El sistema digestiu
Com a tècnics en cures auxiliars d’infermeria (TCAI), heu de conèixer les característiques i comprendre el funcionament del sistema digestiu; això implica conèixer la seva anatomia (cavitat bucal, faringe, esòfag, estómac, l’intestí prim i el gros, fetge, vesícula biliar i pàncrees), la seva fisiologia (la digestió a la cavitat oral, a l’estómac, a l’intestí prim, l’absorció i el transport dels nutrients, l’activitat del còlon, la regulació i les fases de la digestió) i saber-ne detectar les patologies; així com ser capaços de valorar la necessitat de menjar i beure, apreciar els principals símptomes que l’identifiquen i que estan relacionats amb l’eliminació digestiva (restrenyiment, diarrea i altres variacions en la femta).
L’aparell digestiu, o sistema digestiu, és l’encarregat que els aliments, després de ser ingerits i triturats per les dents amb l’ajuda de la saliva produïda per les glàndules salivals, formin un bol alimentari i passin per l’esòfag en el seu camí cap a l’estómac, gràcies al moviment peristàltic. Un cop a l’estómac, s’inicia el procés de digestió.
Anatomia de l'aparell digestiu
L’aparell digestiu és el conjunt d’òrgans encarregats del procés de la digestió, és a dir, la transformació dels aliments perquè puguin ser absorbits i utilitzats per les cèl·lules de l’organisme (vegeu la figura). La funció que realitza és la de transport d’aliments, secreció de sucs digestius, absorció de nutrients i excreció mitjançant el procés de defecació.
El procés de la digestió consisteix en transformar els glúcids, lípids i proteïnes continguts en els aliments en unitats més senzilles, gràcies als enzims digestius, perquè puguin ser absorbits i transportats per la sang.
L’aparell digestiu està format pel tub digestiu i les glàndules annexes (glàndules salivals, fetge i pàncrees). La seva longitud és de 10 a 12 metres, sis o set vegades la longitud total del cos.
En el seu trajecte al llarg del tronc, discorre per davant de la columna vertebral. Comença a la cara, baixa pel coll i travessa les tres grans cavitats del cos: toràcica, abdominal i pèlvica. Al coll està en relació amb el conducte respiratori, al tòrax se situa en el mediastí posterior entre els dos pulmons i el cor, i a l’abdomen i la pelvis es relaciona amb els diferents òrgans de l’aparell genitourinari.
Pel que fa a la seva histologia, la paret del tub digestiu està format per quatre capes concèntriques que són de dins cap a fora:
- Capa interna o mucosa. És el revestiment interior del tub digestiu i es troba en contacte directe amb els aliments. Està composta per una capa d’epiteli, una capa de teixit conjuntiu que es diu làmina pròpia i una capa fina de múscul llis denominada muscularis mucosae. En l’epiteli hi poden haver glàndules que secreten diferents substàncies cap a la llum. Per exemple, les glàndules gàstriques situades a la mucosa de l’estómac secreten àcid clorhídric i pepsinogen per facilitar la digestió.
- Capa submucosa. Es troba sota la mucosa i està composta de teixit connectiu. Conté vasos sanguinis, glàndules i nervis que formen el plexe de Meissner, que és un component del sistema nerviós entèric amb la funció de controlar la motilitat de la mucosa i la funció secretora de les glàndules.
- Capa muscular externa, composta, de la mateixa manera que la muscularis mucosae, per una capa circular interna i una altra longitudinal externa de múscul llis (excepte a l’esòfag, on hi ha múscul estriat). Aquesta capa muscular té al seu càrrec els moviments peristàltics que desplacen el contingut de la llum al llarg del tub digestiu. Entre les seves dues capes hi ha un altre component del sistema nerviós entèric, el plexe mientèric d’Auerbach, que regula l’activitat d’aquesta capa.
- Capa serosa o adventícia. S’anomena segons la regió del tub digestiu que revesteix, és a dir, serosa si és intraperitoneal o adventícia si és retroperitoneal. L’adventícia està conformada per un teixit connectiu lax. La serosa apareix quan el tub digestiu ingressa a l’abdomen, i l’adventícia passa a ser substituïda pel peritoneu.
El gruix de la paret i l’aspecte de superfície, que pot ser llisa o no, canvien depenent del lloc anatòmic. La mucosa pot presentar criptes i vellositats, la submucosa pot presentar plecs permanents o plecs funcionals. A la paret hi ha també els plexes submucós i mientèric, que constitueixen el sistema nerviós entèric, que es distribueix al llarg de tot el tub digestiu, des de l’esòfag fins a l’anus.
A la figura podeu veure les diferents capes de l’aparell digestiu:
- Mucosa,
- Làmina pròpia de la mucosa
- Muscularis mucosae
- Lumen
- Teixit limfàtic
- Conducte de la glàndula
- Glàndula en mucosa
- Submucosa
- Glàndula a submucosa
- Plexe submucós de Meissner
- Vena
- Múscul circular
- Múscul longitudinal
- Teixit connectiu areolar
- Epiteli
- Plexe mientèric d’Auerbach
- Nervi
- Artèria
- Mesenteri
Anatomia de la cavitat bucal
La boca, també denominada cavitat bucal o cavitat oral, és l’obertura corporal per la qual s’ingereixen aliments. Està situada a la cara i constitueix en la seva major part l’aparell estomatognàtic, així com la primera part de l’aparell digestiu. La boca s’obre a un espai previ a la faringe anomenat cavitat oral, o cavitat bucal.
La boca pot considerar-se una estada amb cinc parets (vegeu la figura):
- Paret anterior: està formada pels llavis.
- Parets laterals: estan formades per les galtes.
- Paret inferior: formada pel pis de la boca, on s’ubica la llengua.
- Paret superior: o paladar, conformat per una porció òssia (paladar dur, la volta palatina) i membranós (paladar tou).
- Paret posterior: realment és un orifici irregular anomenat istme de la gola que comunica la boca amb la faringe.
La llengua és un múscul de tipus esquelètic que reposa a la part inferior de la boca. Com a part de l’aparell digestiu, la seva funció principal és la de manipular el menjar, ajudar a mastegar i a empassar (deglució). La llengua també és l’òrgan principal del gust. Una gran part de la superfície de la llengua es troba coberta per les papil·les linguals. Els annexos de la boca són les dents, i les glàndules salivals. Primer de tot explicarem les dents.
La dent humana és una peça anatòmica dura. Les dents tenen funcions digestives (tallar, moldre i triturar els aliments sòlids), i participar en l’articulació de paraules en el llenguatge oral. Les parts d’una dent, segons la seva composició, són:
- Esmalt: coberta de gran duresa que recobreix la corona en un 94%; està feta de material inorgànic, i és la part més dura de l’organisme.
- Dentina: per sota de l’esmalt de la corona i del ciment de l’arrel. Teixit més tou i elàstic que l’esmalt, el protegeix de les fractures.
- Ciment dental: teixit ossi sense irrigació ni nervis. En un 55% format per hidroxiapatita i la resta aigua. És la part més externa de l’arrel dental. En el ciment s’hi insereixen els lligaments periodontals que uneixen l’arrel amb l’os alveolar.
- Polpa dentària: també anomenat nervi, engloba els vasos sanguinis i les terminacions nervioses.
A la figura podeu veure una secció d’una dent amb les diferents parts:
- Dent
- Esmalt
- Dentina
- Polpa dental
- Polpa coronal o cameral
- Polpa radicular
- Ciment
- Corona
- Cúspide
- Solc
- Coll
- Arrel
- Furca
- Àpex de l’arrel
- Foramen de l’àpex
- Solc gingival
- Periodonci
- Geniva
- Lliure o interdental
- Marginal
- Alveolar
- Lligament periodontal
- Os alveolar
- Irrigació i innervació
- Dental
- Periodontal
- A través del canal alveolar
Hi ha quatre tipus de dents:
- Incisives: tallen.
- Canines o ullals: trenquen o esquincen.
- Premolars: trituren.
- Molars o queixals: molen.
Les glàndules salivals secreten la saliva, que conté enzims que duen a terme la fase inicial de la digestió de l’aliment. Són les següents:
- Glàndules salivals majors. Formen unitats anatòmiques perfectament distingibles, se situen fora de la cavitat oral i desemboquen a la cavitat oral. Secreten saliva en resposta a estímuls.
- Glàndula paròtide. Secreció serosa. És la més voluminosa, i se situa sota el conducte auditiu extern, davant l’apòfisi mastoide i estiloide, i darrere la branca ascendent de la mandíbula (a les galtes). El seu conducte excretor, anomenat conducte de Stenon, desemboca a la mucosa oral a l’alçada del primer o segon molar.
- Glàndula submandibular. Seromucosa. Per la seva mida mitjana és la que forma més quantitat de saliva (60%). Se situa a la porció lateral just per sota de l’angle de la mandíbula. El seu conducte excretor, conducte de Warthon, desemboca a ambdós costats del fre lingual.
- Glàndula sublingual. Mucosa. És la més petita i se situa al terra de la boca, per sota de la mucosa del solc alveololingual. El seu conducte excretor, conducte de Bartholin, finalitza a ambdós costats del fre lingual.
- Glàndules salivals menors. Són glàndules microscòpiques seromucoses, mucinoses o seroses que produeixen el 5% de la saliva. Se situen disperses per tota la mucosa oral, com ara llavis, parets, llengua i paladar. Secreten saliva contínuament.
A la figura podeu veure les glàndules salivals:
- Paròtide
- Submandibular
- Sublingual
Faringe
La faringe és una estructura situada al coll i revestida de membrana mucosa; connecta la cavitat bucal i les fosses nasals amb l’esòfag i la laringe respectivament, i per ella hi passen tant l’aire com els aliments, i per tant forma part tant de l’aparell digestiu com del respiratori. Les dues vies queden separades per l’epiglotis, que actua com una vàlvula.
La faringe té una longitud d’uns tretze centímetres, estesa des de la base externa del crani fins a la sisena o setena vèrtebra cervical, a l’altura de la vora cabal del cartílag cricoide. Està situada davant de la columna vertebral i es divideix en tres seccions (vegeu la figura):
- Rinofaringe o nasofaringe, just darrere de la cavitat nasal. La paret inferior és el paladar tou.
- Orofaringe, també es diu faringe mitjana o bucofaringe, pel fet que per davant hi ha la boca o cavitat oral a través de l’istme de la gola. Per dalt està limitada pel vel del paladar i per baix per l’epiglotis. A l’orofaringe hi ha les amígdales palatines o angines.
- Laringofaringe o hipofaringe. Comprèn les estructures que envolten la laringe per sota de l’epiglotis.
Esòfag
L’esòfag és una part de l’aparell digestiu format per un tub muscular d’uns 25 centímetres, que comunica la faringe amb l’estómac. S’estén des de la sisena o setena vèrtebra cervical fins a l’onzena vèrtebra toràcica. A través de l’esòfag passen els aliments des de la faringe fins a l’estómac.
L’esòfag discorre pel coll i pel mediastí posterior (posterior al tòrax), fins a introduir-se en l’abdomen superior de forma anterior, travessant el diafragma (vegeu la figura).
Estómac
L’estómac és un òrgan muscular, corresponent a la primera porció de l’aparell digestiu a l’abdomen, excloent la petita porció de l’esòfag abdominal. És un reservori temporal del bol alimentari deglutit fins que es procedeix al seu trànsit intestinal, una vegada ben barrejat a l’estómac. La seva entrada s’anomena càrdies i la seva sortida pílor.
L’estómac és un òrgan en forma de “J” de 25 cm de longitud. Presenta posició intraperitoneal a la part esquerra de la cavitat abdominal. Per la part superior, està limitat pel diafragma. Per sota trobem el pàncrees i l’oment major, que penja de la curvatura major. L’estómac és la part més distensible del tub digestiu: la seva capacitat varia entre 50 ml i 4 l, cosa que serà condicionada per la quantitat d’aliment que conté.
S’obre a l’esòfag per la regió del càrdies (part superior dreta) i es continua amb el duodè de l’intestí prim per la part inferior, compartiments que es troben separats per l’esfínter pilòric (vegeu la figura).
Si es traça una línia horitzontal imaginària a través de la regió del càrdies, es divideix l’estómac en una part superior anomenada fons o fundus i una part inferior anomenada cos, que entre les dues constitueixen aproximadament dos terços de l’estómac. La porció distal amb forma d’embut s’anomena regió pilòrica, i comença en una zona eixamplada, l’antre, i acaba en l’esfínter pilòric o pílor. La regió fúndica és la zona formada pel fundus i el cos.
La superfície interna de l’estómac presenta uns plecs visibles macroscòpicament que augmenten la superfície de contacte entre l’epiteli de l’estómac i la llum del tub, anomenats plecs gàstrics (vegeu la figura).
La paret de l’estómac està formada per les capes característiques de tot el tub digestiu: mucosa, submucosa, muscular i serosa. La mucosa compta amb cèl·lules que produeixen moc, àcid clorhídric i enzims digestius. La capa muscular consta de fibres longitudinals, circulars i obliqües. La serosa correspon a l’embolcall més extern de l’òrgan. La paret de l’estómac està formada per quatre capes:
- Serosa, la més externa. Per a l’execució dels moviments peristàltics de l’estómac cal que aquest romangui lliscant respecte als òrgans veïns, fet que s’aconsegueix amb el recobriment extern peritoneal serós que presenta.
- Paret muscular, de musculatura llisa. Està constituïda per tres capes: longitudinal, circular i una capa exclusiva de l’estómac que és l’obliqua.
- Submucosa, de teixit connectiu.
- Mucosa, presenta les glàndules gàstriques i està formada per l’epiteli cilíndric, a diferència de l’epiteli pla estratificat de l’esòfag. Els vasos estan àmpliament ramificats en aquesta capa. Les glàndules gàstriques de la mucosa estan constituïdes per diverses cèl·lules secretores.
Intestí prim
L’intestí prim és la porció del tub digestiu que s’inicia després de l’estómac (amb el pílor) i acaba a l’intestí gros (amb la vàlvula ileocecal), amb qui constitueix les subdivisions de l’intestí. Mesura aproximadament sis metres de llargada. A la figura podeu veure les tres parts dels budells:
- El duodè és un tub articulat buit que connecta l’estómac amb el jejú. És la primera part, i més curta, de l’intestí prim i és on té lloc la majoria del procés de digestió química.
- El jejú és una divisió de l’intestí prim que es troba a la meitat d’aquest, entre el duodè i l’ili. En aquesta part de l’intestí hi intervenen diferents enzims digestius que ajuden a digerir l’aliment perquè en sigui més fàcil l’absorció. És un dels punts on l’intestí prim és més estret. El jejú té una llargària de dos a vuit metres i un diàmetre de dos a quatre centímetres.
- L’ili és la secció final de l’intestí prim i segueix el jejú. L’ili terminal està separat del cec per la vàlvula ileocecal. L’ili és d’aproximadament 2-4 m de llarg, i el pH sol estar entre 7 i 8 (neutre o lleugerament bàsic).
Les funcions dels budells són:
- Digestió de nutrients a través d’enzims provinents de les glàndules intestinals i facilitada per una substància mucosa també d’origen glandular i de les cèl·lules caliciformes immerses a la membrana intestinal.
- Absorció de nutrients i qualsevol altra substància similar.
- Secreció de substàncies mitjançant la bilis cap a l’intestí gros.
Intestí gros
L’intestí gros inclou la combinació del cec, còlon, recte i canal anal, és la darrera part del tracte gastrointestinal i del sistema digestiu. L’aigua s’absorbeix aquí i la resta de residus s’emmagatzema com a femta abans de ser eliminada per defecació. L’intestí gros comença a la regió ilíaca dreta de la pelvis, on s’uneix a l’extrem de l’intestí prim al cec, a través de la vàlvula ileocecal. Després continua com a còlon ascendint a l’abdomen, i passant acontinuació a través de l’amplada de la cavitat abdominal com el colon transvers, finalment baixa al recte i el seu extrem al canal anal.
L’intestí gros té aproximadament 1,5 metres de llarg, la qual cosa és aproximadament una cinquena part de la longitud total del tracte gastrointestinal
Histològicament la paret de l’intestí gros té la mateixa estructura que la resta del tub digestiu, està format per quatre capes concèntriques, i per fora esta unit a estructures externes com els apèndixs epiploics.
A la figura podeu veure un esquema del còlon esquerre amb els apèndixs epiploics:
- A. apèndixs epiploics
- B. artèria colònica segmentària
- C. artèria recta
- D. mesocòlon

Després d’unes dues hores des de la ingesta, el quim arriba a l’intestí gros, on ja no és processat en aquesta última etapa de la digestió. L’intestí gros es limita a absorbir els minerals, l’aigua i les vitamines (K i B12) que són alliberades pels bacteris que habiten en el còlon (vegeu la figura).
El quim és la barreja alimentària líquida que ja ha passat pels processos de l’estómac.
El còlon consta de quatre seccions:
- Còlon ascendent. És la primera secció i comença a l’àrea d’unió amb l’intestí tènue. El còlon ascendent s’estén cap amunt pel costat dret de l’abdomen.
- Còlon transvers. És la segona secció i s’estén a través de l’abdomen del costat dret cap al costat esquerre. Els seus dos extrems formen dos replecs que es diuen:
- Replec còlic dret, que és la unió del còlon ascendent amb el còlon transvers.
- Replec còlic esquerre, que és la unió del còlon transvers amb el colon descendent.
- Còlon descendent. És la tercera secció i continua cap avall pel costat esquerre.
- Còlon sigmoide. És la quarta secció i s’anomena així per la forma de S. El còlon sigmoide s’uneix al recte, i aquest desemboca al canal anal.
A la figura podeu veure un diagrama del recte i de l’anus:
- Recte
- Esfínter extern
- Esfínter intern
Fetge
El fetge és un important òrgan que té un pes mitjà de 1500 g, està situat a la part superior dreta de l’abdomen, sota el diafragma, segrega la bilis essencial per a la digestió dels greixos i compta amb moltes altres funcions, entre les quals la síntesi de proteïnes plasmàtiques, emmagatzematge de vitamines i glucogen i funció desintoxicant. És responsable d’eliminar de la sang diferents substàncies que puguin resultar nocives per a l’organisme, com ara l’alcohol, i les converteix en innòcues.

El fetge es divideix pel lligament falciforme en dos lòbuls principals, dret i esquerre. Hi ha dos altres lòbuls més petits, el lòbul quadrat i el lòbul caudat:
- lòbul dret, situat a la dreta del lligament falciforme;
- lòbul esquerre, estès sobre l’estómac i situat a l’esquerra del lligament falciforme;
- lòbul quadrat, visible només a la cara inferior del fetge; es troba limitat pel solc umbilical a l’esquerra, el llit vesicular a la dreta i l’hil del fetge per darrere;
- lòbul de Spieghel (lòbul caudat), situat entre la vora posterior de l’hil hepàtic per davant, la vena cava per darrere.
A la figura podeu veure les diverses parts d’un fetge:
- Lòbul dret del fetge
- Lòbul esquerre del fetge
- Lòbul quadrat
- Lligament rodó del fetge
- Lligament falciforme
- Lòbul caudat
- Vena cava inferior
- Conducte biliar comú
- Artèria hepàtica
- Vena porta
- Conducte quístic
- Conducte hepàtic comú
- Vesícula biliar
La sang arriba al fetge a través de la vena porta i l’artèria hepàtica. El sistema porta constitueix el 70-75 per cent del flux sanguini i conté sang poc oxigenada i rica en nutrients provinent del tracte gastrointestinal i de la melsa. La sang arterial arriba a través de l’artèria hepàtica, branca del tronc celíac que conté la sang oxigenada. La sang de les dues procedències es barreja en els sinusoides hepàtics i abandona l’òrgan a través de les venes hepàtiques, també anomenades suprahepàtiques, que finalment drenen a la vena cava inferior.
Vesícula biliar
La vesícula biliar és una víscera buida petita, amb forma d’ovoide o pera, que té una grandària aproximada d’entre 5 i 7 cm de diàmetre més gran. Es connecta amb l’intestí prim (duodè) per la via biliar comuna o conducte colèdoc. La seva funció és l’acumulació de bilis, conté un volum de prop de 50 ml de bilis que allibera al duodè a través dels conductes abans ressenyats, i entra al duodè a través de la papil·la o ampul·la de Vater. Està adherida a la superfície visceral del fetge.
A la figura podeu veure una secció longitudinal amb la ubicació de la vesícula biliar, i frontal del duodè i pàncrees. Com podeu veure, la vora anterior del fetge està aixecada enlaire (fletxa en marró), i l’estómac i els conductes intrahepàtics estan fets en transparència:
- Vies biliars
- Conducte biliar intrahepàtic
- Conductes hepàtics dret i esquerre
- Conducte hepàtic comú
- Conducte cístic
- Colèdoc o Conducte biliar comú
- Ampul·la de Vater o hepatopancreàtica
- Carúncula major o papil·la de Vater
- Vesícula biliar
- Lòbul dret
- Lòbul esquerre del fetge
- Melsa
- Esòfag
- Estómac
- Pàncrees
- Conducte de Santorini o pancreàtic accessor
- Conducte de Wirsung o pancreàtic
- Intestí prim
- Duodè
- Jejú
- Ronyó dret (silueta)
- Ronyó esquerre (silueta)
La funció de la vesícula és emmagatzemar i concentrar la bilis secretada pel fetge i que arriba a la vesícula a través dels conductes hepàtic i cístic, fins a ser requerida pel procés de la digestió.
A la figura podeu veure les diverses estructures de la vesícula biliar (A, la vesícula en si; B, els seus conductes), formada per:
- Fons
- Cos
- Coll
- Conducte cístic
- Conducte hepàtic
- Colèdoc
Emmagatzema la secreció biliar fins que un estímul adequat causa el seu alliberament per la contracció de la seva paret muscular. La secreció de la bilis per la vesícula és estimulada per la ingesta d’aliments, sobretot quan conté carn o greixos, moment en què es contreu i expulsa la bilis concentrada cap al duodè.
La bilis és un líquid de color marró verdós que té la funció d’emulsionar els greixos, produint microesferes i facilitant així la seva digestió i absorció, a més d’afavorir els moviments intestinals. A més, a través de la bilis s’excreten l’excés de colesterol i productes de rebuig del metabolisme de l’hemoglobina, com la bilirubina, a més d’alguns medicaments. Les situacions que retarden o obstrueixen el flux de la bilis provoquen malalties de la vesícula biliar.
Pàncrees
El pàncrees és un òrgan de l’aparell digestiu i del sistema endocrí dels vertebrats. En els éssers humans es localitza en la cavitat abdominal, just darrere de l’estómac. És tant una glàndula exocrina com endocrina:
- Glàndula endocrina: té la funció de secretar al torrent sanguini diverses hormones importants, entre les quals hi ha insulina, glucagó, polipèptid pancreàtic i somatostatina.
- Glàndula exocrina: secreta suc pancreàtic al duodè a través del producte pancreàtic. Aquest suc conté bicarbonat, que neutralitza els àcids que entren al duodè procedents de l’estómac; i enzims digestius, que descomponen els carbohidrats, les proteïnes i els lípids dels aliments.
Pel que fa a la seva localització, el pàncrees, es troba per darrere de l’estómac, entre la melsa i el duodè, al nivell de la primera i la segona vèrtebres lumbars i al costat de les glàndules suprarenals. Forma part del contingut de l’espai retroperitoneal. La seva forma és allargada i es divideix en diverses parts anomenades cap, coll, cos i cua. En l’espècie humana mesura entre 15 a 20 cm de llarg, 4 a 5 de gruix, amb un pes que oscil·la entre 70 i 150 grams. (vegeu la figura).
Al pàncrees distingim els següents elements:
- Cap: dins de la concavitat del duodè o nansa duodenal formada per les tres primeres porcions del duodè i que puja obliquament cap a l’esquerra.
- Procés unciforme: posterior als vasos mesentèrics superiors.
- Coll: anterior als vasos mesentèrics superiors (artèria mesentèrica superior i vena mesentèrica superior). En la part posterior al coll es crea la vena porta.
- Cos: posterior a l’estómac cap a l’esquerra i ascendint lleugerament.
- Cua: acaba després de passar entre les capes del lligament esplenorenal. L’única part del pàncrees intraperitoneal.
- Conducte pancreàtic principal o conducte de Wirsung: comença a la cua dirigint-se a la dreta pel cos. En el cap canvia de direcció cap a l’inferior. En la porció inferior del cap s’uneix al conducte colèdoc i acaba en l’ampul·la hepatopancreàtica o de Vater, que s’introdueix al duodè descendent (segona part del duodè).
- Conducte pancreàtic accessori o conducte de Santorini: es forma de dues branques, la primera provinent de la porció descendent del conducte principal i la segona del procés unciforme. El canal comú que porta la bilis i les secrecions pancreàtiques al duodè està revestit per un complex circular de fibres de múscul llis que es condensen en l’esfínter d’Oddi a mesura que travessen la paret del duodè.
A la figura podeu veure les diverses parts del pàncrees:
- Cap del pàncrees
- Flexura del pàncrees
- Intestí prim
- Cos pancreàtic
- Superfície anterior del pàncrees
- Superfície inferior del pàncrees
- Marge pancreàtic superior
- Cua del pàncrees
- Cara inferior del pàncrees
- Porció mitjana del pàncrees
- Cua pancreàtica
- Duodè
Fisiologia digestiva
Els aliments, després de ser ingerits i triturats per les dents amb l’ajuda de la saliva produïda per les glàndules salivals, formen un bol alimentari i passen per l’esòfag en el seu camí cap a l’estómac gràcies al moviment peristàltic.
Peristaltisme o peristalsi
Contracció radial asimètrica dels músculs que es propaga en forma d’ona cap a la part posterior d’un tub muscular.
Un cop a l’estómac, s’inicia el procés de digestió facilitat per l’àcid clorhídric secretat per les cèl·lules parietals de l’estómac i els enzims digestius.

Posteriorment, passen a l’intestí prim, on continua la degradació química dels aliments i té lloc l’absorció d’aigua i nutrients, que són transportats cap a la sang i la limfa. A l’intestí gros s’acumulen les substàncies de rebuig que formen la femta, les quals s’expulsen a l’exterior a través de l’anus.
El tub digestiu és la principal superfície d’intercanvi entre el medi extern i l’intern. La superfície total de la mucosa gastrointestinal desplegant les microvellositats intestinals és d’uns 350 metres quadrats. Gràcies al tub digestiu, l’individu pot realitzar el procés de nutrició mitjançant la digestió i absorció dels nutrients continguts en els aliments, però no és menys important la seva funció de defensa, ja que disposa de sistemes de reconeixement i rebuig d’agents o substàncies estranyes procedents del món exterior.
La digestió es porta a terme en l’aparell digestiu, o tracte gastrointestinal. L’aparell digestiu, com un tot, és un tub amb un sol sentit, amb òrgans accessoris com el fetge, la vesícula biliar i el pàncrees, que assisteixen en el procés químic involucrat en la digestió.
La digestió usualment està dividida en processos mecànics, per reduir la mida dels aliments i en una acció química per reduir addicionalment la mida de les partícules i preparar-les per a l’absorció. La digestió és un procés de diverses etapes en el sistema digestiu, després de la ingestió de la matèria primera, el procés d’ingestió usualment involucra algun tipus de processament mecànic o químic.
Per tant, la digestió està dividida en quatre processos separats; alhora, un procés subjacent és el moviment muscular a través del sistema (deglució i peristaltisme). Les etapes són:
- Ingestió: entrada d’aliment a l’aparell digestiu.
- Digestió pròpiament dita: conversió dels aliments en nutrients. Implica processos mecànics i químics.
- Absorció: moviment dels nutrients des del sistema digestiu fins als capil·lars circulatoris i limfàtics.
- Defecació: remoció de materials no digerits del tracte digestiu a través de la defecació o la regurgitació.
Digestió a la cavitat oral
La digestió comença a la cavitat oral, on els aliments són mastegats. La saliva és secretada a la boca, en grans quantitats (1-1,5 l/d) per tres parells de glàndules salivals (paròtide, submaxil·lar i sublingual) i és barrejada per la llengua, amb el menjar mastegat.
La masticació és una part de la funció digestiva present en una gran varietat d’animals, inclòs l’home. És el procés mitjançant el qual aquest tritura el menjar prèviament ingerit al començament de la digestió.
La masticació és realitzada per les dents, principalment pels molars; en col·laboració amb la llengua. Aquestes peces dentals tenen unes “cúspides” en la superfície de contacte amb l’aliment i, per efecte del moviment de la mandíbula es desplacen lateralment per afavorir la masticació. El producte de la masticació i l’acció de la saliva és el bol alimentari.
Hi ha dos tipus de saliva: una és una secreció aquosa, prima i el seu propòsit és humitejar el menjar; l’altra és una secreció mucosa, espessa, que conté els enzims ptialina o amilasa salival, que hidrolitza el midó i el lisozim i desinfecta les possibles bactèries infeccioses; actua com a lubricant i causa que les partícules d’aliment es mantinguin enganxades unes a les altres formant un bol.
La saliva serveix per netejar la cavitat oral, humitejar l’aliment i a més conté enzims digestius com ara l’amilasa salival, que ajuda en la degradació química dels polisacàrids, com ara el midó, i en disacàrids com ara la maltosa. També conté mucina, una glicoproteïna que ajuda a estovar els aliments en el bol.
A l’empassar, es transporta el menjar mastegat fins a l’esòfag, passant a través de l’orofaringe i la hipofaringe. El mecanisme per empassar és coordinat pel centre d’empassat en la medul·la espinal. El reflex inicial és iniciat per receptors de tacte a la faringe quan el bol d’aliments és empès fins a la part de darrere de la boca.
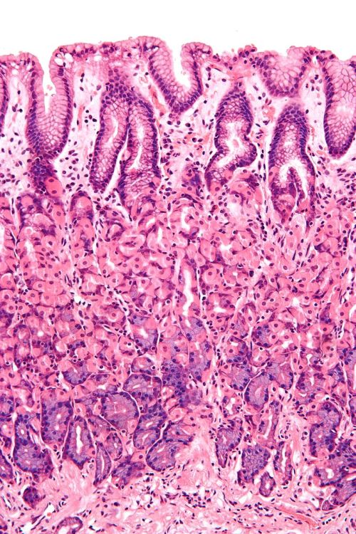
La digestió a l'estómac
L’esòfag té una estructura formada per dues capes de músculs que permeten la contracció i relaxació en sentit descendent de l’esòfag. Aquestes ones reben el nom de moviments peristàltics i són les que provoquen l’avanç de l’aliment cap a l’estómac.
L’estómac és un òrgan en el qual s’acumula menjar. El càrdies és el límit entre l’esòfag i l’estómac i el pílor, el límit entre l’estómac i l’intestí prim. Les glàndules gàstriques de la mucosa estan constituïdes per diverses cèl·lules secretores (vegeu la figura); en el seu interior trobem principalment dos tipus de cèl·lules:
- Cèl·lules parietals que secreten l’àcid clorhídric (HCl) i el factor intrínsec, una glucoproteïna necessària per a l’absorció de la vitamina B12 a l’intestí prim.
- Cèl·lules principals o oxíntiques, que secreten pepsinogen, precursor enzimàtic que s’activa amb l’HCl, i forma pepsina.
La secreció de suc gàstric està regulada tant pel sistema nerviós com pel sistema endocrí, procés en el qual actuen diverses substàncies: gastrina, colecistoquinina, secretina i pèptid inhibidor gàstric.
Quan el menjar arriba a l’estómac, actua sobre la secreció l’àcid clorhídric, que degrada les proteïnes dels aliments i activa la pepsina, un enzim que actua també sobre les proteïnes.
A l’estómac es secreta també un enzim lipasa, que intervé en la degradació dels greixos, però el seu paper és molt escàs. Els aliments barrejats amb els sucs gàstrics i el moc produït per les cèl·lules secretores de l’estómac formen una substància semilíquida que s’anomena quim, la qual avança cap a l’intestí prim per continuar el procés de digestió.
La digestió a l'intestí prim
Després d’haver estat processats a l’estómac, els aliments passen a l’intestí prim a través de l’esfínter pilòric. La major part de la digestió i absorció té lloc aquí quan el quim entra al duodè. Allà és barrejat addicionalment amb tres líquids diferents:
- Bilis, que emulsiona els greixos per permetre la seva absorció, neutralitza el quim i és usada per excretar productes de rebuig com ara la bilirubina i els àcids biliars. No obstant això no és un enzim.
- Suc pancreàtic, que és la secreció exocrina del pàncrees, secretada pels àcins pancreàtics i abocada mitjançant el conducte pancreàtic al colèdoc i d’aquí a la segona porció del duodè. Aquest intervé en la digestió de tots els principis immediats (carbohidrats, lípids i proteïnes ).
El suc pancreàtic està integrat per un component aquós abocat per l’acció de la secretina i un component enzimàtic que és abocat en forma inactiva, gràcies a l’acció de la colecistoquinina en resposta a la presència d’acidesa i presència del quim duodenal.
El suc pancreàtic es compon d’aigua, sals minerals, bicarbonat de sodi (que neutralitza l’acidesa del quim impedint que les cèl·lules intestinals puguin resultar danyades) i diversos enzims: proteases (que degraden proteïnes: tripsina, quimiotripsina i carboxipeptidasa), amilasa pancreàtica (que digereix midons), i lipases (lipasa pancreàtica).
Normalment es segrega d’1,2 a 1,5 litres de suc pancreàtic. El pH d’aquest suc és de 7,1 a 8,0, i això es deu a la necessitat de contrarestar l’acidesa del quim i permetre l’acció enzimàtica. - Enzims intestinals de la mucosa intestinal. Inclouen: maltasa, lactasa, sacarasa, per processar els sucres; tripsina i quimiotripsina també són agregades a l’intestí prim.
L’absorció de la majoria dels nutrients es fa a l’intestí prim. Quan el nivell d’acidesa canvia a l’intestí, s’activen més enzims per trencar l’estructura molecular dels diversos nutrients de manera que es puguin absorbir en els sistemes circulatori i limfàtic.
Els nutrients passen a través de la paret de l’intestí prim, que conté petites estructures semblants a dits anomenades vellositats, cadascuna de les quals està coberta per estructures encara més petites, semblants a cabells, anomenades microvellositats (vegeu la figura).
La sang que ha absorbit els nutrients és portada a través de la vena porta hepàtica fins al fetge, per la seva filtració, remoció de toxines i processament dels nutrients. La vena porta està formada per la vena mesentèrica superior, la vena mesentèrica inferior i la vena esplènica (vegeu la figura). Porten nutrients de l’intestí cap al fetge.
Els greixos són absorbits per vasos limfàtics, que finalment drenen a les venes subclàvies (vegeu la figura).
L’intestí prim i la resta del tracte digestiu realitza peristaltisme per transportar els aliments des de l’estómac fins al recte i permetre que es barregin amb els sucs digestius i siguin absorbits.
Els músculs circulars i longitudinals són músculs antagonistes: quan un es contreu l’altre es relaxa. Quan els músculs circulars es contreuen, el lumen es fa més estret i llarg i el menjar és espremut i empès cap endavant. Quan els músculs longitudinals es contrauen, els músculs circulars es relaxen i l’intestí es dilata i es torna més ampli i curt per permetre que els aliments entrin.
Un cop els aliments transformats en productes de la digestió han passat a través de l’intestí prim i s’ha realitzat l’absorció i transport dels nutrients, el menjar entra a l’intestí gros.
Absorció i transport dels nutrients
La mucosa intestinal va absorbint els productes de la digestió, que són els nutrients. L’absorció intestinal al nivell de l’intestí prim es fa a través de vellositats intestinals primes, les quals absorbeixen el quim (barreja alimentària líquida):
- A l’intestí prim s’absorbeixen proteïnes, lípids i glúcids.
- A l’intestí gruixut, s’acaben d’absorbir tots els nutrients que no s’han absorbit a l’intestí prim, com aigua i electròlits.
Els nutrients absorbits travessen la mucosa i passen a la sang i són distribuïts a altres parts del cos per emmagatzemar-los o perquè passin per altres modificacions químiques. Aquesta part del procés varia depenent dels diferents tipus de nutrients:
- Glúcids (hidrats de carboni). Molt sovint, els aliments portadors de glúcids contenen al mateix temps midó, que és digerible, i fibra, que no ho és.
- Els hidrats de carboni digeribles es descomponen en molècules més senzilles per l’acció dels enzims de la saliva, del suc pancreàtic i de la mucosa intestinal.
- El midó es digereix en dues etapes: primer, un enzim de la saliva (amilasa) i del suc pancreàtic (amilasa pancreàtica) ho descompon en molècules de maltosa; després, la maltasa, un enzim de la mucosa de l’intestí prim, divideix la maltosa en molècules de glucosa que poden absorbir-se en la sang. La glucosa és transportada pel torrent sanguini fins al fetge, on s’emmagatzema en forma de glucogen.
- El sucre, constituït en la seva major part per sacarosa, és digerit per un enzim de la mucosa de l’intestí prim anomenada sacarasa, que el converteix en glucosa i fructosa, cadascuna de les quals pot absorbir-se en l’intestí i passar a la sang.
- La llet conté lactosa, un altre tipus de sucre que es transforma en molècules fàcils d’absorbir (glucosa i galactosa), mitjançant l’acció d’un enzim anomenat lactasa; que es troba a la mucosa intestinal.
- Proteïnes. Les proteïnes són molècules grans que han de ser descompostes per enzims abans que es puguin utilitzar per fabricar i reparar els teixits del cos. Un enzim del suc gàstric (pepsina) comença la digestió de les proteïnes ingerides. El procés acaba a l’intestí prim. Allà, diversos enzims del suc pancreàtic i de la mucosa intestinal descomponen les molècules grans en unes de molt més petites, anomenades aminoàcids. Aquests poden absorbir-se en l’intestí prim i passar a la sang, que els porta a tot arreu del cos per fabricar les parets cel·lulars i altres components de les cèl·lules.
- Greixos. El primer pas en la digestió d’un greix és dissoldre’l en el contingut aquós de l’intestí. Els àcids biliars de la bilis produïts pel fetge actuen com a detergents naturals que dissolen els greixos en aigua i permeten que els enzims descomponguin les seves grans molècules en molècules més petites; algunes de les quals són els àcids grassos i també el colesterol. Els àcids grassos i el colesterol passen a l’interior de les cèl·lules de la mucosa i d’aquí als vasos limfàtics propers a l’intestí. Aquests vasos porten els greixos fins als conductes limfàtics que drenen a les venes subclàvia i cava del tòrax i la sang les transporta cap als llocs de dipòsit en diferents parts del cos (vegeu la figura).
- Vitamines. Altres integrants fonamentals del nostre menjar absorbits a l’intestí prim són les vitamines. Aquestes substàncies químiques s’agrupen en dues classes, segons el líquid en el qual es dissolen: hidrosolubles (totes les vitamines del complex B i la vitamina C) i liposolubles (les vitamines A, D i K).
- Aigua i sal. La majoria del material que absorbeix l’intestí gros és aigua, en la qual hi ha sal dissolta. L’aigua i la sal venen dels aliments i líquids que consumim, i dels sucs que les glàndules digestives secreten.
Activitat del còlon
Els productes alimentaris que no poden anar a través de les vellositats, com ara la cel·lulosa (fibra dietètica), són barrejats amb altres productes de rebuig de l’organisme i constitueixen la femta.
L’intestí gros acull més de 700 espècies de bacteris que desenvolupen diverses funcions, la diversitat d’espècies varia segons la geografia i la dieta. L’intestí gros absorbeix alguns dels productes formats pels bacteris que habiten aquesta regió, concretament els polisacàrids no digerits són metabolitzats en àcids grassos de cadena curta per bacteris de l’intestí gros i absorbits per difusió passiva.
Aquests bacteris també produeixen grans quantitats de vitamines, especialment vitamina K i biotina (una vitamina B), per l’absorció a la sang. Tot i aquesta font de vitamines, és una producció que només ofereix una petita part dels requeriments diaris; però aporta una contribució important quan la ingesta dietètica de vitamines és baixa.
Altres productes bacterians inclouen gas, que és una barreja de nitrogen i diòxid de carboni, amb petites quantitats d’hidrogen, metà i sulfur d’hidrogen. La fermentació bacteriana de polisacàrids sense digerir produeix aquests darrers. Aquesta flora normal no patògena, que resideix a l’intestí, també és essencial en el desenvolupament del sistema limfàtic. Els bacteris també estan implicats en la producció d’anticossos.
Els anticossos són produïts pel sistema immunitari contra la flora normal, i són també eficaços contra els patògens relacionats, prevenint així la infecció o la invasió. A banda, una capa de mucositat protegeix l’intestí gros dels atacs de bacteris de còlon.
Regulació de la digestió
Una característica fascinant de l’aparell digestiu és que conté els seus propis reguladors. Durant la digestió distingim dos tipus de regulació: l’hormonal i la produïda pel sistema nerviós.
Pel que fa a la regulació hormonal, les principals hormones que controlen les funcions de l’aparell digestiu es produeixen i alliberen a partir de cèl·lules de la mucosa de l’estómac i l’intestí prim. Aquestes hormones passen a la sang que rega l’aparell digestiu, van fins al cor, circulen per les artèries i tornen a l’aparell digestiu, on estimulen la producció dels sucs digestius i provoquen el moviment dels òrgans. Les hormones que controlen la digestió són la gastrina, la secretina i la colecistocinina:
- La gastrina fa que l’estómac produeixi àcid clorhídric, que dissol i digereix alguns aliments. És necessària també per al creixement normal de la mucosa de l’estómac, l’intestí prim i el còlon. És a l’estómac i estimula les glàndules gàstriques per secretar pepsinogen (una forma inactiva de pepsina) i àcid clorhídric. La secreció de gastrina és estimulada per l’arribada del menjar a l’estómac. La secreció és inhibida pel pH baix.
- La secretina fa que el pàncrees secreti un suc digestiu ric en hidrogen carbonat. Estimula l’estómac perquè produeixi pepsina, un enzim que digereix les proteïnes, i el fetge perquè produeixi bilis. El pèptid inhibidor gàstric (GIP) és un membre de la família d’hormones secretina. El GIP és al duodè i disminueix l’agitació a l’estómac per alentir el buidament gàstric; una altra funció que té és la inducció de la secreció d’insulina.
- La colecistocinina fa que el pàncrees creixi i produeixi els enzims del suc pancreàtic, i fa que la vesícula biliar es buidi (el GIP alenteix aquest buidatge). És al duodè i aquesta hormona és secretada en resposta al greix del quim.
Pel que fa als reguladors nerviosos, hi ha dues classes de nervis que ajuden a controlar el treball de l’aparell digestiu, els nervis extrínsecs i els nervis intrínsecs:
- Els nervis extrínsecs (de fora) arriben als òrgans digestius des del cervell o des de la medul·la espinal i provoquen l’alliberament de dues substàncies químiques: l’acetilcolina i l’adrenalina:
- L’acetilcolina fa que els músculs dels òrgans digestius es contreguin amb més força i empenyin millor els aliments i líquids a través del tracte digestiu. També fa que l’estómac i el pàncrees produeixin més sucs.
- L’adrenalina relaxa el múscul de l’estómac i dels intestins i disminueix el flux de sang que arriba a aquests òrgans.
- Els nervis intrínsecs (de dins), que formen una xarxa densa incrustada a les parets de l’esòfag, l’estómac, l’intestí prim i el còlon, són encara més importants. L’acció d’aquests nervis es desencadena quan les parets dels òrgans buits s’estiren amb la presència dels aliments. Acceleren o retarden el moviment dels aliments i la producció de sucs en els òrgans digestius.
Fases de la digestió
La digestió comprèn tres fases:
- Fase cefàlica: aquesta fase ocorre abans que els aliments entrin a l’estómac i involucra la preparació de l’organisme per al consum i la digestió. La vista i el pensament estimulen l’escorça cerebral. Els estímuls al gust i l’olor són enviats a l’hipotàlem i la medul·la espinal. Després d’això, són enviats a través del nervi vague.
- Fase gàstrica: aquesta fase necessita de tres a quatre hores. És estimulada per la distensió de l’estómac i el pH àcid. La distensió activa els reflexos llargs i mientèrics. Això activa l’alliberament d’acetilcolina, que estimula l’alliberament de més sucs gàstrics. Quan les proteïnes entren a l’estómac, uneixen ions d’hidrogen, la qual cosa disminueix el pH de l’estómac fins a un nivell àcid (el valor del PH va de 0 a 14, en què 0 és el nivell més àcid i 14 el més bàsic). Això dispara les cèl·lules G perquè alliberin gastrina, que, per la seva banda, estimula les cèl·lules parietals perquè secretin HCl. La producció d’HCl també és desencadenada per l’acetilcolina i la histamina.
- Fase intestinal: aquesta fase té dues parts, l’excitatòria i la inhibitòria. Els aliments parcialment digerits omplen el duodè. Això desencadena l’alliberament de gastrina intestinal. El reflex enterogàstric inhibeix el nucli vague, activant les fibres simpàtiques, i fent que l’esfínter pilòric s’estrenyi per prevenir l’entrada de més menjar, inhibint els reflexos.
Patologia aparell digestiu
Hi ha moltes malalties i condicions que poden afectar el sistema gastrointestinal, incloses infeccions, inflamacions i càncer. La gastroenterologia és la branca de la medicina centrada en el sistema digestiu i els seus trastorns.
Les malalties que afecten el tracte gastrointestinal, que inclouen els òrgans de la boca a l’anus, al llarg del tub alimentari, són el focus d’aquesta especialitat. En aquest sentit, l’hepatologia inclou l’estudi del fetge, el pàncrees i l’arbre biliar. Tot i que formen part anatòmica del tracte gastrointestinal, les malalties de la boca sovint no es consideren juntament amb d’altres malalties gastrointestinals.
Patologia esofàgica
Les malalties de l’esòfag poden derivar de condicions congènites, o poden adquirir-se més endavant. A continuació, es descriuen malalties i afeccions addicionals que afecten l’esòfag:
- L’acalàsia consisteix en la incapacitat per relaxar les fibres de múscul llis de l’aparell gastrointestinal en qualsevol lloc d’unió d’una part amb una altra. Es diu, especialment, de l’acalàsia esofàgica, o la incapacitat de l’esfínter gastroesofàgic per relaxar-se al deglutir, per degeneració de les cèl·lules ganglionars a la paret de l’òrgan. L’esòfag toràcic també perd l’activitat peristàltica normal i es torna dilatada produint un megaesòfag (vegeu la figura).
- L’esòfag de Barrett és una condició adquirida de l’esòfag en la qual el recobriment normal de la porció terminal de l’esòfag (epiteli escamós estratificat) és substituït per un metaplàsic (epiteli cilíndric). La causa s’associa a l’exposició de la mucosa de l’esòfag a l’àcid, producte d’un reflux gastroesofàgic prolongat. Es considera un trastorn premaligne, per estar associat a un cert risc de càncer de l’esòfag.
- Una hèrnia hiatal, hèrnia de hiat o hèrnia de hiatus és la protrusió (o hèrnia) de la part superior de l’estómac al tòrax a través d’un esquinçament o debilitat en el diafragma; és, per tant, una hèrnia diafragmàtica.
A la figura podeu veure un diagrama esquemàtic dels diferents tipus d’hèrnia de hiat: en verd l’esòfag, en vermell l’estómac, de porpra el diafragma, en blau l’angle esofagogàstric; A) és l’anatomia normal, B) és una etapa prèvia, C) és una hèrnia hiatal lliscant, i D) és una hèrnia hiatal paraesofàgica.
Patologia d'estómac
La gastritis és la inflamació de la mucosa gàstrica. Depenent de la inflamació existent a la mucosa s’ha classificat com a gastritis erosiva i no erosiva, en funció del temps d’evolució. També es classifica en aguda i crònica, on a més hi ha cert grau d’atròfia i disminució de la digestió d’aliments. En aquesta s’aprecia si és només una part de l’estómac que està afectada o tota l’esfera gàstrica. Són diverses les causes, com ara els mals hàbits alimentaris, l’estrès, l’abús en el consum d’analgèsics (aspirina, piroxicam, indometacina, ketoprofèn…), trastorns autoimmunes com la malaltia celíaca, o la infecció per Helicobacter pylori.
D’altra banda, s’entén per dispèpsia l’existència d’algun símptoma que es consideri provinent de l’aparell digestiu i afecti la meitat superior de l’abdomen. Pot manifestar-se com a dolor ocasional, nàusees, vòmits, malestar difús o sensació de cremor (pirosi).
Una úlcera pèptica (UP) és un defecte o lesió de la mucosa gastrointestinal que es perpetua com a conseqüència de l’activitat acidopèptica. Les àrees de localització són fonamentalment l’estómac i el bulb duodenal.
Finalment, tenim el càncer d’estómac. Més del 90% dels tumors d’estómac són adenocarcinoma gàstric (AG), provocat per una complexa interacció entre la infecció per Helicobacter pylori, l’alimentació i la predisposició genètica.
Patologia intestinal
Les malalties inflamatòries intestinals abasten un grup de trastorns inflamatoris crònics d’origen autoimmune i etiologia desconeguda que afecten principalment l’intestí, encara que no de forma exclusiva. Actualment, s’engloben en aquest concepte les següents malalties:
- Colitis ulcerosa: és una malaltia que afecta la mucosa del còlon. El seu principal símptoma és la rectoràgia.
- Malaltia de Crohn: és una malaltia transmural que pot afectar qualsevol tram de l’intestí, encara que es localitza més freqüentment a l’ili. Els seus símptomes habituals són la diarrea i/o el dolor abdominal (vegeu la figura).
- Síndromes de malabsorció: des d’un punt de vista fisiopatològic, la malabsorció es defineix quan el defecte primari resideix en la mucosa intestinal. Als països subdesenvolupats, les causes més freqüents de malabsorció són les parasitosis, l’esprue tropical i la síndrome d’immunodeficiència adquirida (sida). Dins de les malalties que afecten l’intestí, les causes de malabsorció més freqüents en països occidentals són principalment la malaltia de Crohn, la malaltia celíaca, el sobrecreixement bacterià, la síndrome d’immunodeficiència adquirida, la síndrome de l’intestí curt, la tuberculosi intestinal, la malaltia immunoproliferativa de l’intestí prim i la giardiosi.
- Malaltia celíaca: no és una malaltia únicament digestiva, sinó un procés de naturalesa autoimmune que afecta l’intestí i diversos òrgans i sistemes, de difícil diagnòstic. És produïda per una intolerància permanent al gluten, en persones amb predisposició genètica.
- Síndrome de l’intestí irritable: conjunt de trastorns funcionals de l’intestí que es caracteritzen per la presència d’episodis recurrents de dolor abdominal, molèsties acompanyades d’inflor abdominal i alteracions en la freqüència i/o en la consistència de les deposicions; els factors psicològics poden contribuir al deteriorament de la qualitat de vida.
- Intolerància a la lactosa: conjunt de símptomes que apareixen després de la ingestió de lactosa (el sucre de la llet), com ara dolor abdominal, distensió, borborigmes, diarrea i fins i tot estrenyiment. És conseqüència d’una deficiència de lactasa (l’enzim que digereix la lactosa).
- Infart intestinal: es produeix quan un segment de l’intestí queda privat del seu flux de sang. Es deu a arterioesclerosi, coàguls de sang (trombes) en un vas sanguini, obstrucció de la circulació sanguínia o presència d’un èmbol (porció d’un coàgul) que procedeix d’una altra part del cos i que s’allotja en una artèria intestinal.
- Hèrnia: una porció de l’intestí protrueix per un sector feble de la paret abdominal. En funció de la seva localització pot ser hèrnia umbilical, hèrnia inguinal o hèrnia crural.
- Diverticulosi o malaltia diverticular: fa referència a la presència de diverticles a la paret del còlon. Aquest concepte s’ha de diferenciar de la diverticulitis, que és la inflamació i infecció dels diverticles. Aquesta patologia consisteix en la formació de petits sacs, majoritàriament al còlon, que es troben a tot el tracte digestiu. Un sac individual té el nom de diverticle (vegeu la figura).
- Apendicitis: és la inflamació de l’apèndix, primera part del còlon ascendent. El malalt sent dolor quan es pressiona aquest punt i experimenta febre lleu, nàusea, vòmit i constipació (rarament diarrea). El dolor que es presenta en un quadre d’apendicitis és fàcilment localitzable en un punt molt concret, anomenat punt de McBurney (vegeu la figura).
- Apendicitis epiploica o apendagitis: es produeix per torsió o trombosi del pedicle vascular d’un apèndix epiploic que resulta en isquèmia i infart. Clínicament pot simular un quadre agut d’apendicitis o diverticulitis; però té un curs autolimitat amb resolució espontània en un període de cinc a set dies.
- Pòlips del còlon. Els pòlips del còlon consisteixen en el creixement anòmal del teixit situat a la mucosa de l’intestí gros, cosa que provoca la formació d’un nòdul de major o menor grandària que sobresurt cap a la llum intestinal. Poden ser plans o tenir forma esfèrica. Hi ha molts tipus de pòlips, la major part són benignes, però alguns es consideren processos precancerosos (vegeu la figura).
- Càncer colorectal (càncer del còlon i el recte). Es desconeix la causa del càncer colorectal i no sempre produeix símptomes (vegeu la figura).
- Hemorroides: són venes varicoses de la membrana de revestiment de la regió anal, que augmenten de grandària a causa de la pressió interna.
Patologia hepàtica i de la vesícula biliar
L’hepatitis és una malaltia inflamatòria que afecta el fetge. La seva causa pot ser infecciosa (vírica, bacteriana), immunitària (per autoanticossos, hepatitis autoimmune) o tòxica (per exemple per alcohol, substància tòxiques o fàrmacs). També és considerada, depenent de la seva etiologia, una malaltia de transmissió sexual. Hi ha virus específics per a l’hepatitis (virus hepatotropos), és a dir, aquells que només provoquen hepatitis. Hi ha molts virus: A, B, C, D, E, F i G. Els més importants són els virus A, B, i C; en menor mesura, el D i l’E; i F i G són els últims que s’han descrit i els menys estudiats.
La cirrosi hepàtica és una malaltia del fetge caracteritzada per la substitució de teixit del fetge per fibrosi, cicatrius i nòduls de regeneració (protuberàncies que es produeixen com a resultat d’un procés en el qual es regenera el teixit danyat). La cirrosi és més comunament causada per l’alcoholisme, l’hepatitis B i C, i l’esteatosi hepàtica, però té moltes altres causes possibles, com ara l’hepatitis autoimmunitària, l’hemocromatosi o la malaltia de Wilson. Alguns casos són idiopàtics, és a dir, de causa desconeguda (vegeu la figura).
El càncer hepàtic és un tipus de càncer que actua sobre el fetge de dues maneres:
- Tumor primari, que són els tumors que s’originen al fetge i són bastants agressius.
- Tumors procedents d’altres òrgans. Les metàstasis són més freqüents que els tumors primaris. Les metàstasis hepàtiques es produeixen quan el tumor ha passat a la sang i emigren pels vasos sanguinis col·locant-se en el fetge.
El carcinoma hepatocel·lular (CHC) o hepatocarcinoma és un càncer del fetge que constitueix el 80-90% dels tumors hepàtics malignes primaris. La seva incidència és més freqüent en els homes que en les dones, generalment en persones entre els cinquanta i els seixanta anys d’edat.
La litiasi biliar és la formació de petits càlculs a la vesícula biliar o els conductes biliars. Pot provocar complicacions, entre altres colecistitis i pancreatitis. La colecistitis és la inflamació de la vesícula biliar, generalment causada per un càlcul que s’allotja en el conducte biliar.
Patologia del pàncrees
La pancreatitis és la inflamació del pàncrees. Ocorre quan els enzims pancreàtics (especialment la tripsina), que digereixen el menjar, s’activen al pàncrees en lloc de fer-ho a l’intestí prim. La inflamació pot ser sobtada (aguda) o progressiva (crònica).
La pancreatitis aguda és una complicació de la litiasi biliar, l’alcoholisme, traumatismes mecànics, úlcera pèptica perforada, virus de la parotiditis i nombrosos medicaments. Els símptomes inclouen dolor fort a la part superior de l’abdomen i a l’esquena, nàusea, vòmits, febre i icterícia si el conducte biliar està afectat. El malalt pot experimentar descens de la pressió sanguínia i xoc.
La pancreatitis crònica s’associa comunament amb l’alcoholisme crònic. També pot ser el resultat d’atacs repetits de pancreatitis aguda, malaltia de la vesícula, obstrucció del conducte pancreàtic, ferida, pancreatitis familiar, medicaments i causes desconegudes.
El càncer de pàncrees és una de les formes de càncer menys favorable, perquè la seva taxa de supervivència, fins i tot després del tractament, és de menys de l’1%.
Valoració de la necessitat de menjar, beure i eliminació digestiva
La valoració de la necessitat d’eliminació urinària s’inclou dintre de la primera fase del procés d’atenció d’infermeria (PAI); abans del diagnòstic (vegeu la figura). Valorar aquestes necessitats porta a fer:
- Diagnòstic de les necessitats; en aquest cas de la necessitat de menjar beure i eliminació digestiva del pacient.
- Execució del pla de cures d’infermeria; en aquests casos, habitualment cal aplicar sondatge nasogàstric, rectal, ènemes, modificacions dietètiques, aplicar laxants, corregir deshidratació, malnutrició…
Els indicadors més comuns de la necessitat d’eliminar es recullen en els documents d’infermeria. A la figura teniu una mostra d’un d’aquests documents sobre la valoració del pacient, on hi destaquen els apartats relacionats amb l’alimentació i la hidratació, la necessitat d’eliminació i el temps d’activitat i repòs (blocs 2, 3 i 4).
Pel que fa a la necessitat Alimentació - Hidratació, cal parar atenció a:
- Dieta: tipus de dieta especial necessària segons l’estat del pacient.
- Estat nutricional: s’ha de marcar amb una X, si és normal o alterat, si és alterat s’ha de reflectir (hiper o hiponutrit) segons correspongui.
- Hidratació: s’ha de marcar amb una X si és normal o alterada, si és alterada s’ha de reflectir (hiper o hipohidratat) segons correspongui.
- Alimentació: s’ha de reflectir amb una X la casella “autònom” o “dependent” segons correspongui a la independència del pacient. En cas de ser dependent, haurà d’emplenar la casella corresponent a la via d’alimentació (exemple: enteral, parenteral).
- Alteracions digestives: s’han de reflectir les alteracions produïdes en l’aparell digestiu, relacionades amb l’alimentació (exemple: nàusees, vòmits, dificultat en la deglució, dificultat en la masticació, risc d’aspiració i altres). S’ha de marcar amb una X l’alteració, si n’hi ha, que correspon al pacient.
Pel que fa a la necessitat d’Eliminació, cal parar atenció a:
- Control d’esfínters: s’ha de marcar amb una X si hi ha o no control d’esfínters, assenyalant en vesical.
- Evacuació urinària: s’ha de marcar amb una X si el pacient és autònom o dependent, si utilitza falca, ampolla, si és portador de sonda, o altres si n’hi hagués.
- Observacions: aquest apartat s’ha d’emplenar si hi ha alguna alteració que no hagi quedat reflectida anteriorment.
Com podem veure aquí, a la documentació infermera de valoració del pacient apareixen diferents elements valorables en forma de signes o símptomes que identifiquen la necessitat d’alimentació en un pacient.
Exemples de símptomes que indiquen necessitats alimentàries
Després de fer la valoració inicial d’un pacient de la necessitat d’alimentació, s’observa que té com a símptomes:
- Canvis en el patró intestinal
- Sang vermella brillant en la femta
- Presència d’excrements pastosos en el recte
- Distensió abdominal
- Augment de la pressió abdominal
- Dolor durant la defecació
- Defecació dificultosa
- Disminució de la freqüència
- Eliminació d’excrements durs, secs i formats
- Massa rectal palpable
- Dolor abdominal
- Incapacitat per eliminar la femta
Es dedueix que presenta com a diagnòstic estrenyiment, i s’estableix l’objectiu de millorar l’eliminació intestinal i, finalment, es decideix aplicar-li un ènema (vegeu la figura):
- Codi diagnòstic NANDA. 00011 Restrenyiment.
- Noc Objectiu. 501 Eliminació intestinal. Recuperar el seu patró intestinal habitual.
- Cod. Nic Intervenció. 440 Entrenament intestinal
Exemples de valoració del pacient
Per veure més exemples de valoració del pacient, podeu consultar aquest enllaç: bit.ly/32GAd4g.
Principals signes o símptomes que identifiquen la necessitat d'alimentació, hidratació i eliminació digestiva
El tècnic en cures auxiliars d’infermeria (TCAI) ha de ser capaç de:
- Identificar les necessitats i demandes de menjar, beure i eliminació digestiva del pacient/client a partir de la història clínica, el pla de cures i la comunicació amb el pacient/client i acompanyants.
- Determinar el tipus d’atencions relacionades amb les necessitats de menjar, beure i eliminació digestiva que requereixen els pacients/clients, en funció de les seves necessitats, del grau de dependència i del pla de cures.
- Formalitzar gràfics, fulls de registre, fulls d’observacions i d’altres, a partir de les dades i resultats de l’observació i comunicació amb el pacient/client i acompanyants amb relació a les necessitats de menjar, beure i eliminació digestiva.
Alguns dels signes o símptomes que recullen els documents de valoració d’infermeria i que identifiquen la necessitat de menjar, beure i eliminació digestiva en un pacient més habitualment són: estrenyiment, tenesme rectal, diarrea, sons abdominals, dolor abdominal, nàusees, vòmits, disfàgia, odinofàgia, sialorrea, edemes, deshidratació, set, anorèxia/hiporèxia.
Malalties i trastorns de l'aparell digestiu
Si voleu saber-ne més sobre les malalties i els trastorns de l’aparell digestiu, podeu consultar el següent enllaç: bit.ly/354x3sP.
Restrenyiment
Entre els símptomes del restrenyiment trobem moviments intestinals poc freqüents o difícils de superar i la femta sol ser dura i seca. Altres símptomes poden incloure dolor abdominal, inflor i sensació d’evacuació intestinal incompleta. Les complicacions derivades del restrenyiment poden incloure hemorroides, i fissures anals.
El restrenyiment té moltes causes. Les causes més freqüents inclouen el moviment lent dels excrements al còlon, la síndrome de l’intestí irritable i els trastorns del sòl pelvià. Els medicaments associats al restrenyiment inclouen opioides, certs antiàcids, bloquejadors de canals de calci i anticolinèrgics. El restrenyiment és més rellevant quan hi ha pèrdua de pes o anèmia, hi ha sang als excrements, hi ha antecedents de malaltia inflamatòria intestinal o de càncer de còlon en la família d’una persona, o és nou (no hereditari) en algú que és més gran.
El tractament del restrenyiment depèn de la causa subjacent i de la durada en què ha estat present. Les mesures que poden ajudar inclouen beure prou líquids, menjar més fibra i fer exercici. Si no és eficaç, es poden recomanar laxants.
El tenesme rectal és un símptoma descrit com la sensació de necessitar defecar sense que desaparegui la sensació després de fer-ho. A més, a vegades resulta impossible defecar malgrat la sensació. La majoria de vegades, les deposicions són absents o molt escasses i fraccionades. Sol estar associat amb el restrenyiment. Aquest símptoma sol acompanyar les gastroenteritis, les proctitis i el càncer rectal.
Diarrea
La diarrea són femtes pastoses o líquides, tres o més vegades al dia. La diarrea aguda sol durar un o dos dies. A partir de dues setmanes es considera crònica, encara que els símptomes poden aparèixer i desaparèixer. La diarrea provoca una baixa absorció de líquids i nutrients, i pot estar acompanyada de dolor abdominal, febre, nàusees, vòmit, debilitat o disminució de la gana. A més de la gran pèrdua d’aigua que suposen les evacuacions diarreiques, els pacients, generalment nens, perden quantitats perilloses de sals importants, electròlits i altres nutrients. Depenent de l’etiologia, pot acompanyar-se de moc, pus o sang en la femta.
La diarrea pot ser infecciosa o no infecciosa:
- La infecciosa és la principal causa en entorns amb males condicions higienicosanitàries o escassetat d’aigua neta per beure, cuinar i rentar, com succeeix en països subdesenvolupats o en vies de desenvolupament. Està provocada per diversos bacteris, paràsits i virus.
- Les causes més freqüents de diarrea no infecciosa inclouen la malaltia celíaca, la sensibilitat al gluten no celíaca, al·lèrgies alimentàries, intoleràncies alimentàries (com la intolerància a la lactosa o la fructosa), la síndrome de l’intestí irritable, la malaltia inflamatòria intestinal, l’hipertiroïdisme i els efectes secundaris de certs medicaments.
Altres variacions en la femta
La melena és la presència d’excrements sanguinolents, producte del sagnat provinent de la part superior del tub digestiu, que abasta l’esòfag, l’estómac i la primera porció del duodè, prenent una coloració sovint referida com a “enquitranada”. La sang digerida a l’estómac fa que els excrements adquireixin un color negre.
La rectoràgia és un tipus d’hemorràgia que consisteix en la pèrdua de sang vermella o fresca a través de l’anus, bé sola o associada a la femta. L’origen d’aquest sagnat sol localitzar-se en el còlon descendent i en el recte.
L’esteatorrea és un tipus de diarrea caracteritzada per la presència de secrecions lipídiques en la femta fecal. En l’esteatorrea es poden trobar elements corresponents a lípids que no s’han metabolitzat bé a la via digestiva, cosa que es pot deure a diferents anormalitats en la capacitat absortiva del tracte.
L’acolia és la decoloració de la femta per falta de pigments biliars. Es dona per l’absència o disminució marcada de secrecions biliars a l’intestí prim (duodè) a través del colèdoc. Es dona principalment per obstrucció de les vies biliars.
Vòmits
El vòmit, també anomenat emesi, és l’expulsió violenta i espasmòdica del contingut de l’estómac a través de la boca. Pot aparèixer com a símptoma de moltes malalties no relacionades amb el vòmit, ni tan sols amb l’estómac (gastritis), com per exemple una patologia cerebral o ocular.
La sensació que es té just abans de vomitar (pròdrom) es diu nàusea, que pot precedir el vòmit o també pot aparèixer aïllada. El contingut gàstric expulsat és fortament àcid ja que conté àcid clorhídric (HCl), i també pot contenir restes de menjar. El contingut del vòmit pot ser útil a la clínica per orientar el diagnòstic.
Pel que fa als vòmits, distingirem entre:
- Hematemesi: és el vòmit que presenta sang procedent del tub digestiu alt (des de l’angle duodenojejunal fins a la boca).
- Vòmit biliós és el nom del vòmit que conté bilis producte de la contracció duodenal en cas d’estar acompanyat per arcades molt fortes.
- El vòmit fecaloide es caracteritza per contenir restes fosques, a causa d’una obstrucció intestinal o d’una fístula gastrocòlica.
Segons la coloració podem distingir:
- Vermell brillant suggereix una hemorràgia digestiva alta, com la de l’esòfag en pacients cirròtics.
- Vermell fosc suggereix una hemorràgia digestiva estomacal, com la produïda per una úlcera gàstrica.
- Marró suggereix una hemorràgia digestiva alta menys severa en la qual la sang s’ha barrejat amb l’àcid clorhídric estomacal el temps suficient per ser parcialment degradada.
- Groc suggereix la presència de bilis, indicant una obertura del pílor i que la bilis està fluint cap al lumen estomacal des del duodè (relativament comuna en ancians).
Disfàgia
Disfàgia és el terme tècnic per descriure el símptoma consistent en dificultat per la deglució (problemes per empassar). Normalment és un signe de malaltia subjacent de l’esòfag o dels òrgans veïns de l’esòfag, que pot ser deguda a reflux gastroesofàgic. Aquesta dificultat sol anar acompanyada de dolors (disfàgia dolorosa o odinofàgia).
L’odinofàgia és el terme mèdic per descriure el símptoma consistent en un mal de coll produït en empassar fluids, freqüentment com a conseqüència d’una inflamació de la mucosa esofàgica o dels músculs esofàgics. La intensitat del dolor pot ser des de lleu fins a sever. Depenent de la intensitat, pot arribar a produir disfàgia. D’altra banda, també podem trobar-nos amb casos de sialorrea (també anomenada ptialisme), que és l’excessiva producció de saliva.
Altres signes abdominals
Els borborigmes, també coneguts com a so de l’intestí, so peristàltic, són un soroll es produeix mitjançant el moviment dels continguts del tracte gastrointestinal, ja que són propulsats a través de l’intestí prim per una sèrie de músculs, contraccions anomenades peristaltisme. Es poden escoltar aquests sorolls intestinals amb un estetoscopi, però pot ser que siguin prou audible per sentir-los amb l’oïda neta a mesura que el fluid i el gas es mouen endavant en els intestins. La manca de sons intestinals és indicativa de l’ili, l’obstrucció intestinal o alguna altra patologia greu.
Dolor abdominal. El terme mèdic és abdominàlgia, mentre que el mal d’estómac en medicina es diu gastràlgia. L’abdominàlgia pot ser un dels símptomes associats a malestars passatgers o malalties serioses. Fer un diagnòstic definitiu de la causa del dolor abdominal pot ser difícil, ja que moltes malalties tenen aquest símptoma. El dolor abdominal la majoria de les vegades és benigne i/o autolimitat, però les causes més serioses poden requerir una intervenció urgent.
Un còlic és un tipus de dolor caracteritzat per dolor abdominal que varia d’intensitat en el temps, des de molt intens, opressiu, fins a gairebé desaparèixer, per tornar a augmentar d’intensitat. Es produeix per un augment, de vegades violent, dels moviments peristàltics de les vísceres buides de l’abdomen, i produeix un fort malestar.
Signes de l'homeòstasi de fluids corporals
Un edema és un signe clínic consistent en l’acumulació de líquid en l’espai tissular intercel·lular o intersticial. El terme hidropesia s’utilitza per designar l’acumulació de líquid en les cavitats de l’organisme. En aquest sentit, l’ascites és una acumulació de líquid en la cavitat peritoneal.
Les causes principals d’edema són la inflamació, insuficiència venosa, insuficiència cardíaca, insuficiència renal, cirrosi hepàtica, trombosi venosa, síndrome nefròtica, malnutrició, retenció de sodi.
En fisiologia, la deshidratació és un dèficit d’aigua corporal total. Es produeix quan la pèrdua d’aigua supera la ingesta d’aigua, normalment a causa de l’exercici físic, la malalties renals o la temperatura ambiental alta.
Una disminució de cinc a vuit per cent pot causar fatiga i marejos. La pèrdua de més del deu per cent de l’aigua total del cos pot causar deteriorament físic i mental, acompanyat de set intensa. La mort es produeix amb una pèrdua d’entre quinze i vint-i-cinc per cent de l’aigua del cos. La deshidratació lleu es caracteritza per la set i el malestar general i normalment es resol amb la rehidratació oral.
La deshidratació pot causar hipernatrèmia (nivells elevats de ions de sodi a la sang) i es distingeix de la hipovolèmia (pèrdua de volum sanguini, especialment plasma sanguini). La polidípsia és un símptoma en el qual el pacient mostra la set excessiva.
Signes relacionats amb l'alimentació
El terme anorèxia s’empra per descriure la inapetència o falta de gana, que pot ocórrer en circumstàncies molt diverses, com ara estats febrils, malalties generals i digestives o simplement en situacions transitòries de la vida quotidiana. L’anorèxia és, per tant, un símptoma que pot aparèixer en moltes malalties i no una malaltia en si mateixa. En canvi, el terme hiporèxia es refereix a la falta parcial de gana.




































