Anatomia, fisiologia i patologies del sistema osteomuscular
El sistema osteomuscular (locomotor, musculoesquelètic o osteoarticulomuscular) es descriu anatòmicament pel conjunt d’ossos, cartílags, articulacions, lligaments, músculs esquelètics i tendons, així com pel conjunt de vasos i nervis responsables de la vascularització i innervació, respectivament.
Funcionalment, proporciona la sustentació del cos, la protecció dels òrgans interns, l’execució del moviment, la reserva mineral de calci i de fòsfor, la producció de cèl·lules sanguínies o hematopoesi (a la medul·la òssia vermella), la reserva de triglicèrids (a la medul·la òssia groga) i la reserva d’una part de glucogen (al múscul).
És important destacar que el funcionament del sistema osteomuscular dins dels paràmetres d’equilibri (homeòstasi) només és possible per la coordinació d’aquest amb el sistema nerviós i endocrí principalment.
L’elevada prevalença del dolor crònic associat a patologia osteoarticulomuscular, especialment entre les persones en situació de dependència adultes grans, és un factor rellevant que han de tenir en compte els professionals responsables de l’atenció directa a l’hora de planificar i/o executar les possibles intervencions d’atenció física. En paral·lel, també és important no oblidar les lesions pròpies del professional associades a aquest sistema: les anomenades lesions musculoesquelètiques (LME).
Anatomia del sistema osteomuscular
La descripció anatòmica dona informació de les parts, forma, localització, orientació i relació entre els òrgans, sistemes i aparells. Per això s’utilitza una terminologia específica.
La terminologia anatòmica (TA) és el cos oficial de nomenclatura creat pel Comitè Internacional Federatiu de Terminologia Anatòmica (FICAT, en anglès: Federative International Comitee of Anatomycal Terminology) i desenes d’associacions internacionals d’anatomistes. Divideix les estructures anatòmiques del cos humà en les categories principals que s’indiquen a continuació:
- Plans, línies i regions anatòmiques
- Ossos: sistema esquelètic
- Articulacions: sistema articular
- Músculs: sistema muscular
La posició anatòmica de referència és la que descriu una persona dreta (posició erecta o dreta) amb cap i ulls mirant cap endavant, extremitats superiors esteses i amb els polzes apuntant cap als costats laterals dret i esquerre (palmells cap endavant) i extremitats inferiors juntes, amb els peus cap endavant, una mica separats, però amb els talons junts.
Plans, línies i regions anatòmiques
Els plans i les línies anatòmiques ajuden a entendre els moviments de les articulacions. Les regions anatòmiques permeten comprendre el cos humà tenint en compte les parts que tenen estructures i funcions semblants.
El pla parasagital (pla oblic) és un quart pla anatòmic diferent del sagital perquè és inclinat de costat a costat.
Abans de determinar els plans anatòmics, s’han d’identificar primer les línies o eixos anatòmics; són els que es descriuen a continuació i es poden veure amb detall a la figura:
- Vertical: també anomenat longitudinal, cefalocaudal o craniocaudal. Va de cap a peus. Determina l’alçada.
- Horitzontal: també anomenat laterolateral. Va de costat a costat, de dreta a esquerra. Determina l’amplada.
- Anteroposterior: també anomenat ventrodorsal (o dorsoventral). Determina la profunditat.

Els plans anatòmics són aquelles seccions o talls on la figura humana en posició anatòmica queda tallada. Corresponen als que es descriuen a continuació i es poden veure amb més detall també a la figura:
- Coronal o frontal: és un pla vertical que separa la posició anatòmica en l’eix anteroposterior, és a dir, separa la part davantera de la posterior.
- Sagital o lateral: és un pla vertical que separa la posició anatòmica en l’eix laterolateral, és a dir, separa el costat esquerre del dret.
- Transversal, axial o horitzontal: és un pla horitzontal que separa la posició anatòmica en seccions transversals o paral·leles a la superfície on es recolza la figura.
Les regions anatòmiques representen una divisió pràctica del cos humà que en facilita l’estudi, tal com es pot veure a la figura i a la figura:
- Cap: cara i crani
- Coll i tronc: coll, tòrax, abdomen i pelvis (regió abdominopelviana) i pubis
- Extremitats superiors (EESS): espatlla, braç, colze, avantbraç, canell i mà
- Extremitats inferiors (EEII): gluti, cuixa o regió femoral, genoll, cama, turmell i peu
Ossos: sistema esquelètic
El sistema esquelètic està format per 206 ossos aproximadament, que s’uneixen entre si en determinats punts d’articulació amb la intervenció dels lligaments. Comunament, es coneix com a esquelet i així es descriu a continuació.
Vegeu el detall de les regions i quadrants abdominopelvians a la secció “Annexos” del web de la unitat.
La classificació dels ossos segons la seva forma és la següent:
La part de l’anatomia que estudia els ossos és l’osteologia.
- Llargs: tenen més longitud que gruix o amplada. En són exemples els ossos llargs i tubulars de braços, cames i dits.
- Curts: tenen molt semblant la longitud, el gruix i l’amplada. En són exemples els ossos de canells i turmells.
- Plans: tenen més amplada que longitud o gruix. Es caracteritzen perquè tenen la capacitat de protegir estructures i tenir més teixit esponjós. En són exemples escàpules, estèrnum i alguns ossos del crani.
- Irregulars: no tenen una estructura definida. Són representants d’aquest grup les vèrtebres, alguns ossos de la pelvis, del crani i de la cara.
- Sesamoides: són ossos petits i arrodonits que s’insereixen en un tendó. La seva funció principal és actuar com a politja i, de vegades, de suport d’altres ossos. Es localitzen a les articulacions de la mà, cara posterior del genoll i peu.
- Pneumàtics: contenen una cavitat d’aire per disminuir el pes dels òrgans que contenen. La majoria es troben al crani. Comparteixen alguna de les característiques anteriors. Per exemple: el frontal és pneumàtic pla i l’esfenoide és pneumàtic irregular.
Per a una millor comprensió, podeu consultar el següent vídeo:
Per altra banda, trobem diverses parts de l’esquelet humà; se subdivideix en dos blocs: l’esquelet axial i l’esquelet apendicular.
Accidents ossis
Poden ser prominències (apòfisis) o depressions (orificis) i estar articulats o no articulats. Apareixen en determinades zones òssies i permeten l’adaptació estructural de tendons i lligaments, entre d’altres, en resposta a les tensions suportades.
L’esquelet axial està format pels ossos localitzats al voltant de l’eix vertical (en posició anatòmica) i es troba als ossos del cap, coll i tronc; vegeu la figura:
- Crani: ocupa una posició superior a la columna vertebral i és l’estructura que protegeix l’encèfal. Juntament amb els ossos de la cara, forma el cap. S’articula amb la columna vertebral a través d’un gran orifici, el foramen magnum, que es troba en una posició basal. Vegeu els ossos principals del crani en una visió lateral (esquerra), a la figura, i en una visió basal (part exterior), a la figura:
- Columna vertebral: formada per parts dures (vèrtebres) i toves o cartilaginoses (discs intervertebrals), determina l’eix del cos amb el crani, amb el qual s’articula a través de la primera vèrtebra (atles), i per la part posterior, amb les costelles i la pelvis. Estructuralment, es caracteritza per les regions en què es divideix, el nombre de vèrtebres d’aquestes i la curvatura que les identifica. Funcionalment, protegeix la medul·la espinal.
-

- Columna vertebral; visió lateral esquerra: nomenclatura vertebral i curvatures fisiològiques. Font:Wikimedia i contribució personal.
Nomenclatura vertebral
Serveix per a la localització de cada vèrtebra i correspon a la primera lletra de la regió i un número que indica la posició que hi ocupa.
- Costelles: són un total de 12 parells, 12 costelles a cada hemotòrax (dret i esquerre). Funcionalment, juntament amb l’estèrnum, protegeixen els òrgans vitals del tòrax. Es classifiquen tal com es pot veure a continuació:
- 7 parells de costelles veritables (del parell I al VII). S’uneixen directament a l’estèrnum a través dels cartílags costals.
- 3 parells de costelles falses (del parell VIII al X). S’uneixen a l’estèrnum de manera indirecta a través dels seus propis cartílags costals al cartílag costal del parell VII.
- 2 parells de costelles flotants que no s’uneixen a cap estructura (ni òssia, ni cartilaginosa) per la part anterior.
- Estèrnum: és un os únic localitzat a la part anterior, proximal i medial del tronc i a ell s’uneixen les 2 clavícules i els 7 primers parells de costelles. S’hi diferencien 3 regions anatòmiques:
- Manubri (on es troba l’escotadura jugular)
- Cos (on es localitzen els 7 parells de punts d’articulacions costals)
- Apòfisi xifoide
-

- Costelles i estèrnum; hemotòrax dret; visió lateral: costelles veritables (vermell), falses (en verd) i flotants (blau). Font:Wikimedia.
D’altra banda, l’esquelet apendicular està format per la resta d’ossos que queden exclosos de l’esquelet axial, al qual s’articula; permet el moviment de màxima amplitud del cos. Les seves parts es poden veure a la figura i són les següents:
- Cintura escapular: localitzada a la part superior del tronc, està formada per dues escàpules (dreta i esquerra), que ocupen la part posterior, i dues clavícules, que s’estenen des de l’estèrnum fins a l’acromi de cada escàpula en direcció obliqua lateral i posterior a cadascun dels dos hemotòraxs. Juntament amb els músculs associats, forma cadascuna de les dues espatlles (vegeu la figura).
- Extremitats superiors (ES): cadascuna d’elles, articulades amb la cintura escapular, estan formades pels ossos següents en sentit apical-caudal: húmer, radi, cúbit i ossos de la mà (carps, metacarps i falanges). Estan formades per l’articulació de l’espatlla, el colze, el canell i cadascuna de les articulacions dels dits de la mà. Juntament amb els músculs associats, formen les espatlles, els braços, els avantbraços i les mans (amb els cinc dits). (Vegeu la figura i figura).

- Cintura pelviana: formada per dos ossos coxals o ossos ilíacs que s’uneixen al sacre (per l’articulació sacroilíaca) i als dos fèmurs (articulació dels malucs), a través d’un espai d’inserció, l’acetàbul. Cada coxal es projecta anteriorment (per donar lloc al pubis –amb el punt articular de la símfisi púbica) i posteriorment per conformar l’isqui. Longitudinalment, s’eixampla a la part més apical i forma l’ili amb una curvatura típica que rep el nom de cresta ilíaca i limita la fossa ilíaca (la part més ampla de l’ili). Juntament amb els ossos sacre i còccix, i la musculatura de la regió, formen la pelvis i el pubis.
-

- Cintura pelviana i EI dreta.
- Extremitats inferiors (EEII): cadascuna d’elles s’articula als malucs i està formada pels ossos següents, en sentit apical-caudal: fèmur, ròtula, tíbia, peroné i ossos del peu. Estan articulades al maluc, genoll, turmell i dits dels peus. Juntament amb la musculatura associada, formen els glutis, les cuixes, les cames i els peus (amb els cinc dits). (Vegeu la figura i figura).
Articulacions: sistema articular
Les articulacions són les unions entre dues estructures anatòmiques que poden ser una de les següents:
La part de l’anatomia que estudia les articulacions s’anomena artrologia o sindesmologia.
- Dos ossos
- Un os i teixit cartilaginós
- Un os i una dent
Les articulacions són estabilitzades pels lligaments, que són fibres de teixit conjuntiu que uneixen ossos entre si per permetre el moviment dins d’uns límits, la qual cosa, si aquests no se sobrepassen, evita lesions, com ara les luxacions.
Membrana sinovial
És la capa de teixit conjuntiu que recobreix una articulació sinovial o diartrosi, com l’espatlla, el genoll o el turmell.
Els diversos grups d’articulacions apareixen com a estructures molt simples al cap, es desenvolupen al tronc i acaben exhibint un grau màxim de complexitat a les extremitats.
Parts d’una articulació. Anatòmicament, una articulació està formada per tres parts:
- Superfícies òssies, dures.
- Estructures interòssies, toves.
- Estructures perifèriques, toves.
Classificació de les articulacions. Les articulacions es classifiquen, en funció de la seva estructura i grau de mobilitat, en quatre grups que es resumeixen de la manera següent i es poden veure a la figura:
- Fibroses o sinartrosi: unió per lligament amb poca o nul·la mobilitat, com ara les sutures entre els ossos del crani i dels maxil·lars.
- Cartilaginoses o amfiartrosi: unió per cartílag amb poca variació de moviment, com ara les unions epífisi-metàfisi-diàfisi, símfisi púbica, discs intervertebrals, costelles amb cartílags costals.
- Sinovials o diartrosi: unió per càpsula articular (cartílag hialí, càpsula articular, lligament, líquid sinovial i membrana sinovial); vegeu la figura. Són altament mòbils. Poden ser de diversos tipus i en són exemples l’articulació entre les vèrtebres C1 i C2, entre el coxal i el fèmur, genoll, dits, colzes, canells i turmells.
- Sissarcosi: és un quart tipus d’articulació, especial en tant que uneix un os amb un múscul i és propi o únic de l’articulació de l’escàpula en relació amb l’esquelet axial a nivell de la regió interescapular.
Músculs: sistema muscular
El cos humà està format per més de 600 músculs esquelètics que s’uneixen als ossos a través dels tendons, directament o indirecta. Una mitjana del 50% del pes del nostre cos és múscul. El nutrient de reserva que li proporciona energia constant per dur a terme les seves funcions de contracció és el glucogen.
Glucogen
El glucogen és la manera en què la glucosa (nutrient energètic) s’emmagatzema al nostre cos al múscul (en poca proporció) i al fetge.
El sistema muscular, juntament amb la col·laboració del sistema nerviós i osteoarticular, possibilita els moviments i l’estabilitat del cos, regula el volum dels òrgans, mobilitza substàncies dins del cos i proporciona energia, alliberant calor.
Els músculs es poden classificar de diverses maneres:
- Segons la possibilitat de moviment
- Segons la forma i la disposició
- En funció de l’acció en grup
- En funció de la seva localització
Classificació segons la possibilitat de moviment
Els músculs permeten realitzar moviments en diversos eixos o línies anatòmiques. En funció d’això, es representen algunes parelles musculars de moviment oposat. Vegeu la taula:
| Flexor | Extensor | |
| Flexiona un membre a través d’una articulació. | Estén un membre a través d’una articulació. | |
| Supinador | Pronador | |
| Rota cap a l’exterior en l’eix vertical. | Rota cap a l’interior en l’eix vertical. | |
| Abductor | Adductor | |
| Separa del pla de referència en l’eix coronal. | Apropa al pla de referència en l’eix coronal. |
El tendó d'Aquil·les

El tendó d’Aquil·les uneix el múscul tríceps sural amb l’os calcani del tars del peu i permet la flexió plantar, i és indispensable per a la marxa.
Font: Wikipedia.
Classificació segons la forma i la disposició
Segons la seva forma i disposició, els músculs es poden classificar tal com s’indica a continuació:
- Plans: de base plana, com pectorals.
- Curts: de poca longitud, com facials i cranials.
- Amples: gran diàmetre, com el dorsal.
- Fusiformes o allargats: són estrets als extrems, com bíceps i tríceps.
- Unipenniformes: forma de mitja ploma, neixen del lateral d’un tendó, com l’extensor dels dits dels peus.
- Bipenniformes: forma de ploma, neixen del centre d’un tendó, com el recte femoral.
- Multipenniformes: les fibres surten, a la vegada, de tendons diferents, com deltoides.
- Digàstrics: amb dos ventres musculars, com el que s’estén des de la base del crani fins al hioide i des d’aquest a la mandíbula.
- Poligàstrics: diversos ventres musculars recoberts per una fàscia, com els rectes de l’abdomen.
- Bíceps: amb un extrem que s’insereix dins l’os.
- Tríceps: igual que el bíceps, però l’altre extrem es divideix en tres quan s’insereix dins l’os, com el tríceps braquial.
- Quàdriceps: igual que els dos anteriors, però són quatre els tendons invertits de forma individual, com el quàdriceps femoral.
Classificació dels músculs en funció de l’acció en grup
Els músculs es classifiquen en funció de la relació entre ells en tres tipus:
- Antagonistes: tenen efecte contrari, quan un es contrau, l’altre es relaxa, i viceversa. Exemples: bíceps i tríceps del braç.
- Agonistes: treballen a l’uníson. És a dir, tots es relaxen o tots es contrauen. Exemple: quàdriceps i isquiotibials de la cuixa.
- Sinèrgics: contribueixen a la immobilització de les articulacions veïnes. També s’anomenen estabilitzadors. En són exemples tots els antagonistes que intervenen en l’extensió del genoll, popliti, sartori i plantar.
Classificació dels músculs en funció de la seva localització
Els músculs principals en les diferents parts del cos es presenten a la figura i a la figura, i es classifiquen en relació amb les regions anatòmiques.
Fisiologia del sistema osteomuscular
La fisiologia del sistema osteomuscular és la que descriu el funcionament dels ossos i cartílags, articulacions i músculs, per separat, o bé en global, de manera coordinada, juntament amb la col·laboració del sistema nerviós, entre d’altres. Trobem dos grans grups: fisiologia del sistema esquelètic i articular i fisiologia del sistema muscular.
Fisiologia del sistema esquelètic i articular
El sistema esquelètic, estructuralment està format per teixits connectius especialitzats, com ara l’os i el cartílag. A continuació se’n detallen les característiques principals:
- Teixit ossi compacte: es localitza a la perifèria de l’os i a la diàfisi dels ossos llargs. És on es troba la unitat funcional de l’os, l’osteona.
- Teixit ossi esponjós: també s’anomena teixit ossi trabecular. És on es troba la medul·la òssia. Es localitza als extrems (epífisis) dels ossos llargs, interior de les vèrtebres i ossos plans com les costelles, els ossos del crani, ossos coxals (malucs) i l’estèrnum.
- Teixit cartilaginós: els ossos acostumen a estar associats a cartílags, estructures toves que donen elasticitat a l’esquelet. Es caracteritza per prescindir de vascularització. Dels tres tipus de teixit cartilaginós, es descriuen els dos relacionats amb l’esquelet:
- Hialí: és el més abundant i el que forma l’esquelet temporal de l’embrió. Quan es parla de lesió i/o patologia del cartílag (condropatia), es parla d’aquest tipus de cartílag. Es localitza en l’aparell respiratori, costelles i extrems articulars.
- Fibrós o fibrocartilaginós: és el cartílag de transició. Es localitza en la intersecció de tendons i lligaments, com ara la símfisi púbica, els discs intervertebrals, la mandíbula i el menisc del genoll.
Estructura dels ossos llargs
Els ossos llargs tenen una estructura complexa. És important reflexionar sobre com és d’indispensable aquest sistema, no només per la seva competència motora, sinó per a la supervivència de l’individu; vegeu la figura:
Composició, formació, creixement, reparació i envelliment ossi
L’os és un teixit viu format per col·lagen, aigua, sals minerals (fosfat de calci, principalment) i cèl·lules (osteones, en estat madur):
La medul·la òssia
Vegeu el següent enllaç per tenir més informació sobre la medul·la òssia: tinyurl.com/yhbo7ew4.
Els nivells normals de calci en sang s’anomenen calcèmia i es controlen hormonalment.
- La formació de l’os pot ser directa (sense formació prèvia de cartílag). És l’ossificació més complexa que té lloc en l’etapa embrionària i és característica d’ossos com escàpules, pelvis i mandíbula. Això no obstant, també pot ser una formació indirecta, a partir d’un motlle de cartílag, i en són exemples els ossos llargs de les extremitats.
- El creixement dels ossos s’inicia en la vida embrionària i progressa fins a la pubertat, i és asincrònic entre noies i nois. Té lloc en longitud, quan s’afegeix os a la placa de creixement o fisi (entre les epífisis i diàfisi d’un os llarg) i també en gruix. Es regula a nivell endocrí (sistema hormonal) i metabòlic per les vitamines, com ara les liposolubles, A, D i K, i les hidrosolubles, B12 i C.
- La reparació del teixit ossi té lloc en quatre fases, que són les següents:
- Formació d’un hematoma per la presència de vasos sanguinis.
- Formació d’un call fibrocartilaginós.
- Formació d’un call ossi que anirà substituint el call fibrocartilaginós.
- Remodelatge ossi per aplanament degut a les forces de compressió i tracció.
El procés de construcció i destrucció de l’os és continu al llarg de tota la vida i depèn de factors com l’edat, el metabolisme o l’estil de vida, però, especialment, de la pràctica d’exercici físic moderat, la importància del qual ve determinada per la relació entre els ossos i els músculs, ja que els primers responen als impactes i les forces dels segons, i són un estímul per a la creació d’os.
El deteriorament funcional dels ossos és signe del seu envelliment i constitueix un factor principal en la pèrdua de massa i qualitat òssia (osteopènia). Comença quan s’arriba al màxim de l’ossificació, a partir dels trenta anys, tant en homes, com en dones. Com a conseqüència, augmenta la incidència de fractures, empitjorament de la qualitat de vida, augment de la discapacitat, morbiditat i mortalitat.
El fòsfor
És un mineral que es troba en aliments com alguns peixos, carns blanques, ous, fruita seca, alguns llegums, cereals integrals i formatge, principalment. Al nostre organisme es troba principalment en dents i ossos. La seva funció principal és evitar la càries, formar part dels ossos, dels àcids nucleics (ADN i ARN), d’enzims, de les membranes de les cèl·lules i d’algunes vitamines, com ara la B6.
Fisiologia articular
Les articulacions possibiliten el moviment. En àrees on la funció dels ossos sigui protegir òrgans (encèfal-crani), les possibilitats de moviment seran pràcticament nul·les. En llocs on la funció principal sigui la fixació de músculs, la possibilitat de moviment pot arribar a ser màxima, com a les unions entre malucs i cames i entre aquestes i els peus, per exemple.
Un cop identificada cada articulació, cal identificar eixos i plans de moviment per entendre els tipus de moviment articular. Són els que s’indiquen a continuació:
- Al voltant de l’eix latero-lateral: moviment de flexió i extensió
- Al voltant de l’eix antero-posterior: moviment d’abducció i adducció
- Al voltant de l’eix longitudinal: moviment de rotació externa i interna
Les articulacions amb els 6 tipus de moviments articulars poden produir un moviment articular de circumducció. Un exemple d’això és l’articulació glenohumeral.
Fisiologia del sistema muscular
El múscul esquelètic, de control voluntari, constitueix el 40% de la massa muscular total del nostre organisme.
Per fer una classificació del teixit muscular cal tenir en compte que al cos humà hi ha tres tipus de músculs (vegeu la figura); són aquests:
Trobareu més informació sobre la fisiologia del sistema muscular a l’apartat “Anatomia, fisiologia i patologies del sistema nerviós”, d’aquesta mateixa unitat.
- Múscul llis o visceral: és de contracció lenta, mantinguda i involuntària. Es localitza a la paret de conductes interns, vasos sanguinis, tub digestiu, aparell urinari i fol·licle pilós. Està innervat pel sistema nerviós autònom o vegetatiu.
- Múscul estriat:
- Cardíac: és de contracció ràpida, involuntària i automàtica. Està controlat pel sistema nerviós autònom o vegetatiu. Només es troba present a un únic òrgan, el cor, on forma el miocardi.
- Esquelètic: és de contracció voluntària en un estat no patològic. Està controlat pel sistema nerviós somàtic. És el responsable del moviment i dona forma al nostre cos recobrint els ossos que formen l’esquelet. En ell hi ha tres capes que es descriuen a continuació:
- Endomisi: és la capa prima de teixit connectiu que envolta cada fibra muscular.
- Perimisi i fascicles: les fibres musculars estan agrupades en fascicles i cada fascicle està embolcallat per una capa de perimisi.
- Epimisi: és una capa que envolta tot el conjunt de fascicles embolcallats per perimisi, és a dir, embolcalla tot el múscul en conjunt.
Origen, creixement i regeneració del teixit muscular estriat esquelètic
Cada cèl·lula muscular embrionària es diu mioblast i té un únic nucli. En un determinat moment, centenars de mioblasts es fusionen i passen de tenir un únic nucli a tenir-ne centenars. És a dir, passen de ser cèl·lules mononucleades a polinucleades. Es diu, aleshores, que s’ha format el miotúbul. De la unió de diversos miotúbuls apareix la fibra muscular, la qual ja no podrà dividir-se.
Per aquest motiu, quan es produeix una lesió i hi ha pèrdua de teixit muscular, aquest no torna a regenerar-se, sinó que quedarà substituït per un altre teixit, el teixit connectiu, que no té propietats contràctils.
L’agrupament de les fibres musculars dona lloc als fascicles, que, en unir-se, són els responsables de l’estructura del múscul, amb els vasos sanguinis i la unió a l’os, en la majoria de casos a través del tendó (vegeu la figura).
Característiques dels músculs
Les característiques dels músculs esquelètics són les següents:
Trobareu més informació sobre els nervis motors i la placa motora a l’apartat “Anatomia, fisiologia i patologies del sistema nerviós”, d’aquesta mateixa unitat.
- Irritabilitat: el múscul respon a un estímul.
- Elasticitat: permet la recuperació de la forma del múscul.
- Extensibilitat: la cèl·lula muscular s’estira.
- Excitabilitat: recepció de i resposta a estímuls nerviosos a través dels nervis motors que contacten amb la fibra muscular esquelètica en el punt d’unió neuromuscular o placa motora.
- Contractilitat: la cèl·lula muscular s’escurça. Després de l’excitació nerviosa, el múscul es pot contraure per dur a terme una determinada acció motora.
La fatiga muscular és la incapacitat del múscul per mantenir la força de contracció. És progressiva i pot ser deguda a causes relacionades amb el sistema nerviós (fatiga central) o a causes metabòliques o del propi procés d’excitació-contracció (fatiga perifèrica).
Patologies del sistema osteomuscular
Totes aquelles alteracions de les articulacions, ossos o músculs, així com de les estructures que els estabilitzen, com ara lligaments i tendons, poden traduir-se en patologia osteomuscular. De vegades per sobreesforços, traumatismes o deteriorament, moltes vegades associat a l’envelliment, com és el cas de l’artrosi, però també pel seu origen congènit.
Anamnesi
Procediment amb el qual el metge obté informació de la persona que atén, mitjançant una conversa, per poder establir un diagnòstic.
Poden ser causa de dolor, deformitat, feblesa, rigidesa i/o crepitació d’una o diverses articulacions principalment. Això es tradueix en inestabilitat, risc de caigudes i sobretot una capacitat limitada del moviment de les persones amb diversitat funcional física motora, la qual cosa pot limitar la qualitat de vida d’una manera molt important.
Afectació motora
Vegeu l’enllaç següent, per informar-vos sobre el nombre de persones a les quals s’ha reconegut legalment la discapacitat a Catalunya: tinyurl.com/yk2welnt.
Entre persones en situació de dependència afecta la majoria de les que tenen 65 anys o més, i pràcticament un 30% de les que tenen entre 6 i 64 anys. Es caracteritza per l’elevada prevalença del dolor neuropàtic associat a aquesta, independentment de quina sigui la seva causa.
El coneixement de les patologies és rellevant per a la bona competència professional de la persona responsable en l’atenció física directa de persones en situació de dependència que les pateixen, especialment a l’hora de dur a terme les intervencions i valorar els riscos.
“El dolor neuropàtic és l’iniciat o ocasionat per una disfunció del sistema nerviós”.
Srinivasa Raja MD i Maija Haanpää MD (2014-15). Fitxa informativa. Any mundial contra el dolor neuropàtic. IASP Special Interest Group on Neuropathic Pain. International association for the study of pain (IASP).
La classificació internacional de les malalties, versió 10 (CIM-10), al seu capítol XIII, recull les malalties del sistema osteomuscular i del teixit connectiu. Algunes d’aquestes malalties comunes (a continuació) es presentaran en la persona dependent, especialment en l’adult gran, i algunes també són prevalents entre els professionals d’atenció física directa.
En epidemiologia, s’anomena prevalença la proporció d’individus amb una determinada malaltia en un moment donat, en una població concreta, mentre que es parla d’incidència quan es fa referència a la proporció de casos nous.
Artropaties
-

- La psoriasi és una malaltia crònica autoimmune (en què el sistema de defensa del cos ataca estructures pròpies) que afecta la pell. Aquí es mostra una imatge d’un brot amb plaques psoriàsiques al colze. Font: Wikipedia.
Les artropaties són malalties que afecten les articulacions. Es classifiquen en quatre grups que s’indiquen a continuació, i dels que es posen exemples de les malalties més prevalents:
- Artropaties infeccioses
- Artropaties inflamatòries
- Artrosi
- Altres artràlgies; com l’hallux valgus
Artropaties infeccioses
Són aquelles artropaties produïdes per infecció (bacteriana o micòtica) que arriba fins a l’articulació, per propagació del microorganisme a través de la sang, o bé directament a través d’una lesió o cirurgia (poc freqüent).
Comparteixen quadre clínic (dolor intens, vermellor, inflamació, impossibilitat de moviment de l’àrea afectada i, de vegades, febre) i diagnòstic (anàlisi del líquid sinovial i de sang, tècniques d’imatge) amb altres artropaties.
El tractament és farmacològic i de drenatge de l’articulació per tal d’eliminar la infecció i el líquid acumulat, respectivament.
Artropaties inflamatòries
Agrupen malaltes com l’artritis psoriàsica, l’artritis reumatoide o la Gota; les que s’indiquen a continuació:
Artritis psoriàsica:
- Etiologia (causes): desconeguda, podria relacionar-se amb factors genètics i/o ambientals, un mal funcionament del sistema immune o inflamació de les articulacions.
- Quadre clínic (simptomatologia): dolor i inflamació en una o més articulacions, especialment les que es troben en posició distal de les extremitats (canells/turmells i falanges), però també coll, lumbar i glutis. Del 10 al 30% de persones que pateixen psoriasi tenen també aquesta patologia.
- Diagnòstic: a través de l’anamnesi, reconeixement físic, proves específiques (bioquímiques, hematològiques, d’imatge).
- Tractament i prevenció: coordinat entre l’especialitat de traumatologia i dermatologia, degut a la possibilitat que convisqui amb psoriasi. Majoritàriament, s’utilitzen medicaments, la teràpia amb llum (solar o ultraviolada especial) i cirurgia en aquells casos en què hi hagi un deteriorament d’alguna articulació.
“En concret, s’estima que més de la meitat dels pacients amb artritis psoriàsica poden presentar alguna malaltia associada i fins un 20% pot presentar fins tres o més afeccions associades, sent freqüent un major risc cardiovascular, d’infeccions o de trastorns psicològics com ara l’ansietat o la depressió”.
J.M. Álvaro-Gracia Álvaro (2019). Dia mundial de la psoriasi i artritis psoriàsica (Fundació Espanyola de Reumatologia).
Reuma
El concepte reuma no existeix en medicina. Col·loquialment, agrupa dolències del sistema locomotor. N’hi ha més d’un centenar. La reumatologia és l’especialitat mèdica que s’ocupa de les malalties de l’aparell locomotor i malalties autoimmunes sistèmiques. L’especialista és el reumatòleg.
-

- Mans afectades d’artritis reumatoide. Font: Wikipedia.
Artritis reumatoide: és una forma d’artritis que pateixen més dones que homes a partir dels cinquanta anys, tot i que es pot presentar a qualsevol edat, i és més comuna entre els adults grans. És més freqüent que l’osteoartritis. Presenta les característiques següents:
- Etiologia (causes): malaltia autoimmune d’origen genètic, hormonal i/o ambiental.
- Quadre clínic (simptomatologia): dolor, inflamació, calor i vermellor local, rigidesa (especialment matinal) i pèrdua de la funció de les articulacions, especialment de canells, dits, turmells i genolls, tot i que pot afectar altres parts del cos, com ulls, boca i pulmons. Pot aparèixer febre, fatiga, així com bonys sota la pell propera a les articulacions i dificultat per al moviment.
- Diagnòstic: anamnesi completa, observació i proves generals i específiques, com ara anàlisi del fluid en les articulacions.
- Tractament: basat en l’ús de medicaments, canvis en l’estil de vida i cirurgia en aquells casos en què l’articulació queda afectada greument.
Gota: és una malaltia que presenta les següents característiques:
- Etiologia: causada per hiperuricèmia (acumulació d’àcid úric en sang). No obstant això, no totes les persones que tenen hiperuricèmia tenen atacs de gota. Això s’acostuma a produir per dos motius principals, bé perquè l’organisme el sobreprodueix, o bé perquè l’eliminació a través dels ronyons disminueix. Acostuma a afectar les articulacions del peu, tot i així, és una malaltia sistèmica que pot afectar òrgans vitals, com el ronyó. Presenta les següents característiques:
- Quadre clínic (simptomatologia): dolor intens i inflamació articular és el més destacable, especialment en els extrems distals de les EEII.
- Diagnòstic: s’utilitza un diagnòstic diferencial basat en la història clínica (anamnesi), la palpació, observació i l’analítica de sang i orina per descartar altres patologies reumàtiques.
- Tractament: s’intenta alleujar la simptomatologia, que moltes vegades pot disminuir la qualitat de vida. S’utilitza el tractament farmacològic, i també es donen pautes per seguir un estil de vida saludable que eviti l’obesitat, el consum de carns (vermelles, especialment) i el d’alcohol, la qual cosa pot alleujar la simptomatologia.
Artrosi
L’artrosi és la lesió del cartílag articular que causa dolor, rigidesa i incapacitat funcional. Després de la lesió, es produeixen substàncies químiques per reparar-la que fan que el cartílag augmenti el gruix, retingui líquids, s’estovi i s’esquerdi. Acostuma a localitzar-se en la columna cervical i lumbar, encara que també pot aparèixer en articulacions de l’espatlla, dits de les mans, malucs i genolls.
Presenta les característiques següents:
- Etiologia (causes): per envelliment, sobrecàrrega o traumatisme.
- Quadre clínic (simptomatologia): dolor intens i profund, rigidesa articular, pot arribar a la impossibilitat de fer estiraments i flexions de les parts afectades. Pot complicar-se amb dolor molt intens quan el creixement ossi comprimeix alguns nervis, especialment quan afecta la columna vertebral.
- Diagnòstic: anamnesi, estudi físic, proves generals i/o específiques (per descartar alguna altra artropatia), proves d’estudi per la imatge.
- Tractament: farmacològic, teràpia física (fisioteràpia i teràpia ocupacional) i cirurgia en els casos en què les articulacions estiguin altament lesionades.
Hi ha més de 100 tipus diferents d’artritis i malalties associades. L’obesitat, els moviments repetitius i la feblesa muscular són factors de risc. Moure’s representa la millor medicina per alleujar la simptomatologia. A la taula, es resumeixen les diferències principals entre l’artritis i l’artrosi, semblant en simptomatologia, però de causa molt diferent:
Artràlgia
És el dolor articular, no associat ni a inflamació ni a rigidesa. No obstant això, acostuma a parlar-se d’artritis si hi ha dolor articular, i no sempre és adequat, encara que l’artràlgia pot donar lloc, amb el temps, a l’artritis.
| ARTRITIS o OSTEOARTROSI | ARTROSI | |
|---|---|---|
| Població afectada | Adults i nens. Més comú entre els 20-40 anys. | Majors de 60, generalment |
| Etiologia | Autoimmune, infeccions, traumatismes | Desgast per edat i/o sobreesforç |
| Part anatòmica afectada | Membrana sinovial | Cartílag articular |
| Símptoma principal | Inflamació | Rigidesa |
| Simptomatologia ampliada | Dolor constant, febre, inapetència, fatiga, anorèxia | Dolor que empitjora amb la mobilitat i millora en repòs. |
| Tractament | Antiinflamatoris i repòs. (Antibiòtics, si és infecciosa). Exercici periòdic de baix impacte (caminar) | Antiinflamatoris i analgèsics. Exercici físic i control de pes |
| Incidència | Inferior que artrosi | Superior que artritis |
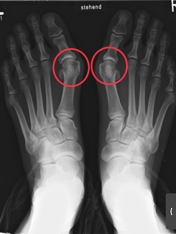
-

- Imatge radiogràfica (R-X) de peu esquerre i dret des d’una visió superior. Es marca en vermell els dos galindons entre la falange 1 i el primer metatarsià de cada peu. Font: Wikipedia.
Altres artràlgies i deformitats dels dits
Són malalties articulars no degudes a infecció o inflamació. Afecten dits, especialment. Un dels exemples és el que col·loquialment es coneix com a galindó o Hallux valgus (deformitat per engruiximent de l’articulació del primer metatarsià amb la primera falange del dit gros del peu). Presenta les següents característiques:
- Etiologia (causes): pot ser de causa genètica i/o per desequilibris musculoesquelètics, tot i que la principal causa és una forma de caminar incorrecta. Es pot presentar en persones amb peu cavus (amb molta curvatura a la planta) o peu valg (que es fica cap endins en caminar), acostuma a associar-se al tipus de calçat (talons alts i prims), estar molt de temps dret. Apareix en la persona adulta i acostuma a ser més freqüent amb l’edat.
- Quadre clínic (simptomatologia): s’associa amb dolor intens, vermellor, inflamació local i limitació del moviment articular.
- Diagnòstic: anamnesi i estudi físic, principalment, observació directa de la zona i estudi biomecànic de la trepitjada. Així mateix, es poden utilitzar proves de diagnòstic per la imatge, com ara radiografia (R-X).
- Tractament: adequació de les sabates, ús de plantilles i/o fèrules correctores i, si el dolor és molt intens, i s’adequa al perfil de la persona, s’opta per cirurgia. La utilització de fàrmacs per alleujar el dolor pot ser indicada, així com tractament local de fred per disminuir la inflamació.
Trastorns sistèmics del teixit connectiu
El lupus eritematós sistèmic (LES) és una malaltia crònica autoimmune no específica de cap òrgan. S’han definit diversos tipus i el lupus eritematós sistèmic és la forma més severa. Afecta principalment les dones i acostuma a aparèixer en persones adultes joves. Presenta les següents característiques:
La Societat Espanyola de Reumatologia (SER), al seu estudi sobre prevalença i impacte de les malalties reumàtiques, estima deu casos de lupus per cada 100.000 habitants.
- Etiologia (causa): de causa desconeguda, s’associa a certa predisposició genètica, infeccions, factors mediambientals, hormonals, estrès i certs medicaments.
- Quadre clínic (simptomatologia): produeix fatiga, dolor, lesió i inflamació de múltiples òrgans, entre ells el sistema osteoarticulomuscular i la pell. El quadre clínic és heterogeni i les seves manifestacions poden ser moderades o lleus, i poden comprometre la vida de la persona en alguns casos en què els òrgans vitals queden molt afectats.
- Diagnòstic: el diagnòstic es basa en la recollida de la simptomatologia i antecedents en l’anamnesi, així com en l’observació, exploració física i l’analítica (basada en la recerca d’anticossos específics).
- Tractament: l’objectiu és reduir la inflamació, inhibir la hiperactivitat del sistema immunològic, evitar les recaigudes i tractar-les quan es presentin, controlar la simptomatologia i minimitzar el dany en els òrgans. Per això, s’utilitza teràpia farmacològica fonamentalment. Així mateix, s’aconsella un estil de vida saludable i protecció solar per a la prevenció de les fases agudes de la malaltia.
- Consells: podeu consultar el següent vídeo, on es parla del tractament i consells per a les persones que pateixen la malaltia.
Podeu consultar el següent vídeo, on es parla de factors de risc i consells de salut en el cas de patir LES:
Dorsopaties
Les dorsopaties se subdivideixen en tres grups: dorsopaties deformants, espondilopaties i altres dorsopaties.
Les dorsopaties deformants són deformitats de la columna vertebral producte de la desviació anòmala de les curvatures fisiològiques amb inclinació cap a la part anterior, posterior, o bé lateralment. Presenten les següents característiques:
- Tipus: n’hi ha tres de principals, tal com es pot veure a la taula, però no són les úniques i, a més, pot haver-hi combinació entre elles.
- Etiologia (causes): congènites i relacionades amb l’edat i amb l’estil de vida basat en sobrecàrrega i esforços durant molt de temps.
- Quadre clínic (simptomatologia): augment patològic de la curvatura toràcica, en què l’esquena es projecta desmesuradament cap enfora.
- Diagnòstic: història clínica (anamnesi), proves de diagnòstic per la imatge (radiografies, tomografies), estudi neurològic i anàlisi de densitat òssia.
- Tractament: és simptomàtic basat en teràpia física (per augmentar la flexibilitat), teràpia ocupacional (per adaptar a les activitats bàsiques de la vida diària –ABVD–, a l’entorn, a possibles ortesis o pròtesis i productes de recolzament), fisioteràpia respiratòria (per prevenir, tractar i estabilitzar les possibles disfuncions respiratòries), immobilització correctora, control de l’alimentació (per assegurar normopès i nutrients necessaris), evitar hàbits tòxics i en l’ús de medicaments, i per prevenir l’osteoporosi i les possibles fractures associades que encara podrien empitjorar l’afectació.
| Trastorn | Descripció | Aspecte visual |
|---|---|---|
| Cifosi | La columna vertebral es corba en l’espai toràcic, d’una manera més marcada que en situació fisiològica (no patològica), cap a la part posterior. | |
| Hiperlordosi | La columna vertebral es corba, en la part cervical o lumbar, d’una manera més marcada que en situació fisiològica (no patològica), cap a la part ventral. | |
| Escoliosi | La columna vertebral es corba lateralment, cap a la dreta o esquerra, independentment de la regió (toràcica o lumbar) en què ho faci. Si s’observa la primera imatge, es pot veure que la regió lumbar està recta, ja que la desviació es produeix a la regió toràcica. A la segona imatge, però, es pot apreciar la inclinació lumbar. En estat fisiològic, la columna no té escoliosi, sinó que segueix un eix vertical, sense inclinació, en visió posterior. | |
Per la seva banda, les espondilopaties són les malalties articulars que afecten la columna vertebral. L’osteomielitis de vèrtebra és un trastorn neurològic d’una patologia, inicialment osteoarticular i de les meninges. Pot ser aguda o crònica. Presenten les següents característiques:
- Etiologia (causa): és deguda a una infecció per bacteris, en què l’Staphilococcus aureus és present en el 50% de les persones immunocompetents que pateixen la malaltia. Contràriament, infeccions fúngiques o bacterianes (especialment per l’agent causant de la tuberculosi) són l’agent causant en individus no immunocompetents o amb hàbits tòxics via parenteral.
- Quadre clínic (simptomatologia): dolor local inespecífic, persistent i moderat, de vegades rigidesa muscular i/o febre, inflamació, malestar general i fatiga, així com una possible necrosi òssia, en alguns casos, que no té un diagnòstic fàcil.
- Diagnòstic: proves de laboratori, estudi radiològic simple, ressonància magnètica i biòpsia.
- Tractament: és variable i pot basar-se en la utilització d’antibiòtics, quimioteràpia antituberculosa i, de vegades, cirurgia.
Finalment, trobem altres dorsopaties; a continuació, s’indiquen dues afectacions freqüents de l’aparell locomotor que afecten l’esquena, especialment en persones amb poca mobilitat, moltes vegades per l’adopció de postures incorrectes per la mateixa patologia, que no necessàriament ha d’estar relacionada amb l’aparell locomotor: hèrnia discal, i dorsàlgia, lumbàlgia i omàlgia.
L’hèrnia discal és un desplaçament del disc intervertebral (nucli polpós) cap a l’arrel nerviosa, que la pressiona i produeix dolor. És més freqüent entre els 30 i 50 anys. Es caracteritza per:
- Quadre clínic (simptomatologia): episodis aguts amb trastorns motors (pèrdua de força en una extremitat, problemes per caminar i d’equilibri) i sensitius (dolor intens a l’estar aturat o assegut –s’alleuja al caminar o estar estirat– i parestèsies –sensació de formigueig en una extremitat; entumiment). En casos greus, disfunció de la bufeta o intestins. Millora a l’estar assegut o a l’inclinar-se cap endavant.
- Tractaments: simptomàtic i cirurgia, de vegades, amb milloria en un 85-90% dels casos.
La dorsàlgia, lumbàlgia i omàlgia és un dolor local en la zona dorsal, lumbar o espatlla, respectivament, que pot irradiar a coll i braços (en dorsàlgia), cames i peus (en lumbàlgia). Es caracteritza per:
- * Etiologia (causes): mecànica (per esforços o mecànica corporal inadequada), inflamatòria, d’afecció inicial a músculs i/o ossos, o bé a altres òrgans.
- Tractament: es basa en alleujar la simptomatologia i centrar-se en la recerca de la causa per evitar recaigudes.
- Diagnòstic: diferencial per tal d’identificar l’origen, descartant altres patologies.
Podeu consultar el següent vídeo, on es parla de la formació d’una hèrnia de disc o hèrnia discal:
Trastorns dels teixits tous
Engloba trastorns dels músculs, de la membrana sinovial i tendons, principalment. Poden resultar significatius en persones amb altres malalties.
Les malalties idiopàtiques són les de causa desconeguda o que no s’entenen prou.
Trobareu més informació sobre altres malalties relacionades amb els teixits tous a l’apartat “Anatomia, fisiologia i patologies del sistema nerviós”, d’aquesta mateixa unitat.
En el grup dels trastorns dels músculs destaquen les miopaties, que són una inflamació i afebliment i muscular crònic, d’aparició lenta i progressiva. És una malaltia idiopàtica i rara. Es caracteritza per:
- Etiologia (causes): desconeguda, probablement autoimmune i potser associada a causes ambientals i/o altres malalties o causants d’aquestes, com agents infecciosos.
- Quadre clínic (simptomatologia): d’afectació no exclusiva de l’aparell locomotor (i per tant afecta la marxa, aixecament d’un mateix i d’objectes, empassar, parla, etc.), sinó que també afecta els vasos sanguinis i el cor, i poden aparèixer arrítmies.
- Diagnòstic: estudi dels antecedents familiars, estudi físic, analítiques, electromiografia, biòpsia muscular.
- Tractament: farmacològic, fisioteràpia, exercicis, termoteràpia (incloent-hi microones i ultrasons), ortopèdia i dispositius d’assistència i repòs.
En el grup dels transtorns de la membrana sinovial i dels teixits tous, per la seva prevalença, destaca la sinovitis. Presenta les següents característiques:
- Etiologia (causes): cert tipus d’artritis o altres malalties.
- Quadre clínic (simptomatologia): es caracteritza per inflamació de la membrana i cavitat sinovial, que es tradueix en dolor agut.
- Diagnòstic: història clínica, valoració de la resposta durant l’exploració al moviment de l’articulació.
- Tractament: s’acostuma a optar pel farmacològic i repòs relatiu.
La fibromiàlgia (FM) és considerada una síndrome de sensibilització central (SSC), es tracta d’una condició crònica amb quadre clínic complex. És més freqüent en dones, en persones d’edat mitjana, persones malaltes d’artritis reumatoide, espondilitis anquilosant o lupus eritematós sistèmic. Presenta les característiques següents:
- Etiologia (causes): desconegudes actualment. Es relaciona, de vegades, amb successos traumàtics, infeccions virals o lesions freqüents.
- Quadre clínic (simptomatologia): dolor, inclús coïssor o cremor, generalitzat i no articular, esgotament profund, així com una varietat d’altres símptomes, com rigidesa, especialment matinal, i certa sensació d’adormiment/formigueig en mans i peus (parestèsies). Molt sovint, les persones que pateixen aquesta malaltia tenen dificultats per dormir (i son no reparador), ansietat, irritabilitat, depressió i trastorns cognitius (dificultats de l’atenció, la memòria i la concentració). Es pot suportar, o bé pot limitar de manera important les activitats de la vida diària.
- Diagnòstic: es basa en criteris establerts el 1990 i 2010 pel Col·legi Americà de Reumatologia (ACR): absència d’alteracions radiològiques i analítiques, història del dolor de durada mínima de tres mesos i que afecti tres dels quatre quadrants del cos, dolor a l’esquelet axial i dolor a la pressió d’un mínim d’onze dels divuit punts escollits, presència i gravetat de símptomes clínics.
- Tractament: basat en teràpia cognitivoconductual, l’exercici físic (suau i regular), la farmacologia (analgèsics, disminuïdors de la sensibilització central, promotors de la son i antidepressius), establir o reforçar un estil de vida saludable.
Osteopaties i condropaties
Les osteopaties i condropaties són patologies que afecten l’os quant a densitat i estructura, així com el cartílag, especialment. S’engloben en dos grups:
Fibromiàlgia
Podeu ampliar informació sobre la fibriomiàlgia, en el següent enllaç: www.fibromialgia.cat.
- Lesions dels cartílags: unes de les lesions osteomusculars amb més prevalença i incidència entre les persones en situació de dependència són les que afecten les articulacions i, en concret, el cartílag. S’anomenen lesions condrals o condropaties i reben el nom en funció de la seva localització.
- Trastorns de la densitat i estructura òssies: es classifiquen en dos blocs. El primer és el de trastorns de la continuïtat, caracteritzat per fractures patològiques. El segon és l’osteoporosi, que, tot i que cursa sense símptomes, pot donar lloc a fractures (maluc, genoll, canell). Pot tenir el seu origen en l’osteopènia, una disminució lleu de la densitat òssia que progressa al llarg de la vida.
Podeu consultar el següent vídeo, on es parla de la importància de seguir el tractament farmacològic en el cas de patir osteoporosi:
Altres trastorns dels teixits tous
Amb un diagnòstic molt semblant, basat en l’exploració física i la palpació, de vegades s’opta per utilitzar tècniques de diagnòstic per la imatge i inclús proves de laboratori per tal de descartar altres causes de la inflamació i dolor en els tres casos recollits a la :taula:
Després d’una lesió...
Es recomana la valoració per part d’un equip professional per tal de programar la rehabilitació adequada i evitar la pèrdua de teixit ossi, massa muscular, to i força derivats del repòs, de vegades excessiu, de la zona.
| Trastorn | Descripció |
|---|---|
| Bursitis | Inflamació (aguda o crònica) de la bossa sinovial. Causada per moviments repetitius, pressió mantinguda en determinades articulacions, o bé causes sistèmiques (malalties hormonals, reumatològiques), infeccions o ferides. El tractament és simptomàtic, alternatiu o farmacològic (analgèsics i/o antiinflamatoris). Ocasionalment, s’ha de practicar una aspiració del líquid acumulat a l’articulació (artrocentesi). |
| Capsulitis | Inflamació de la càpsula articular, normalment a causa d’un traumatisme, normalment un cop, la qual cosa produeix dolor i rigidesa de l’articulació afectada i que pot estendre’s a les zones veïnes i on pot aparèixer, fins i tot, un hematoma. Malalties reumàtiques també s’associen a aquesta afecció. Es diagnostica per la història clínica, l’observació i palpació. No requereix tractament i quan és greu apareix la ruptura de lligament. |
| Tendinitis | Inflamació o irritació d’un tendó a causa de moviments repetitius, lesions, distensions, postura incorrecta, cames de llargada diferent, algunes malalties, com artritis, artritis reumatoide, gota, psoriasi, algunes malalties metabòliques, efectes adversos d’alguns fàrmacs. |
Altres patologies d’afectació motora (apreciacions finals)
És important tenir en compte que, d’entre les malalties del sistema osteomuscular, algunes són d’afectació motora i, en relació amb això, es fa algunes apreciacions finals:
Vegeu l’apartat “Mecànica corporal” de la unitat formativa “Activitats de mobilització, trasllats i deambulació”, on s’informa sobre les mesures de prevenció de les LME.
- Algunes són lesions musculoesquelètiques (LME) degudes a adopció de postures incorrectes durant la rutina laboral, així com l’adaptació inadequada de l’entorn a les necessitats de les persones que hi treballen. La prevenció i detecció primerenca són fonamentals per evitar dolor agut o dolència crònica, de gran prevalença i incidència en el professional d’atenció física directa a les persones en situació de dependència.
- Altres malalties, amb signes i símptomes propis del sistema nerviós, però que afecten funcions motores, són les malalties de la neurona motora (MNM). Constitueixen un grup de trastorns progressius que destrueixen les cèl·lules que controlen l’activitat muscular voluntària com parlar, caminar, respirar o empassar-se aliments o líquids. Algunes d’elles són: esclerosi lateral amiotròfica (ELA), paràlisi bulbar progressiva (PBP) i atròfia muscular progressiva (AMP). Se’n parlarà a la part dedicada a les patologies del sistema nerviós.
- Altres patologies d’afectació motora són algunes deformitats adquirides, trastorns musculoesquelètics posteriors a un procediment, o bé lesions biomecàniques no classificades a cap altre lloc i incloses al capítol XIII de la CIM-10.


















