físic es pot observar presència d’edema a les extremitats inferiors, ascites i hepatomegàlia. La pressió venosa jugular s’avalua freqüentment com un marcador de l’estat de la circulació, que pot ser augmentada.
Cardiopatia isquèmica
La cardiopatia isquèmica és la malaltia ocasionada per l’arterioesclerosi de les artèries coronàries, és a dir, les encarregades de proporcionar sang al múscul cardíac (miocardi). L’arterioesclerosi coronària és un procés lent de formació de col·lagen i acumulació de lípids (greixos) i cèl·lules inflamatòries (limfòcits). Aquests tres processos provoquen l’aparició d’ateromes o plaques d’ateroma (lesions focals que s’inicien a la capa interna d’una artèria) i amb aquestes, l’estrenyiment (estenosi) de les artèries coronàries (vegeu la figura).
El desenvolupament de l’arterioesclerosi pot començar en les primeres dècades de la vida, però no presenta símptomes fins que l’estenosi de l’artèria coronària es fa tan greu que causa un desequilibri entre l’aportació d’oxigen al miocardi i les seves necessitats. En aquest cas es produeix una isquèmia miocàrdica (angina de pit estable) o una oclusió sobtada per trombosi de l’artèria, la qual cosa provoca una manca d’oxigenació del miocardi que dóna lloc a la síndrome coronària aguda (angina inestable i infart agut de miocardi).
La trombosi és la formació d’un coàgul a l’interior d’un vas sanguini i que creix a la paret d’aquest.
La cardiopatia isquèmica és una malaltia que es pot prevenir de forma significativa si es coneixen i controlen els seus factors de risc cardiovascular. Es dóna més en els homes, tot i que la freqüència en les dones s’iguala a partir de la menopausa. En general, els principals factors de risc o causes que la produeixen són:
- Edat avançada
- Antecedents de cardiopatia isquèmica prematura en la família
- Augment de les xifres de colesterol total, sobretot de l’LDL (dolent)
- Disminució dels valors de colesterol HDL (bo)
- Tabaquisme
- Hipertensió arterial
- Diabetis mellitus
- Obesitat
- Sedentarisme
També és un factor el fet d’haver presentat prèviament la malaltia (els pacients que ja han presentat angina o infart tenen més risc que els que no els han presentat). Alhora, els pacients amb múltiples factors de risc presenten el màxim risc de patir malaltia obstructiva de les artèries coronàries, i per tant més possibilitats d’angina o infart. A més, en l’anomenada síndrome metabòlica (és a dir, associació d’obesitat, diabetis, augment del colesterol i hipertensió), els pacients presenten més risc). La probabilitat de tenir una malaltia cardiovascular (coronària) o de morir a causa del cor es pot calcular a partir dels factors de risc.
Els tres tipus de cardiopatia isquèmica són:
- Infart agut de miocardi
- Angina de pit estable
- Angina de pit inestable
Infart agut de miocardi
És una malaltia greu que ocorre com a conseqüència de l’obstrucció d’una artèria coronària per un trombe. La conseqüència final de l’obstrucció de l’artèria és la mort (necrosi) del territori que irriga l’artèria obstruïda. Per tant, la importància de l’infart de miocardi dependrà de la quantitat de múscul cardíac que es perdi. L’infart sol ser un esdeveniment inesperat que es pot presentar en persones sanes, encara que generalment és més freqüent en els que tenen factors de risc i en malalts que ja han patit una altra manifestació de cardiopatia isquèmica.
L’infart es manifesta per un dolor al pit de similars característiques a l’angina, però mantingut durant més de 20 minuts. Pot anar acompanyat de fatiga, suor freda, mareig o angoixa. Va associat amb freqüència a una sensació de gravetat, tant per la percepció del mateix malalt com per les respostes urgents que habitualment provoca en l’entorn sanitari que l’atén. Però l’absència d’aquesta sensació no exclou la seva presència. Pot ocórrer en repòs i no remet espontàniament.
La necrosi del territori que es queda sense reg sanguini és progressiva. El dany s’incrementa amb el temps i, un cop mor la porció de múscul cardíac, és impossible recuperar la seva funció. No obstant això, el dany sí es pot interrompre si el miocardi torna a rebre sang per mitjà de procediments que desencallen l’artèria bloquejada.
La figura representa un diagrama d’un infart de miocardi, on (2) és la punta de la paret anterior del cor (un infart apical) després de l’oclusió (1) d’una de les branques de l’artèria coronària esquerra (LCA), en contraposició a l’artèria coronària dreta (RCA).
Per aquests motius és fonamental que la persona amb un infart arribi a l’hospital al més aviat possible. L’ideal és que rebi atenció en el transcurs de la primera hora des de l’inici dels símptomes. Si això no és possible, durant les hores següents a l’infart hauran aplicar-li tractaments com trombòlisi (fàrmacs administrats per via intravenosa que dissolen el trombe) o angioplàstia (recanalització mecànica amb catèters de l’artèria obstruïda). De vegades, fins i tot pot necessitar cirurgia cardíaca urgent. Com més aviat sigui atès el pacient, més possibilitats té d’evitar danys definitius.
Angina de pit inestable
Sol ser signe de molt alt risc d’infart agut de miocardi o mort sobtada. L’angina inestable es desencadena igual que l’infart, però en aquest cas no hi ha una oclusió completa de l’artèria coronària pel trombe i no s’ha arribat a produir mort de cèl·lules cardíaques (vegeu la figura).
Es manifesta en repòs per un dolor o opressió que comença al centre del pit i pot estendre a braços, coll, mandíbula i esquena. És a dir, els símptomes són iguals als de l’infart, encara que generalment de menor durada i intensitat. Aquesta angina s’ha de tractar com una emergència, ja que hi ha un elevat risc de produir-se un infart, una arrítmia greu o mort sobtada.
Angina de pit estable
L’angina de pit estable és un símptoma de dolor recurrent al tòrax com a causa d’isquèmia miocàrdica. Els que l’han patit la defineixen amb termes com “opressió”, “tibantor”, “cremor” o “inflor”. Es localitza a la zona de l’estèrnum, tot i que pot irradiar a la mandíbula, la gola, l’espatlla, l’esquena i el braç o el canell esquerres. Sol durar entre 1 i 15 minuts. El dolor de l’angina es desencadena després de l’exercici físic o les emocions i s’alleuja en pocs minuts amb repòs o amb nitroglicerina sublingual. Sol empitjorar en circumstàncies com anèmia, hipertensió no controlada i febre. A més, el temps fred, el tabaquisme, la humitat o un dinar copiós poden incrementar la intensitat i la freqüència dels episodis anginosos.
El seu diagnòstic es realitza fonamentalment per la sospita clínica de dolor toràcic, encara que no es descarten proves complementàries si es presenten altres símptomes atípics. Als pacients amb sospita d’angina de pit estable, a més, se’ls sol fer un electrocardiograma.
El pronòstic és molt variable, ja que depèn de l’extensió de la malaltia i del que s’hagi danyat el múscul cardíac. Hi ha malalts que poden estar controlats sense presentar pràcticament símptomes i d’altres que tenen una esperança de vida molt escurçada. Els factors que més influeixen en el pronòstic és el bon o mal control dels factors de risc coronari.
Pel que fa al seu tractament, els pacients amb angina de pit han de controlar estrictament factors de risc cardiovascular i seguir controls periòdics per prevenir l’aparició de nous. Si n’hi ha, cal corregir-los amb accions com:
- Deixar el tabac
- Vigilar la hipertensió i la diabetis i el seu tractament (pes, dieta, fàrmacs)
- Seguir una dieta baixa en colesterol i greixos
- Assolir un pes corporal ideal
- Reduir el colesterol fins a obtenir un LDL menor de 70 mg/dl
Valvulopaties
Les valvulopaties són les malalties pròpies de les vàlvules del cor. La funció de les vàlvules del cor és obrir-se i tancar-se correctament durant el cicle cardíac, la qual cosa permet el pas de la sang d’una cavitat a una altra i que pugui avançar sense retrocedir. Les vàlvules poden fer-se malbé per infeccions, per traumatismes, per envelliment…
Fa anys, la causa fonamental era la febre reumàtica, una malaltia infreqüent ara en els països desenvolupats. En l’actualitat, com a conseqüència de l’augment de l’esperança de vida, han aparegut altres formes de valvulopatia; la més freqüent és la valvulopatia degenerativa en pacients ancians, que consisteix en l’envelliment, l’enduriment i la calcificació de les vàlvules, la qual cosa limita la seva mobilitat i afecta el seu funcionament.
El diagnòstic més exacte de totes les valvulopaties es fa per ecocardiograma, una tècnica d’imatge que pot valorar exactament quina vàlvula està malalta, quina és la causa i la gravetat de l’afectació.
Les quatre vàlvules del cor que poden tenir malalties són:
- Vàlvula mitral: separa l’aurícula esquerra del ventricle esquerre.
- Vàlvula aòrtica: separa el ventricle esquerre de l’artèria aorta.
- Vàlvula pulmonar: separa el ventricle dret de l’artèria pulmonar.
- Vàlvula tricúspide: separa l’aurícula dreta del ventricle dret.
No totes són iguals, i hi ha una gradació de la severitat de la valvulopatia; en aquest sentit, la gravetat o severitats es classifiquen en tres grups:
- Lleugera: afectació mínima que no requereix mai tractament i només un seguiment.
- Moderada: que requereix un seguiment més estret i en algunes ocasions requereix tractament.
- Greu: sempre requereix tractament.
Les vàlvules cardíaques poden funcionar malament, sigui per no obrir-se adequadament (estenosi) o per permetre filtracions (regurgitació). Les següents imatges il·lustren els dos problemes a la vàlvula mitral, si bé tots dos poden manifestar-se també en les altres vàlvules cardíaques:
- Insuficiència mitral o regurgitació (figura):
- Vàlvula mitral.
- Ventricle esquerre.
- Aurícula esquerra.
- Aorta.
- Estenosi de la vàlvula pulmonar (figura).
Per altra banda, els bufs cardíacs són sorolls patològics que es perceben amb una auscultació amb l’ús de l’estetoscopi. S’originen per un augment de flux a través d’una vàlvula cardíaca normal, per alteracions de les vàlvules per certes anomalies intracardíaques o extracardíaques. Poden aparèixer en cas d’estretor (estenosi) o de tancament defectuós (insuficiència) de qualsevol de les vàlvules del cor. Quan es practica una auscultació cardíaca habitualment es detecten dos sorolls secs:
- El primer correspon al tancament de la vàlvula mitral i la tricúspide i el començament de la sístole ventricular (contracció).
- El segon és degut al tancament de la vàlvula aòrtica i pulmonar i dóna lloc a l’inici de la diàstole ventricular (relaxació). Quan a més es pot sentir un soroll aspiratiu i llarg, se l’anomena buf.
Per a la seva correcta detecció s’ha de practicar sempre un electrocardiograma i posteriorment un ecocardiograma de Doppler, que ens permetrà un correcte diagnòstic i també valorar la gravetat de la possible cardiopatia. És important saber si hi ha alguna malaltia valvular. El buf pot anar des de la nul·la transcendència fins a arribar a requerir una intervenció quirúrgica.
Miocardiopaties
Les miocardiopaties són malalties específiques del múscul cardíac, el miocardi. El múscul cardíac pot fallar per causes com ara:
- Una mala contracció, que no permet al cor buidar adequadament.
- Una mala relaxació, que no permet al cor omplir adequadament.
- Mala contracció i mala relaxació alhora, la qual cosa no permet al cor bombar una quantitat adequada de sang.
Els tipus de miocardiopaties més freqüents són la hipertròfica, la dilatada i la restrictiva:
- La miocardiopatia hipertròfica o cardiomiopatia hipertròfica és una malaltia del miocardi en la qual una porció d’aquest es troba hipertrofiat o engruixit (vegeu la figura).
- Una miocardiopatia dilatada (MCD), anteriorment anomenada cardiomiopatia congestiva, és un trastorn caracteritzat per una hipertròfia i dilatació progressiva del cor que causa debilitat fins el punt de disminuir la capacitat de bombar sang eficaçment (vegeu la figura).
- La miocardiopatia restrictiva és la menys comuna de les miocardiopaties, i està caracteritzada per la rigidesa en el miocardi i una limitació en la capacitat del cor d’estirar-se i omplir-se adequadament de sang. La contractilitat i la ritmicitat del cor poden ser normals, així com la seva mida, però les rígides parets de les càmeres cardíaques, és a dir, de les aurícules i els ventricles cardíacs, no permeten que el cor s’ompli adequadament de sang. Per aquest motiu, la despesa cardíaca es veu reduïda i la sang que normalment entraria al cor s’acumula en el sistema circulatori. Amb el temps, els pacients amb miocardiopatia restrictiva desenvolupen una disfunció diastòlica i, finalment insuficiència cardíaca (vegeu la figura).
Endocarditis, miocarditis i pericarditis
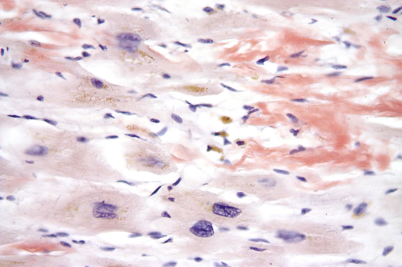
L’endocarditis és una malaltia que es produeix com a resultat de la inflamació de l’endocardi, és a dir, és un procés inflamatori localitzat en el revestiment intern de les càmeres i vàlvules cardíaques, siguin vàlvules natives o protèsiques. Es caracteritza sobretot per la colonització o invasió de les vàlvules del cor produïda per cúmuls (anomenats vegetacions) d’una mescla de plaquetes, fibrina, microcolònies de microorganismes i, ocasionalment, també de cèl·lules inflamatòries (vegeu la figura).
Amb tot, una de les causes d’endocarditis, encara freqüent a molts països avui dia, és la febre reumàtica (FR). Algunes estimacions indiquen que aquesta malaltia és l’origen subjacent de més del 50% de totes les endocarditis. La FR és una seqüela inflamatòria sistèmica de la infecció per l’estreptococ.
La miocarditis, per la seva banda, és la inflamació del múscul cardíac. Sovint és la causa d’una infecció viral. Altres causes inclouen infeccions bacterianes, certs medicaments, toxines i trastorns autoimmunitaris. Les conseqüències de la miocarditis són diverses. Pot causar una malaltia lleu -sense cap símptoma- que es resolgui per si mateixa, o pot causar mal de pit, insuficiència cardíaca o mort sobtada.
Finalment, la pericarditis és la inflamació del pericardi (el sac fibrós que envolta el cor). La causa de la pericarditis més freqüent és una infecció viral. Altres causes inclouen infeccions bacterianes com la tuberculosi, la pericarditis urèmica, després d’un atac de cor, càncer, trastorns autoimmunitaris i traumatismes toràcics. La causa sovint roman desconeguda. El diagnòstic es basa en el dolor toràcic, una fricció pericàrdica i canvis específics d’electrocardiograma (ECG).
Patologia vascular
Les malalties vasculars estan entre les primeres en totes les regions sanitàries de Catalunya. A més, aquestes malalties són una de les principals causes d’anys potencials de vida perduts, darrere dels tumors. Entre les patologies vasculars trobem l’arterioesclerosi, l’infart cerebral o accident vascular cerebral, l’aneurisma, l’angiopatia, la flebitis, la insuficiència venosa crònica, la trombosi venosa profunda i les malalties dels vasos limfàtics.
La malaltia cerebrovascular i la malaltia isquèmica del cor són la primera i la segona causa de mort, respectivament, en ambdós sexes; la incidència és més gran en l’accident vascular cerebral.
Arterioesclerosi
L’arterioesclerosi és un engruiximent i enduriment de les parets de les artèries, així com una disminució de la seva elasticitat. És un procés involutiu natural, encara que es pot accelerar amb la ingestió de massa àcids grassos saturats o colesterol (vegeu la figura). Els principals efectes d’una arterioesclerosi són la trombosi, l’infart, la isquèmia i l’ateroma.
No s’ha de confondre amb l’ateroesclerosi, que és una malaltia causada per la formació de plaques d’ateroma.
L’arterioesclerosi, popularment denominada enduriment de les artèries, és una malaltia crònica i progressiva produïda pel dipòsit de greixos a la paret interna de les artèries que en provoca l’estenosi, és a dir, la disminució de la secció o llum interior.
Els dipòsits de greix es van produint al llarg dels anys sobre la capa més interna de l’artèria, l’íntima, i comporta la formació de plaques que van estrenyent el vas i, per tant, dificulten el pas de la sang. Al costat d’aquest fenomen també es poden produir dipòsits de compostos de calci en aquestes plaques, que fan que l’artèria perdi l’elasticitat i la flexibilitat, cosa que entorpeix encara més el flux sanguini i produeix, alhora, un augment de la pressió arterial: la hipertensió.
El creixement progressiu de la placa d’arterioesclerosi pot provocar la formació d’un trombe que provoqui l’oclusió completa de l’artèria que comporti una absència total de flux sanguini a través del vas obstruït, cosa que deixarà sense reg sanguini la zona que era nodrida de sang per aquesta artèria. En aquest sentit, l’arterioesclerosi pot afectar qualsevol artèria del nostre organisme. Les localitzacions més freqüents són aquestes:
- Artèries coronàries: són les artèries que aporten sang al cor. L’afectació produeix l’angina de pit i l’infart de miocardi.
- Artèries caròtides: són les principals artèries que porten sang al cap. L’afectació pot donar lloc a l’aparició d’un infart cerebral.
- Artèria aorta: és l’artèria més gruixuda del cos i la seva afectació pot provocar una falta de regatge sanguini a les cames i en òrgans abdominals, com els ronyons, entre d’altres.
- Artèries d’extremitats: l’afectació de les artèries de les extremitats provoca una manca de regatge sanguini que produeix dolor amb l’exercici, a la nit, o també ferides que no es curen i que poden acabar amb la necessitat d’amputar l’extremitat si no es tracta a temps l’afecció.
És una afecció que s’afavoreix si s’esdevenen determinades pràctiques; són el que es coneix com a factors de risc de l’arterioesclerosi. Es tracta d’hàbits o alteracions associats amb un augment important de la susceptibilitat d’emmalaltir. Tanmateix, alguns factors poden ser modificables i d’altres, immodificables.
La investigació sobre els factors de risc de l’arterioesclerosi va començar als anys seixanta amb estudis epidemiològics que amb el temps han permès identificar aquests factors que permeten fer el que es coneix com a prevenció primària: eliminar els factors de risc per controlar el desenvolupament de la malaltia.
Els factors de risc més importants associats a aquesta malaltia són el tabaquisme, la hipertensió arterial i l’excés de colesterol LDL, l’anomenat colesterol dolent, l’oxidació del qual té un paper molt important en l’origen de la placa. En canvi, el denominat colesterol bo, la fracció HDL, té un paper preventiu. També són factors que afavoreixen el desenvolupament de l’arterioesclerosi la diabetis mellitus, l’obesitat, el sedentarisme i l’estrès. Tots aquests són factors de risc modificables, és a dir, s’hi pot actuar: es pot deixar de fumar, aprimar-se, es pot fer més exercici, canviar de dieta… Aquestes accions constitueixen la base de la prevenció primària.
Però hi ha factors de risc immodificables, com ara l’edat, el sexe i la càrrega genètica (especialment de determinats grups humans), que no els podem canviar. L’edat constitueix el factor de risc de major consistència: les lesions inicials apareixen en l’aorta en la primera dècada de la vida, en les artèries coronàries en la segona i en les artèries cerebrals en la tercera. En les dones, l’arterioesclerosi és molt menys freqüent que en els homes fins a la menopausa, de la qual cosa resulta molt temptador de fer-ne responsable les hormones femenines, però encara no se n’ha confirmat el presumpte paper protector.
Els grups humans de pell blanca sembla que tenen més predisposició a aquest tipus de lesions que altres grups humans. I, finalment, la càrrega genètica personal pren cada dia més importància, per la qual cosa cal valorar molt acuradament la història familiar del pacient.
Trombosi
La trombosi és la formació d’un coàgul sanguini a l’interior d’un vas sanguini (una vena o una artèria) i que creix a la paret d’aquest vas (vegeu la figura). Les causes poden ser diverses, com una ruptura traumàtica, una disminució de proteïnes trombòfiles, l’arterioesclerosi o d’altres. Una trombosi pot causar, tot i que no forçosament, una embòlia, un accident vascular cerebral o un infart de miocardi.
Una embòlia és la presència d’un èmbol (un cos orgànic) als vasos sanguinis. Una de les seves causes pot ser una trombosi, si la placa es desprèn de la paret del vas sanguini i “navega” pel mig d’aquest, funcionant com un èmbol que produeix fronts d’ones al fluid sanguini. Però altres coses alienes a la trombosi poden produir èmbols, per exemple, un cristall de colesterol, un coàgul infecciós…
Tanmateix, el coàgul no té per què produir sempre una embòlia, i pot ser que es propagui cap al cor sense formar trombes (que faria d’èmbol). O també pot simplement dissoldre’s o ser recanalitzat a la massa muscular, el greix o un altre teixit.
Infart, isquèmia i ateroma
Es denomina infart a la necrosi (mort d’un teixit) per alteració del flux sanguini (habitualment l’aport arterial) d’un òrgan o d’una part d’ell, per:
- Obstrucció arterial, el cas més habitual, ja sigui per:
- Elements dins de la llum del vas, per exemple plaques d’ateroma (la causa més habitual, ja sigui per trombosi o embòlia).
- Elements externs (tumors que comprimeixen el vas, torsió d’un òrgan…).
- Obstrucció venosa.
Els infarts poden produir-se en qualsevol òrgan, però els més freqüents ocorren:
- Al cor (infart agut de miocardi).
- Al cervell (accident vascular encefàlic).
- En l’intestí (infart intestinal, habitualment ocasionat per oclusió o reducció de la llum dels vasos mesentèrics).
Per la seva banda, una isquèmia és el patiment cel·lular causat per la disminució transitòria o permanent del reg sanguini i consegüentment una disminució de l’aportació d’oxigen d’un teixit biològic. Aquest patiment cel·lular pot ser suficientment intens per causar la mort cel·lular i del teixit. Una de les funcions principals de la sang és fer que l’oxigen arribat als pulmons circuli per l’organisme i arribi a tots els teixits del cos.
Finalment, els ateromes o plaques d’ateroma són lesions focals (característiques de l’ateroesclerosi) que s’inicien a la capa interna d’una artèria. L’excés de partícules de lipoproteïnes de baixa densitat (LDL) al torrent sanguini s’incrusta a la paret de l’artèria. En resposta, els glòbuls blancs (monòcits) arriben al lloc de la lesió, enganxant-se a les molècules per adhesió. Aquest nou cos format és portat a l’interior de la paret de l’artèria. Una vegada dins de la paret, els monòcits cobreixen la LDL per rebutjar-la, però si n’hi ha massa s’apinyen i es tornen escumosos. Aquestes “cèl·lules escumoses” reunides a la paret del vas sanguini formen una veta de greix. Aquest és l’inici de la formació de la placa d’ateroma.
Infart cerebral accident vascular cerebral
Un accident vascular cerebral (AVC) o accident cerebrovascular, vessament cerebral o ictus cerebral és un episodi agut d’afectació de la circulació cerebral; es produeix una lesió irreversible en un territori cerebral a causa de la pèrdua de flux sanguini al cervell, que produeix una sèrie de símptomes i/o signes variables en funció de l’àrea cerebral afectada. Els accidents cerebrovasculars o ictus (trombosi o vessament cerebral, antigament anomenat apoplexia) són causats per un trastorn de la circulació cerebral, que ocasiona una alteració transitòria o definitiva del funcionament d’una o diverses parts de l’encèfal (vegeu la figura).
“Ictus” és el nom científic d’allò que vulgarment és conegut amb diferents expressions: feridura, apoplexia, vessament cerebral, embòlia cerebral trombosi i d’altres. Cada ictus és diferent i la gent que el pateix està afectada de formes diferents; comunament, els classifiquem entre ictus isquèmic i ictus hemorràgic.
Quan la durada de la pèrdua (o disminució) de reg sanguini és breu (menys d’unes poques hores, antigament 24) i, per tant, no es produeix una lesió irreversible, es parla d’accident isquèmic transitori.
Hi ha dues grans categories d’AVC: ictus isquèmic i ictus hemorràgic. En qualsevol dels dos casos, el flux sanguini del cervell resta interromput, es produeix una isquèmia cerebral i les cèl·lules cerebrals moren per manca d’oxigen.

La clínica o diagnòstic és molt variada i depèn de l’àrea encefàlica afectada, i pot consistir des de símptomes purament sensorials fins als purament motors, passant pels símptomes sensitivomotors: hemiparèsia o hemiplegia del costat contrari al territori cerebral afectat, alteracions sensitives, disàrtria, afàsia, apràxia, pèrdua de camps visuals, incontinència d’esfínters, vertigen, mareig i nàusees, entre d’altres. Els que es diagnostiquen més sovint són els següents:
- Pèrdua de força en un braç o una cama, o paràlisi a la cara.
- Dificultat per expressar-se, entendre el que se li diu o llenguatge inintel·ligible.
- Dificultat per caminar, pèrdua d’equilibri o de coordinació.
- Mal de cap brusc, intens i inusual, gairebé sempre acompanyat d’altres símptomes.
- Pèrdua de la visió en un o dos ulls.
No obstant això, nombrosos quadres d’ACV de baixa intensitat i durada passen desapercebuts per l’anodí de la simptomatologia: parestèsies, debilitat d’un grup muscular poc específic (la seva activitat és suplerta per altres grups musculars), episodis amnèsics breus, petita desorientació… No seria molt desgavellat dir que són aquests símptomes menors els més freqüents, i tenen una gran importància, perquè són un bon indicador de la patologia subjacent d’una forma precoç.
Ictus isquèmic i ictus hemorràgic
L’ictus isquèmic és el més freqüent (entre un 80-85% dels ictus) i es produeix per l’oclusió d’una artèria cerebral; això provoca una disminució del flux sanguini de l’àrea irrigada per l’artèria i, per tant, una lesió parcial o total del parènquima cerebral corresponent.
En histologia, el terme parènquima s’utilitza per referir-se al teixit responsable de la funció de l’òrgan al qual pertany.
Els AVC isquèmics són lesions complexes i heterogènies, atès que molts factors poden modificar les seves característiques i/o conseqüències: la duració i la gravetat de la isquèmia, la presència o l’absència de sistemes vasculars col·laterals funcionants i d’una correcta o no pressió arterial sistèmica i l’etiologia i localització de l’infart cerebral. També tenen influència l’edat, el sexe, les possibles malalties concurrents multimedicades i els aspectes genètics.
Als EUA, durant els darrers anys, s’ha apreciat un increment de les patologies de base relacionades amb la gènesi d’ictus isquèmics i la coexistència d’una quantitat més nombrosa en els nous casos d’AVC, essent la dislipèmia l’afecció de major augment en tots els grups estudiats.
En rigor, un ictus isquèmic no és simplement una patologia neurològica, és la manifestació d’un o més problemes sistèmics (arterioesclerosi, inflamació o infecció) que poden provocar, tanmateix, infarts a altres òrgans del cos (un infart de miocardi, per exemple). Una conseqüència greu dels grans AVC isquèmics és l’edema cerebral, un fenomen relacionat amb determinats canvis d’autoregulació i de l’augment de la pressió intravascular a l’encèfal.
Les dues causes més habituals d’ictus isquèmic són:
- Coàgul de sang: un coàgul o trombe es pot formar a una artèria o bé originar-se en el cor en el cas que hi hagi alteracions cardíaques com comunicacions anòmales entre cavitats i/o alteracions del seu ritme. També poden arribar coàguls d’altres llocs de l’organisme fins al cor, i d’allà estant ser enviats cap a la circulació cerebral.
- Ateroma: lesions focals que s’originen a la capa interna (endoteli) de les artèries per acumulació de lipoproteïnes de baixa densitat (LDL) que circulen pel torrent sanguini i s’incrusten a la paret de l’artèria.
Així mateix, la isquèmia de les cèl·lules cerebrals es pot produir a través de diversos mecanismes; pot tenir un:
- Origen vascular o hemodinàmic: per exemplificar, la vasoconstricció arterial, la qual provoca una estenosi de les artèries i, en conseqüència, un baix flux hemàtic cerebral.
- Origen intravascular: aquest pot ser trombòtic/aterotrombòtic o embòlic. De vegades, l’origen de l’èmbol no és pròpiament intravascular, encara que aquest acabi per incloure la llum d’un vas cerebral. Una de les causes freqüents d’ictus isquèmic és l’embolització de fragments de les vegetacions cardíaques derivades d’una endocarditis infecciosa als vasos del cervell, que de vegades poden causar petits infarts sense expressió clínica notable o provocar un infart plenament simptomàtic. El mateix pot ocórrer en el cas d’una endocarditis trombòtica no bacteriana (vegeu la figura).
- Origen extravascular: consisteix en una estenosi dels vasos de l’encèfal causada per mecanismes compressius sobre la paret vascular, com per exemple, tumors, quists… Les metàstasis de moltes neoplàsies poden sagnar i provocar un ictus.
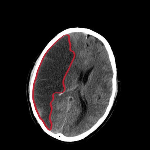
Per la seva banda, l’ictus hemorràgic, un tipus d’hemorràgia cerebral freqüent, consisteix en el trencament d’una artèria i la subsegüent extravasació de sang a l’encèfal. Representa un 20% aproximadament de tots els ictus. La hipertensió arterial, l’angiopatia amiloide i les lesions vasculars (malformacions arteriovenoses, aneurismes o hematomes intracranials) són els processos causals de base més comuns d’aquesta forma d’ictus. L’ictus hemorràgic lobular es veu sovint en casos d’angiopatia amiloide.
Aneurisma
Un aneurisma és una dilatació localitzada en un vas sanguini (artèria o vena) causada per una degeneració o afebliment de la paret vascular (vegeu la figura). Els aneurismes més freqüents són els arterials, i llur localització més habitual és a la base del cervell i a l’aorta (la principal artèria que surt del cor).
Angiopatia
L’angiopatia és un terme mèdic que es refereix a una malaltia dels vasos sanguinis, com ara una artèria, una vena o els capil·lars. La més prevalent i coneguda és l’angiopatia diabètica, una de les complicacions potencialment fatals de la diabetis crònica.
Una altra angiopatia molt freqüent en ancians és l’angiopatia amiloide cerebral, present en trastorns com la malaltia d’Alzheimer i una causa important d’hemorràgia intracranial. L’angiopatia amiloide cerebral és un trastorn dels vasos sanguinis del sistema nerviós central caracteritzada per un dipòsit de material β-amiloide sobre les parets d’aquests vasos, que provoca un augment del risc de patir accidents cerebrovasculars. Clínicament, aquesta malaltia es manifesta en produir-se la ruptura del vas afectat, la qual cosa provoca la isquèmia del teixit cerebral banyat per aquest.
Flebitis, insuficiència venosa crònica i trombosi venosa profunda
La flebitis és una inflamació d’una vena, generalment a la cama. Quan la flebitis s’associa amb la formació de coàguls sanguinis (trombosi), generalment en les venes profundes de les cames, l’afecció es denomina tromboflebitis. Aquests coàguls poden viatjar als pulmons, causant un tromboembolisme pulmonar (TEP) que pot ser fatal.
La insuficiència crònica, coneguda popularment com a varius, és la incapacitat de les venes per realitzar l’adequat retorn de la sang al cor (vegeu la figura). Té com a agent etiopatogènic fonamental la hipertensió venosa. La insuficiència venosa es pot originar per la presència d’un o més dels següents factors:
- Obstrucció del flux venós (com la trombosi venosa o la compressió extrínseca d’una vena)
- Reflux valvular (com les varius)
- Falla de bombes venoses (com els trastorns motors)
El diagnòstic i posterior tractament de cada un dels factors etiològics forma part de l’estratègia terapèutica del pacient.
En medicina, la trombosi venosa profunda (també coneguda com a flebotrombosi profunda o tromboflebitis profunda), generalment abreujada com TVP, és la formació d’un coàgul de sang (trombe) en una vena profunda. És una forma de tromboflebitis (inflamació d’una vena amb la formació de coàguls). La trombosi venosa profunda afecta comunament les venes de la cama (com la vena femoral o la vena poplítia) o les venes profundes de la pelvis.
Malalties dels vasos limfàtics
Les manifestacions més comunes de les malalties del sistema limfàtic són l’adenopatia, el limfedema, la limfangitis i el limfoma.
L’adenopatia és la inflor i inflamació d’un gangli limfàtic que augmenta la seva mida normal (vegeu la figura).
El limfedema es refereix al tipus d’edema produït per una obstrucció en els canals limfàtics de l’organisme. Aquesta situació es produeix per l’acumulació de la limfa (composta per un líquid clar ric en lípids i fibroblasts) en els espais intersticials (àrea existent entre les diferents cèl·lules d’un teixit), dins el teixit cel·lular subcutani. Obeeix en general a una fallada o a una insuficiència en el sistema limfàtic, i porta com a conseqüència l’augment del volum de les extremitats de forma completa o parcial (vegeu la figura).
La limfangitis és un procés inflamatori dels conductes limfàtics, generalment d’origen infecciós. I el limfoma és un tipus de càncer que s’origina en el teixit limfàtic.
































